Suppr超能文献

HAGLROS 敲低通过 miR-138-5p/CLN5 轴抑制喉癌细胞增殖、迁移和侵袭并促进细胞凋亡。

HAGLROS knockdown restrained cell proliferation, migration and invasion and facilitated apoptosis in laryngeal cancer via miR-138-5p/CLN5 axis.

机构信息

The Second Hospital of Tianjin Medical University, ENT department, Tianjin, China.

出版信息

J Clin Lab Anal. 2022 Dec;36(12):e24712. doi: 10.1002/jcla.24712. Epub 2022 Nov 8.

Abstract

BACKGROUND

This work investigated the role of HAGLROS in laryngeal cancer (LC).

METHODS

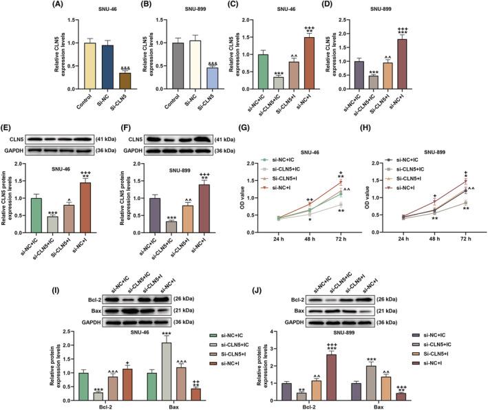
HAGLROS expression in the head and neck squamous cell carcinoma (HNSC), target miRNAs of HAGLROS, target mRNAs of miR-138-5p, and the binding sites of HAGLROS and miR-138-5p or CLN5 and miR-138-5p were predicted through bioinformatics. HAGLROS, miR-138-5p, CLN5, Bcl-2, and Bax levels were detected by qRT-PCR and Western blot. The biological functions of LC cells were assessed through CCK-8, colony formation assays, transwell assay, and flow cytometry assay. The targeting relationship between HAGLROS and miR-138-5p or CLN5 and miR-138-5p was confirmed by dual luciferase gene reporter analysis.

RESULTS

HAGLROS was upregulated in LC. HAGLROS-specific small interfering RNA (Si-HAGLROS) inhibited the viability, proliferation, migration, and invasion while increased the apoptosis in LC cells. MiR-138-5p was a target of HAGLROS and the miR-138-5p inhibitor reversed the effects of si-HAGLROS on LC cells. CLN5 was a target of miR-138-5p. MiR-138-5p inhibitor raised the viability, migration and invasion, and Bcl-2 expression while declined Bax expression in LC cells, with si-CLN5 performing the opposite effects and reversing the effects of miR-138-5p inhibitor.

CONCLUSION

Silenced HAGLROS restrained the LC cells' abilities to proliferate, migrate, and invade as well as facilitated apoptosis in LC via miR-138-5p/CLN5 axis.

摘要

背景

本研究探讨了 HAGLROS 在喉癌(LC)中的作用。

方法

通过生物信息学预测 HAGLROS 在头颈部鳞状细胞癌(HNSC)中的表达、HAGLROS 的靶miRNA、miR-138-5p 的靶mRNA,以及 HAGLROS 和 miR-138-5p 或 CLN5 和 miR-138-5p 的结合位点。通过 qRT-PCR 和 Western blot 检测 HAGLROS、miR-138-5p、CLN5、Bcl-2 和 Bax 的水平。通过 CCK-8、集落形成实验、Transwell 实验和流式细胞术评估 LC 细胞的生物学功能。通过双荧光素酶基因报告分析验证 HAGLROS 与 miR-138-5p 或 CLN5 与 miR-138-5p 之间的靶向关系。

结果

HAGLROS 在 LC 中上调。HAGLROS 特异性小干扰 RNA(Si-HAGLROS)抑制 LC 细胞的活力、增殖、迁移和侵袭,同时增加细胞凋亡。miR-138-5p 是 HAGLROS 的靶基因,miR-138-5p 抑制剂逆转了 si-HAGLROS 对 LC 细胞的影响。CLN5 是 miR-138-5p 的靶基因。miR-138-5p 抑制剂提高了 LC 细胞的活力、迁移和侵袭能力,上调了 Bcl-2 的表达,下调了 Bax 的表达,而 si-CLN5 则表现出相反的效果,逆转了 miR-138-5p 抑制剂的作用。

结论

沉默 HAGLROS 通过 miR-138-5p/CLN5 轴抑制 LC 细胞增殖、迁移和侵袭能力,并促进 LC 细胞凋亡。

https://cdn.ncbi.nlm.nih.gov/pmc/blobs/0bda/9756997/ad5dd98e1ad6/JCLA-36-e24712-g007.jpg

文献AI研究员

20分钟写一篇综述,助力文献阅读效率提升50倍。

立即体验

用中文搜PubMed

大模型驱动的PubMed中文搜索引擎

马上搜索

文档翻译

学术文献翻译模型,支持多种主流文档格式。

立即体验