Suppr超能文献

利用深度学习自动识别小鼠肾脏中的肾小球病变。

Automated recognition of glomerular lesions in the kidneys of mice by using deep learning.

作者信息

Akatsuka Airi, Horai Yasushi, Akatsuka Airi

机构信息

Syonan iPark C43 building, Muraoka-Higashi 2-26-1, Fujisawa, Kanagawa 251-8555, Japan.

出版信息

J Pathol Inform. 2022 Jul 28;13:100129. doi: 10.1016/j.jpi.2022.100129. eCollection 2022.

Abstract

BACKGROUND

In recent years, digital pathology has been rapidly developing and applied throughout the world. Especially in clinical settings, it has been utilized in a variety of situations, including automated cancer diagnosis. Conversely, in non-clinical research, it has not yet been utilized as much as in clinical settings. We have been performing automated recognition of various pathological animal tissues and quantitative analysis of pathological findings, including liver and lung. In this study, we attempted to construct an artificial intelligence (AI)-based trained model that can automatedly recognize glomerular lesions in mouse kidneys that are characterized by complex structures.

MATERIALS AND METHODS

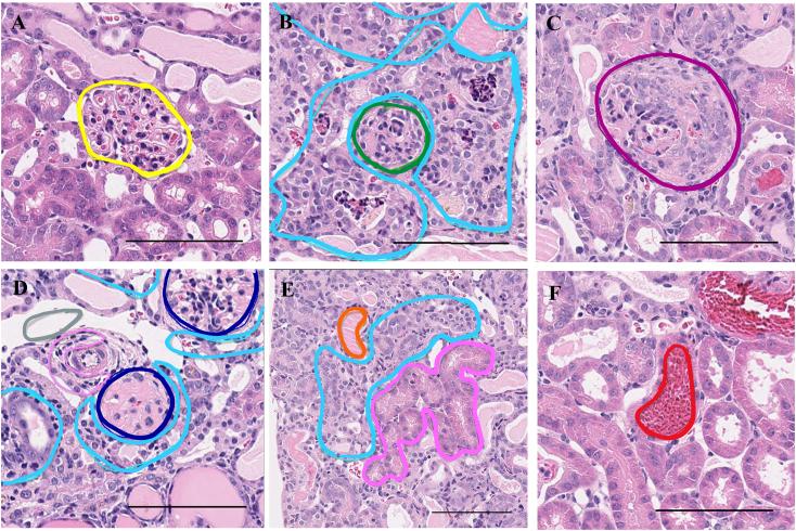
By using hematoxylin and eosin (HE)-stained whole slide images (WSI) from KO mice as variation data, normal glomeruli and glomerular lesions were annotated, and deep learning (DL) was performed with the use of the neural network classifier DenseNet system in HALO AI. The trained model was refined by correcting the annotation of misrecognized tissue area and reperforming DL. The accuracy of the trained model was confirmed by comparing the AI-obtained results with the pathological grades evaluated by pathologists. The generality of the trained model was also confirmed by analyzing the WSI of adriamycin (ADR)-induced nephropathy mice, which is a different disease model.

RESULTS

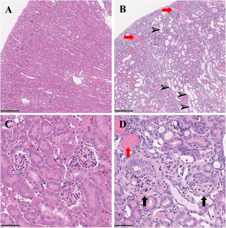
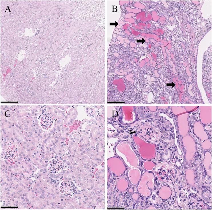
Glomerular lesions (including mesangial proliferation, crescent formation, and sclerosis) observed in Col4a3 KO mice and ADR mice were detected by our trained model. The number of glomerular lesions detected by our trained model were also highly correlated with that of counted by pathologists.

CONCLUSION

In this study, we constructed a trained model allowing us to automatedly recognize glomerular lesions in the mouse kidney with the use of the HALO AI system. The findings and insights of this study will facilitate the development of digital pathology in non-clinical research and improve the probability of success in drug discovery research.

摘要

背景

近年来,数字病理学在全球范围内迅速发展并得到应用。特别是在临床环境中,它已被用于各种情况,包括癌症自动诊断。相反,在非临床研究中,它的应用尚未达到临床环境中的程度。我们一直在进行各种病理动物组织的自动识别以及包括肝脏和肺在内的病理结果的定量分析。在本研究中,我们试图构建一种基于人工智能(AI)的训练模型,该模型能够自动识别结构复杂的小鼠肾脏中的肾小球病变。

材料与方法

以敲除小鼠的苏木精-伊红(HE)染色全切片图像(WSI)作为变异数据,对正常肾小球和肾小球病变进行标注,并使用HALO AI中的神经网络分类器DenseNet系统进行深度学习。通过纠正误识别组织区域的标注并重新进行深度学习来优化训练模型。通过将AI获得的结果与病理学家评估的病理分级进行比较,确认训练模型的准确性。还通过分析阿霉素(ADR)诱导的肾病小鼠的WSI(这是一种不同的疾病模型)来确认训练模型的通用性。

结果

我们的训练模型检测到了在Col4a3敲除小鼠和ADR小鼠中观察到的肾小球病变(包括系膜增生、新月体形成和硬化)。我们的训练模型检测到的肾小球病变数量也与病理学家计数的数量高度相关。

结论

在本研究中,我们构建了一个训练模型,使我们能够使用HALO AI系统自动识别小鼠肾脏中的肾小球病变。本研究的发现和见解将促进非临床研究中数字病理学的发展,并提高药物发现研究的成功概率。

https://cdn.ncbi.nlm.nih.gov/pmc/blobs/14c6/9577131/367b59749a68/gr1.jpg

文献AI研究员

20分钟写一篇综述,助力文献阅读效率提升50倍。

立即体验

用中文搜PubMed

大模型驱动的PubMed中文搜索引擎

马上搜索

文档翻译

学术文献翻译模型,支持多种主流文档格式。

立即体验