Suppr超能文献

JNK1/2 对 BNIP3 的磷酸化作用促进了缺氧条件下通过增强其稳定性的线粒体自噬。

BNIP3 phosphorylation by JNK1/2 promotes mitophagy via enhancing its stability under hypoxia.

机构信息

Department of Neurobiology, Beijing Institute of Basic Medical Sciences, Beijing, 100850, China.

State Key Laboratory of Proteomics, Beijing Proteome Research Center, Beijing Institute of Radiation Medicine, Beijing, 100850, China.

出版信息

Cell Death Dis. 2022 Nov 17;13(11):966. doi: 10.1038/s41419-022-05418-z.

Abstract

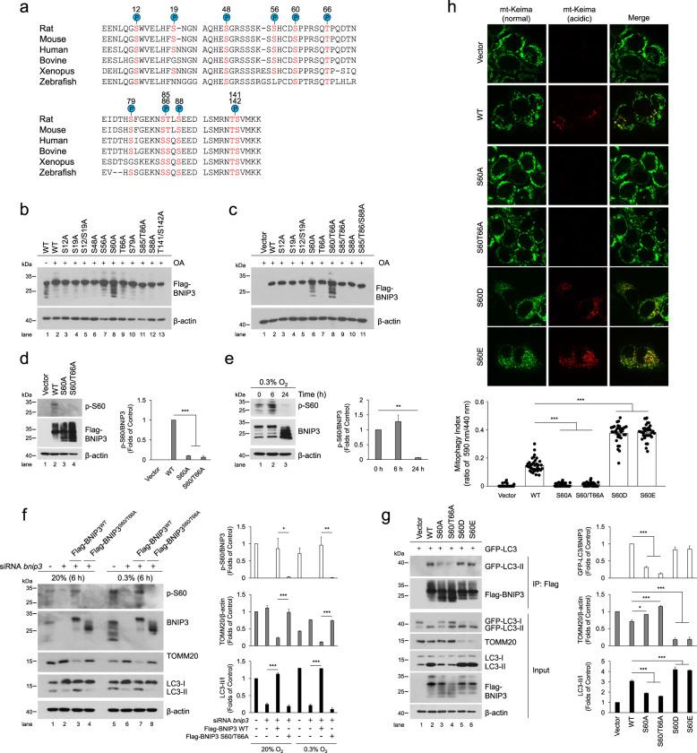
Mitophagy is an important metabolic mechanism that modulates mitochondrial quality and quantity by selectively removing damaged or unwanted mitochondria. BNIP3 (BCL2/adenovirus e1B 19 kDa protein interacting protein 3), a mitochondrial outer membrane protein, is a mitophagy receptor that mediates mitophagy under various stresses, particularly hypoxia, since BNIP3 is a hypoxia-responsive protein. However, the underlying mechanisms that regulate BNIP3 and thus mediate mitophagy under hypoxic conditions remain elusive. Here, we demonstrate that in hypoxia JNK1/2 (c-Jun N-terminal kinase 1/2) phosphorylates BNIP3 at Ser 60/Thr 66, which hampers proteasomal degradation of BNIP3 and drives mitophagy by facilitating the direct binding of BNIP3 to LC3 (microtubule-associated protein 1 light chain 3), while PP1/2A (protein phosphatase 1/2A) represses mitophagy by dephosphorylating BNIP3 and triggering its proteasomal degradation. These findings reveal the intrinsic mechanisms cells use to regulate mitophagy via the JNK1/2-BNIP3 pathway in response to hypoxia. Thus, the JNK1/2-BNIP3 signaling pathway strongly links mitophagy to hypoxia and may be a promising therapeutic target for hypoxia-related diseases.

摘要

自噬是一种重要的代谢机制,通过选择性地去除受损或不需要的线粒体来调节线粒体的质量和数量。BNIP3(BCL2/腺病毒 E1B 19kDa 蛋白相互作用蛋白 3)是一种线粒体外膜蛋白,是一种自噬受体,可介导各种应激下的自噬,特别是缺氧,因为 BNIP3 是一种缺氧反应蛋白。然而,调节 BNIP3 并在缺氧条件下介导自噬的潜在机制仍不清楚。在这里,我们证明在缺氧条件下,JNK1/2(c-Jun N-末端激酶 1/2)在 Ser60/Thr66 处磷酸化 BNIP3,这阻止了 BNIP3 的蛋白酶体降解,并通过促进 BNIP3 与 LC3(微管相关蛋白 1 轻链 3)的直接结合来驱动自噬,而 PP1/2A(蛋白磷酸酶 1/2A)通过去磷酸化 BNIP3 并触发其蛋白酶体降解来抑制自噬。这些发现揭示了细胞在缺氧时通过 JNK1/2-BNIP3 途径调节自噬的内在机制。因此,JNK1/2-BNIP3 信号通路将自噬与缺氧强烈联系起来,可能是与缺氧相关疾病的有前途的治疗靶点。

https://cdn.ncbi.nlm.nih.gov/pmc/blobs/7221/9672126/8ca99862a66d/41419_2022_5418_Fig1_HTML.jpg

文献AI研究员

20分钟写一篇综述,助力文献阅读效率提升50倍。

立即体验

用中文搜PubMed

大模型驱动的PubMed中文搜索引擎

马上搜索

文档翻译

学术文献翻译模型,支持多种主流文档格式。

立即体验