Suppr超能文献

重楼苷 I 通过 AKT/GSK-3/-连环蛋白信号通路抑制肝癌干细胞样特性的抗癌作用。

Anticancer Effect of Polyphyllin I in Suppressing Stem Cell-Like Properties of Hepatocellular Carcinoma via the AKT/GSK-3/-Catenin Signaling Pathway.

机构信息

Department of Hepatology, Shenzhen Traditional Chinese Medicine Hospital, The Fourth Clinical Medical College of Guangzhou University of Chinese Medicine, Shenzhen, China.

Nanjing University of Traditional Chinese Medicine, Nanjing, China.

出版信息

Oxid Med Cell Longev. 2022 Oct 22;2022:4031008. doi: 10.1155/2022/4031008. eCollection 2022.

Abstract

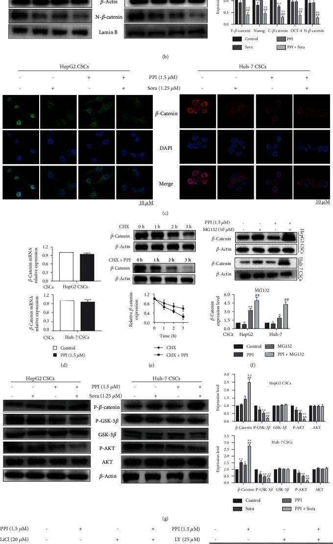
Polyphyllin I (PPI), also called Chong Lou saponin I, is a steroidal saponin isolated from the rhizome of . PPI has been demonstrated to have strong anticancer activity. However, its effect on the stemness of liver cancer stem cells (LCSCs) is not completely understood. Herein, we aimed to investigate the effect of PPI on the stem cell-like features of LCSCs and hepatocellular carcinoma (HCC). LCSCs were enriched in a serum-free medium and treated with PPI, sorafenib (Sora), or PPI and Sora. Several endpoints, including spheroid formation and differentiation, cell proliferation, surface markers of LCSCs, PPI binding targets, and stemness-associated protein expression, were evaluated. Immunofluorescence staining, quantitative real-time polymerase chain reaction, siRNA transfection, and coimmunoprecipitation ubiquitination assays were conducted for in-depth mechanistic studies. Evaluation of antitumor efficacy demonstrated that PPI effectively inhibited the proliferation of liver cancer cells and the self-renewal and differentiation of LCSCs. Flow cytometry indicated that PPI suppressed the expression of the stem cell surface markers EpCAM and CD13. Molecular docking showed a high affinity between PPI and proteins of the Wnt/-catenin signaling pathway, including AKT, GSK-3, and -catenin, with the binding energies of -5.51, -5.32, and -5.40 kcal/mol, respectively, which suggested that PPI might regulate the Wnt/-catenin signaling pathway to affect the stem cell-like properties of HCC. Further experiments implied that PPI activated the AKT/GSK-3-mediated ubiquitin proteasomal degradation of -catenin and subsequently attenuated the prooncogenic effect of LCSCs. Finally, the anticancer property of PPI was confirmed . It was found that PPI inhibited the tumor growth in an HCC cell line xenograft model. Taken together, molecular docking analysis and experimental data highlighted the novel function of PPI in suppressing the stem cell-like characteristics of LCSCs via the AKT/GSK-3/-catenin signaling pathway.

摘要

重楼皂苷 I (PPI) 又称重楼皂苷 I,是从重楼根茎中分离得到的甾体皂苷。已证实 PPI 具有很强的抗癌活性。然而,其对肝癌干细胞(LCSC)干性的影响尚不完全清楚。在此,我们旨在研究 PPI 对 LCSC 和肝细胞癌(HCC)干性样特征的影响。在无血清培养基中富集 LCSC,并使用 PPI、索拉非尼(Sora)或 PPI 和 Sora 进行处理。评估了几个终点,包括球体形成和分化、细胞增殖、LCSC 的表面标志物、PPI 结合靶点和干性相关蛋白表达。进行免疫荧光染色、实时定量聚合酶链反应、siRNA 转染和共免疫沉淀泛素化测定以进行深入的机制研究。评估抗肿瘤疗效表明 PPI 能有效抑制肝癌细胞增殖和 LCSC 的自我更新和分化。流式细胞术表明 PPI 抑制了干细胞表面标志物 EpCAM 和 CD13 的表达。分子对接显示 PPI 与 Wnt/-catenin 信号通路中的蛋白(包括 AKT、GSK-3 和 -catenin)具有高亲和力,结合能分别为-5.51、-5.32 和-5.40 kcal/mol,这表明 PPI 可能通过调节 Wnt/-catenin 信号通路来影响 HCC 的干性样特性。进一步的实验表明,PPI 激活了 AKT/GSK-3 介导的 -catenin 泛素蛋白酶体降解,从而减弱了 LCSC 的致癌作用。最后,验证了 PPI 的抗癌特性。研究发现 PPI 抑制了 HCC 细胞系异种移植模型中的肿瘤生长。综上所述,分子对接分析和实验数据突出了 PPI 通过 AKT/GSK-3/-catenin 信号通路抑制 LCSC 干性样特征的新功能。

https://cdn.ncbi.nlm.nih.gov/pmc/blobs/af5d/9617736/6b81cd2e9e1d/OMCL2022-4031008.001.jpg

文献AI研究员

20分钟写一篇综述,助力文献阅读效率提升50倍。

立即体验

用中文搜PubMed

大模型驱动的PubMed中文搜索引擎

马上搜索

文档翻译

学术文献翻译模型,支持多种主流文档格式。

立即体验