Brain Tumor Research Center, Beijing Neurosurgical Institute, Capital Medical University, Beijing, 100070, China.
Department of Neurosurgery, Beijing Tiantan Hospital Affiliated to Capital Medical University, Beijing, 100070, China.
Cell Death Dis. 2022 Oct 8;13(10):861. doi: 10.1038/s41419-022-05304-8.
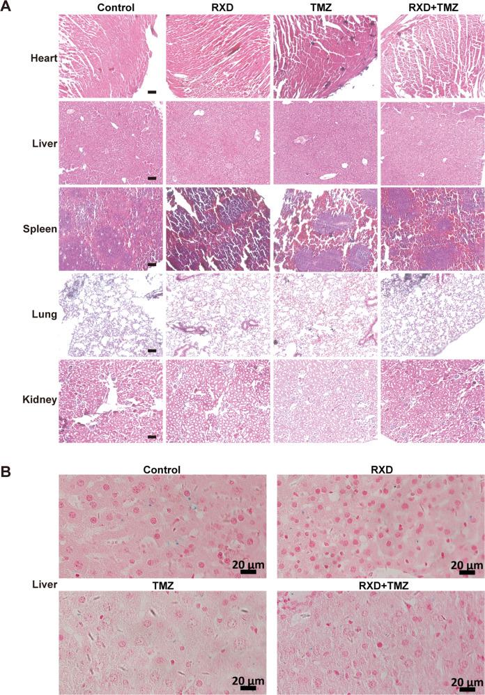
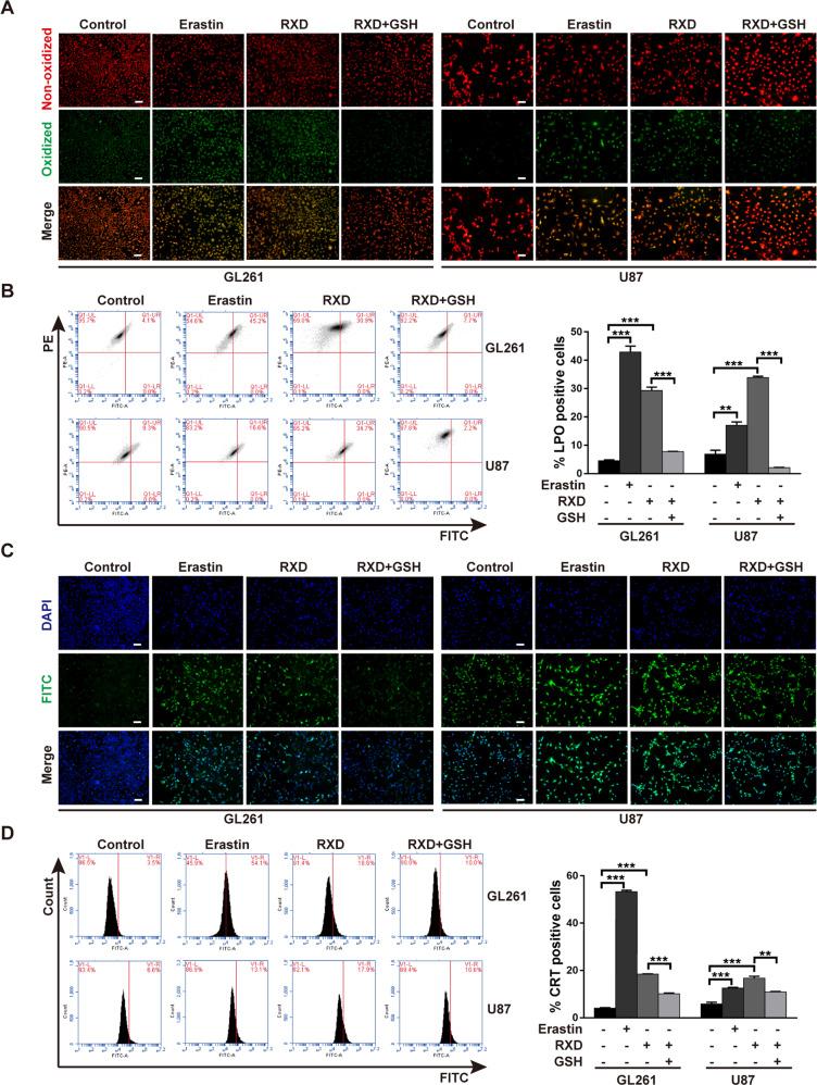
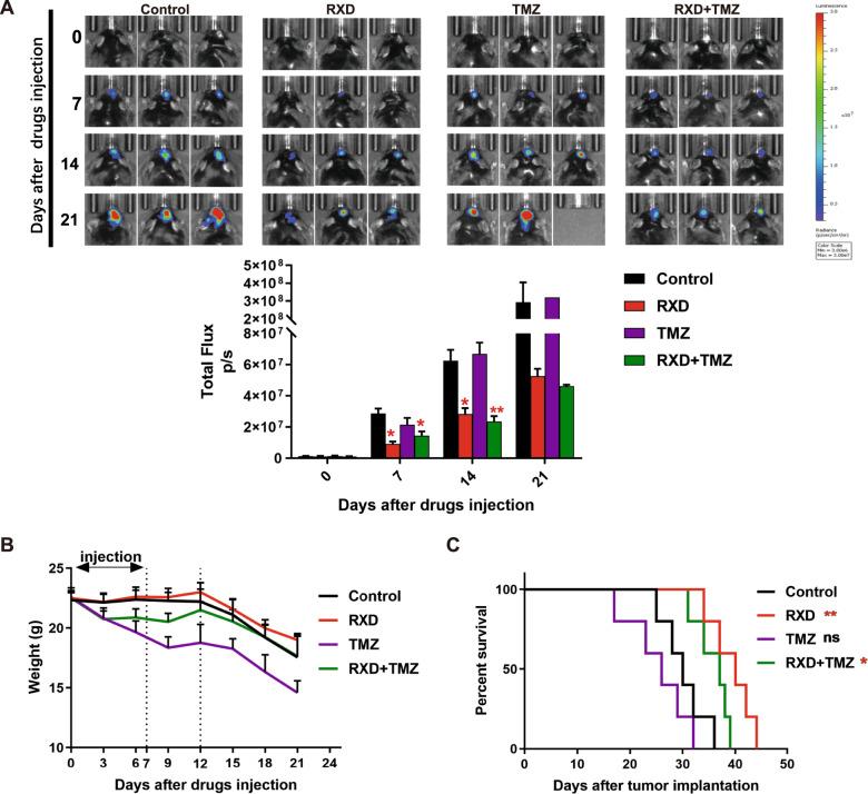
Patients with glioblastoma (GBM) have poor prognosis and limited treatment options, largely due to therapy resistance upon the induction of apoptosis. Ferroptosis emerges as a potential antineoplastic strategy to bypass apoptosis resistance in traditional therapeutics. Hypoxia is a fundamental hallmark of GBM and hypoxia-inducible factor (HIF) is the main regulator of hypoxia response, however, the role of HIF has not been sufficiently explored in GBM. Herein, we first discovered that amplifying HIF signals by the prolyl hydroxylase (PHD) inhibitor roxadustat significantly suppressed GBM cell growth in vitro and in vivo, especially when the cells were resistant to temozolomide (TMZ). The accumulation of lipid peroxidation and cellular iron in GBM cells following roxadustat treatment indicated that the cells underwent ferroptosis, which was also supported by