Suppr超能文献

N6-甲基腺苷甲基转移酶 METTL16 通过保障基因组完整性来实现红细胞生成。

The N-methyladenosine methyltransferase METTL16 enables erythropoiesis through safeguarding genome integrity.

机构信息

Department of Medical Chemistry, Graduate School of Medicine, Kyoto University, Kyoto, 606-8501, Japan.

Department of Genetics, Stanford University School of Medicine, Stanford, CA, 94305, USA.

出版信息

Nat Commun. 2022 Oct 28;13(1):6435. doi: 10.1038/s41467-022-34078-y.

Abstract

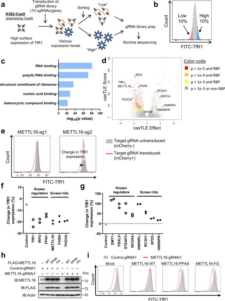
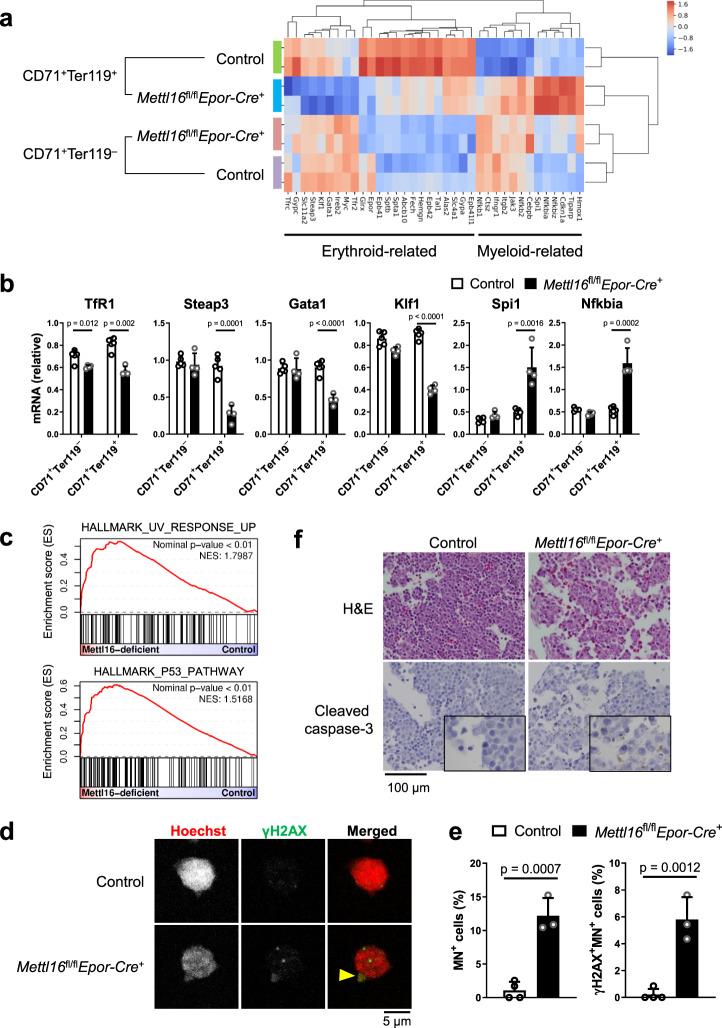
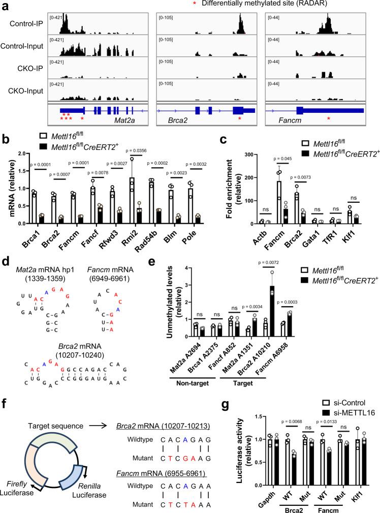
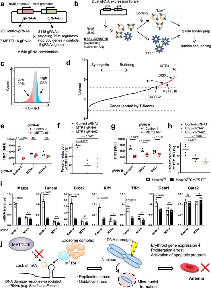
During erythroid differentiation, the maintenance of genome integrity is key for the success of multiple rounds of cell division. However, molecular mechanisms coordinating the expression of DNA repair machinery in erythroid progenitors are poorly understood. Here, we discover that an RNA N-methyladenosine (mA) methyltransferase, METTL16, plays an essential role in proper erythropoiesis by safeguarding genome integrity via the control of DNA-repair-related genes. METTL16-deficient erythroblasts exhibit defective differentiation capacity, DNA damage and activation of the apoptotic program. Mechanistically, METTL16 controls mA deposition at the structured motifs in DNA-repair-related transcripts including Brca2 and Fancm mRNAs, thereby upregulating their expression. Furthermore, a pairwise CRISPRi screen revealed that the MTR4-nuclear RNA exosome complex is involved in the regulation of METTL16 substrate mRNAs in erythroblasts. Collectively, our study uncovers that METTL16 and the MTR4-nuclear RNA exosome act as essential regulatory machinery to maintain genome integrity and erythropoiesis.

摘要

在红细胞分化过程中,维持基因组完整性对于多次细胞分裂的成功至关重要。然而,协调红细胞祖细胞中 DNA 修复机制表达的分子机制还知之甚少。在这里,我们发现一种 RNA N6-甲基腺苷(m6A)甲基转移酶 METTL16 通过控制 DNA 修复相关基因来保护基因组完整性,从而在适当的红细胞生成中发挥重要作用。METTL16 缺陷的红细胞表现出分化能力缺陷、DNA 损伤和凋亡程序激活。在机制上,METTL16 控制 DNA 修复相关转录本(包括 Brca2 和 Fancm mRNA)中结构基序处的 m6A 沉积,从而上调其表达。此外,成对的 CRISPRi 筛选显示,MTR4-核 RNA 外切酶复合物参与了红细胞中 METTL16 底物 mRNA 的调节。总之,我们的研究揭示了 METTL16 和 MTR4-核 RNA 外切酶作为维持基因组完整性和红细胞生成的重要调节机制。

https://cdn.ncbi.nlm.nih.gov/pmc/blobs/7ed3/9616860/9a247f5db227/41467_2022_34078_Fig1_HTML.jpg

文献AI研究员

20分钟写一篇综述,助力文献阅读效率提升50倍。

立即体验

用中文搜PubMed

大模型驱动的PubMed中文搜索引擎

马上搜索

文档翻译

学术文献翻译模型,支持多种主流文档格式。

立即体验