Suppr超能文献

基于 CRISPR-Cas12a 的 RPA-LFS 和荧光法的建立及其在阴道毛滴虫检测中的应用。

Establishment and application of a CRISPR-Cas12a-based RPA-LFS and fluorescence for the detection of Trichomonas vaginalis.

机构信息

State Key Laboratory for Zoonotic Diseases, College of Veterinary Medicine, Jilin University, Changchun, 130062, China.

Clinical Laboratory, The Second Hospital of Jilin University, Changchun, 130000, China.

出版信息

Parasit Vectors. 2022 Sep 30;15(1):350. doi: 10.1186/s13071-022-05475-5.

Abstract

BACKGROUND

Infection with Trichomonas vaginalis can lead to cervicitis, urethritis, pelvic inflammatory disease, prostatitis and perinatal complications and increased risk of HIV transmission. Here, we used an RPA-based CRISPR-Cas12a assay system in combination with a lateral flow strip (LFS) (referred to as RPA-CRISPR-Cas12a) to establish a highly sensitive and field-ready assay and evaluated its ability to detect clinical samples.

METHODS

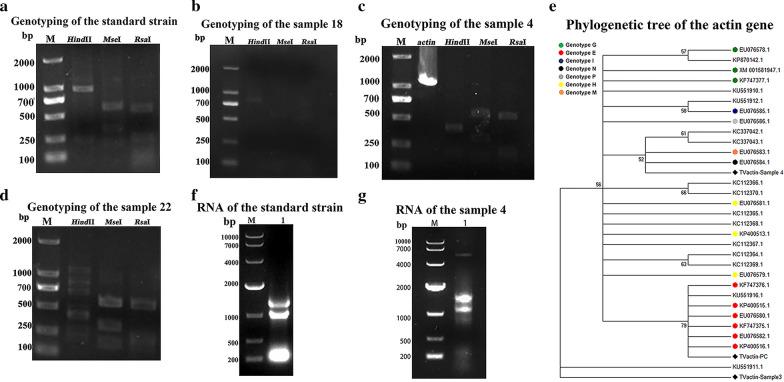
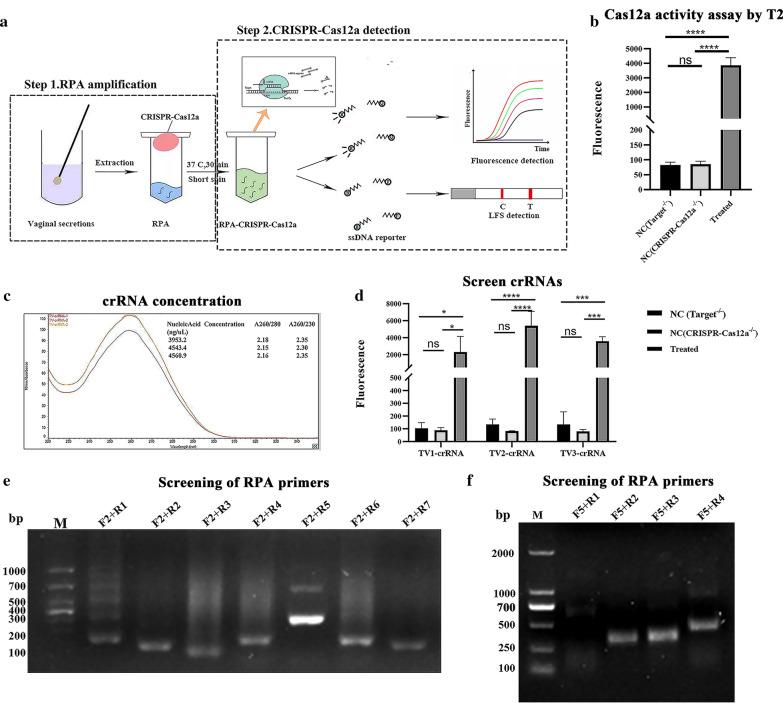
We developed a one-pot CRISPR-Cas12a combined with RPA-based field detection technology for T. vaginalis, chose actin as the target gene to design crRNA and designed RPA primers based on the crRNA binding site. The specificity of the method was demonstrated by detecting genomes from nine pathogens. To improve the usability and visualize the RPA-CRISPR-Cas12a assay results, both fluorescence detection and LFS readouts were devised.

