Suppr超能文献

中国中西部农村地区基于人工智能的糖尿病视网膜病变筛查的临床评估。

Clinical evaluation of AI-assisted screening for diabetic retinopathy in rural areas of midwest China.

机构信息

Department of Ophthalmology, Heji Hospital Affiliated with Changzhi Medical College, Changzhi, China.

Postgraduate Department, Changzhi Medical College, Changzhi, China.

出版信息

PLoS One. 2022 Oct 13;17(10):e0275983. doi: 10.1371/journal.pone.0275983. eCollection 2022.

Abstract

BACKGROUND

Although numerous studies have described the application of artificial intelligence (AI) in diabetic retinopathy (DR) screening among diabetic populations, studies among populations in rural areas are rare. The purpose of this study was to evaluate the application value of an AI-based diagnostic system for DR screening in rural areas of midwest China.

METHODS

In this diagnostic accuracy study, diabetes mellitus (DM) patients in the National Basic Public Health Information Systems of Licheng County and Lucheng County of Changzhi city from July to December 2020 were selected as the target population. A total of 7824 eyes of 3933 DM patients were enrolled in this screening; the patients included 1395 males and 2401 females, with an average age of 19-87 years (63±8.735 years). All fundus photographs were collected by a professional ophthalmologist under natural pupil conditions in a darkroom using the Zhiyuan Huitu fundus image AI analysis software EyeWisdom. The AI-based diagnostic system and ophthalmologists were tasked with diagnosing the photos independently, and the consistency rate, sensitivity and specificity of the two methods in diagnosing DR were calculated and compared.

RESULTS

The prevalence rates of DR according to the ophthalmologist and AI diagnoses were 22.7% and 22.5%, respectively; the consistency rate was 81.6%. The sensitivity and specificity of the AI system relative to the ophthalmologists' grades were 81.2% (95% confidence interval [CI]: 80.3% 82.1%) and 94.3% (95% CI: 93.7% 94.8%), respectively. There was no significant difference in diagnostic outcomes between the methods (χ2 = 0.329, P = 0.566, P>0.05), and the AI-based diagnostic system had high consistency with the ophthalmologists' diagnostic results (κ = 0.752).

CONCLUSION

Our research demonstrated that DR patients in rural area hospitals can be screened feasibly. Compared with that of the ophthalmologists, however, the accuracy of the AI system must be improved. The results of this study might lend support to the large-scale application of AI in DR screening among different populations.

摘要

背景

虽然许多研究已经描述了人工智能(AI)在糖尿病视网膜病变(DR)筛查中的应用,但在农村地区人群中的研究很少。本研究的目的是评估基于 AI 的 DR 筛查诊断系统在中国中西部农村地区的应用价值。

方法

在这项诊断准确性研究中,我们选择了来自长治市黎城县和潞城区国家基本公共卫生信息系统的糖尿病患者作为目标人群。共有 7824 只眼的 3933 名糖尿病患者参加了此次筛查;患者中男性 1395 人,女性 2401 人,平均年龄 19-87 岁(63±8.735 岁)。所有眼底照片均由专业眼科医生在暗室自然光条件下使用智源慧图眼底图像 AI 分析软件 EyeWisdom 采集。AI 诊断系统和眼科医生独立对照片进行诊断,并计算和比较两种方法诊断 DR 的一致性率、灵敏度和特异度。

结果

根据眼科医生和 AI 诊断,DR 的患病率分别为 22.7%和 22.5%,一致性率为 81.6%。AI 系统相对于眼科医生分级的灵敏度和特异度分别为 81.2%(95%置信区间[CI]:80.3%~82.1%)和 94.3%(95%CI:93.7%~94.8%)。两种方法的诊断结果无显著差异(χ2=0.329,P=0.566,P>0.05),AI 诊断系统与眼科医生的诊断结果具有高度一致性(κ=0.752)。

结论

本研究表明,农村地区医院的 DR 患者可以进行有效的筛查。然而,与眼科医生相比,AI 系统的准确性有待提高。本研究结果可能为 AI 在不同人群中进行 DR 筛查的大规模应用提供支持。

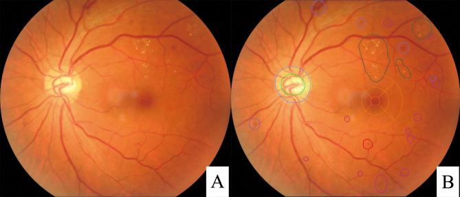
https://cdn.ncbi.nlm.nih.gov/pmc/blobs/e391/9560484/dc1ff2e26929/pone.0275983.g001.jpg

文献AI研究员

20分钟写一篇综述,助力文献阅读效率提升50倍。

立即体验

用中文搜PubMed

大模型驱动的PubMed中文搜索引擎

马上搜索

文档翻译

学术文献翻译模型,支持多种主流文档格式。

立即体验