morphological changes in mitochondrial ultrastructure and immunogenic signals release. Moreover, in vivo studies further confirmed the ferroptosis induction and verified that roxadustat significantly prolonged survival of the mice harboring chemoresistant GBM without visible organ toxicity. Finally, we proved that the ferroptosis induction by roxadustat is HIF-α independent, especially activation of HIF-2α upregulating lipid regulatory genes was revealed to be mainly responsible for the enhanced lipid peroxidation. Altogether, our study provided novel evidence that amplifying HIF signals induced ferroptosis in chemoresistant GBM cells and suppressed the tumor growth in vivo, highlighting that ferroptosis induction by targeting HIF-α might provide new approaches to improve GBM treatment.
胶质母细胞瘤(GBM)患者预后较差,治疗选择有限,主要是由于在诱导细胞凋亡时出现治疗耐药。铁死亡作为一种潜在的抗肿瘤策略,可以绕过传统治疗中的凋亡耐药。缺氧是 GBM 的一个基本特征,缺氧诱导因子(HIF)是缺氧反应的主要调节剂,然而,HIF 在 GBM 中的作用尚未得到充分探索。在此,我们首次发现,通过脯氨酰羟化酶(PHD)抑制剂罗沙司他增强 HIF 信号可显著抑制体外和体内 GBM 细胞的生长,尤其是当细胞对替莫唑胺(TMZ)耐药时。罗沙司他处理后 GBM 细胞中脂质过氧化和细胞内铁的积累表明细胞发生了铁死亡,线粒体超微结构的形态变化和免疫原性信号的释放也支持这一观点。此外,体内研究进一步证实了铁死亡的诱导,并证实罗沙司他可显著延长携带耐药性 GBM 的小鼠的存活时间,而无明显的器官毒性。最后,我们证明了罗沙司他诱导的铁死亡与 HIF-α无关,特别是 HIF-2α 的激活上调脂质调节基因被证明是增强脂质过氧化的主要原因。总之,我们的研究提供了新的证据,表明增强 HIF 信号可诱导耐药性 GBM 细胞发生铁死亡,并抑制体内肿瘤生长,这突出表明靶向 HIF-α诱导铁死亡可能为改善 GBM 治疗提供新途径。