RESULTS

The RPA-CRISPR-Cas12a assay platform was completed within 60 min and had a maximum detection limit of 1 copy/µl and no cross-reactivity with Candida albicans, Mycoplasma hominis, Neisseria gonorrhoeae, Escherichia coli, Cryptosporidium parvum, G. duodenalis or Toxoplasma gondii after specificity validation. Thirty human vaginal secretions were tested by RPA-CRISPR-Cas12a assays, and the results were read by a fluorescent reporter and LFS biosensors and then compared to the results from nested PCR detection of these samples. Both RPA-CRISPR-Cas12a assays showed 26.7% (8/30) T. vaginalis-positive samples and a consistency of 100% (8/8). The RPA-CRISPR-Cas12a assays had a higher sensitivity than nested PCR (only seven T. vaginalis-positive samples were detected).

CONCLUSIONS

The T. vaginalis RPA-CRISPR-Cas12a assay platform in this study can be used for large-scale field testing and on-site tests without the need for trained technicians or costly ancillary equipment.

摘要

背景

阴道毛滴虫感染可导致宫颈炎、尿道炎、盆腔炎、前列腺炎和围产期并发症,并增加 HIV 传播的风险。在这里,我们使用基于 RPA 的 CRISPR-Cas12a 检测系统与侧向流条(LFS)(简称 RPA-CRISPR-Cas12a)相结合,建立了一种高灵敏度且可现场使用的检测方法,并评估了其检测临床样本的能力。

方法

我们开发了一种用于阴道毛滴虫的基于 RPA 的 CRISPR-Cas12a 联合检测的一锅法检测技术,选择肌动蛋白作为靶基因来设计 crRNA,并根据 crRNA 结合位点设计 RPA 引物。通过检测来自 9 种病原体的基因组来证明该方法的特异性。为了提高方法的可用性并可视化 RPA-CRISPR-Cas12a 检测结果,我们设计了荧光检测和 LFS 读取两种方法。

结果

RPA-CRISPR-Cas12a 检测平台在 60 分钟内完成,最大检测限为 1 拷贝/μl,特异性验证后与白色念珠菌、人型支原体、淋病奈瑟菌、大肠杆菌、微小隐孢子虫、十二指肠贾第鞭毛虫或刚地弓形虫无交叉反应。用 RPA-CRISPR-Cas12a 检测了 30 份人阴道分泌物,并通过荧光报告器和 LFS 生物传感器读取结果,然后将结果与这些样本的巢式 PCR 检测结果进行比较。RPA-CRISPR-Cas12a 检测均显示 26.7%(30 份中的 8 份)阴道毛滴虫阳性样本,一致性为 100%(8/8)。RPA-CRISPR-Cas12a 检测比巢式 PCR 检测具有更高的灵敏度(仅检测到 7 份阴道毛滴虫阳性样本)。

结论

本研究中的阴道毛滴虫 RPA-CRISPR-Cas12a 检测平台可用于大规模现场检测和现场检测,无需经过培训的技术人员或昂贵的辅助设备。

https://cdn.ncbi.nlm.nih.gov/pmc/blobs/5188/9526244/dd1c59f88349/13071_2022_5475_Fig1_HTML.jpg

文献AI研究员

20分钟写一篇综述,助力文献阅读效率提升50倍。

立即体验

用中文搜PubMed

大模型驱动的PubMed中文搜索引擎

马上搜索

文档翻译

学术文献翻译模型,支持多种主流文档格式。

立即体验