Suppr超能文献

硫化氢通过减轻犬类细胞坏死性凋亡引起的炎症反应来保护肾脏免受急性肾损伤。

Hydrogen sulfide protects from acute kidney injury via attenuating inflammation activated by necroptosis in dogs.

机构信息

College of Veterinary Medicine, Northeast Agricultural University, Harbin 150030, P. R. China.

Heilingjiang Key Laboratory for Laboratory Animals and Comparative Medicine, Northeast Agricultural University, Harbin 150030, P. R. China.

出版信息

J Vet Sci. 2022 Sep;23(5):e72. doi: 10.4142/jvs.22064.

Abstract

BACKGROUND

The treatment of acute kidney injury (AKI), a common disease in dogs, is limited. Therefore, an effective method to prevent AKI in veterinary clinics is particularly crucial.

OBJECTIVES

Hydrogen sulfide (HS) is the third gaseous signal molecule involved in various physiological functions of the body. The present study investigated the effect of HS on cisplatin-induced AKI and the involved mechanisms in dogs.

METHODS

Cisplatin-injected dogs developed AKI symptoms as indicated by renal dysfunction and pathological changes. In the HS-treated group, 50 mM sodium hydrosulfide (NaHS) solution was injected at 1 mg/kg/h for 30 min before cisplatin injection. After 72 h, tissue and blood samples were collected immediately. We performed biochemical tests, optical microscopy studies, analysis with test kits, quantitative reverse-transcription polymerase chain reaction, and western blot analysis.

RESULTS

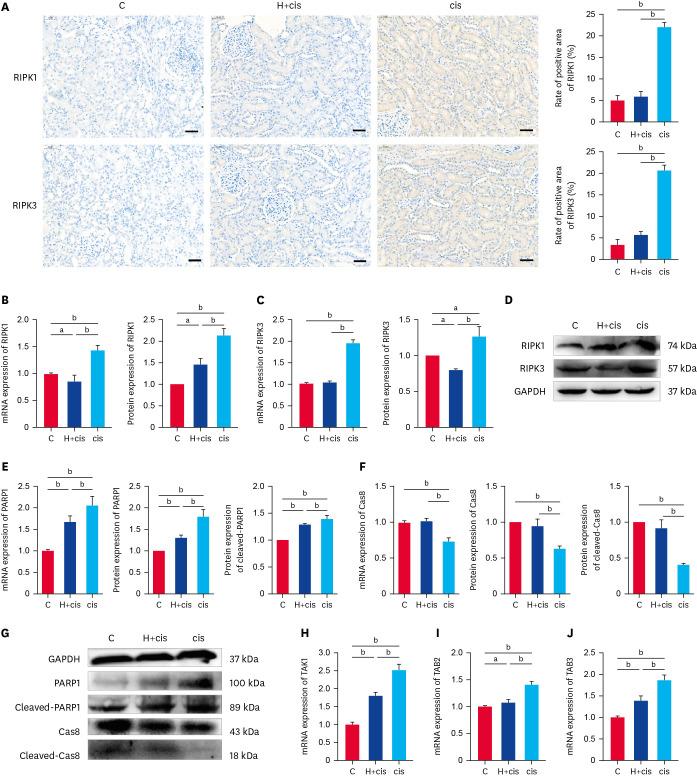
The study results demonstrated that cisplatin injection increased necroptosis and regulated the corresponding protein expression of receptor interacting protein kinase (RIPK) 1, RIPK3, and poly ADP-ribose polymerase 1; furthermore, it activated the expressions of inflammatory factors, including tumor necrosis factor-alpha, nuclear factor kappa B, and interleukin-1β, in canine kidney tissues. Moreover, cisplatin triggered oxidative stress and affected energy metabolism. Conversely, an injection of NaHS solution considerably reduced the aforementioned changes.

CONCLUSIONS

In conclusion, HS protects the kidney from cisplatin-induced AKI through the mitigation of necroptosis and inflammation. These findings provide new and valuable clues for the treatment of canine AKI and are of great significance for AKI prevention in veterinary clinics.

摘要

背景

急性肾损伤(AKI)是犬的常见疾病,其治疗方法有限。因此,兽医临床预防 AKI 的有效方法尤为关键。

目的

硫化氢(HS)是参与体内各种生理功能的第三种气体信号分子。本研究探讨了 HS 对顺铂诱导的犬 AKI 的作用及其机制。

方法

顺铂注射犬出现肾功能障碍和病理变化等 AKI 症状。在 HS 处理组中,在顺铂注射前 30 分钟以 1mg/kg/h 的速度注射 50mM 硫氢化钠(NaHS)溶液。72 小时后,立即采集组织和血液样本。我们进行了生化测试、光学显微镜研究、试剂盒分析、定量逆转录聚合酶链反应和 Western blot 分析。

结果

研究结果表明,顺铂注射增加了坏死性凋亡,并调节了受体相互作用蛋白激酶(RIPK)1、RIPK3 和聚 ADP-核糖聚合酶 1 的相应蛋白表达;此外,它激活了肿瘤坏死因子-α、核因子 kappa B 和白细胞介素-1β 等炎症因子在犬肾组织中的表达。此外,顺铂引发了氧化应激并影响了能量代谢。相反,NaHS 溶液的注射显著减轻了上述变化。

结论

总之,HS 通过减轻坏死性凋亡和炎症来保护肾脏免受顺铂诱导的 AKI。这些发现为犬 AKI 的治疗提供了新的有价值的线索,对兽医临床 AKI 的预防具有重要意义。

https://cdn.ncbi.nlm.nih.gov/pmc/blobs/8e5c/9523336/2f708941c7c1/jvs-23-e72-g001.jpg

文献AI研究员

20分钟写一篇综述,助力文献阅读效率提升50倍。

立即体验

用中文搜PubMed

大模型驱动的PubMed中文搜索引擎

马上搜索

文档翻译

学术文献翻译模型,支持多种主流文档格式。

立即体验