Suppr超能文献

磨牙缺失进一步加剧了与p38丝裂原活化蛋白激酶/核因子κB信号通路激活相关的双侧颈总动脉结扎诱导的认知障碍。

Molar loss further exacerbates 2-VO-induced cognitive impairment associated with the activation of p38MAPK/NFκB pathway.

作者信息

Lu Yunping, Pang Qian, Wu Qianqian, Luo Bin, Tang Xiaofei, Jiang Qingsong

机构信息

Department of Prosthodontics, Beijing Stomatological Hospital, School of Stomatology, Capital Medical University, Beijing, China.

Department of Stomatology, People's Hospital of Beijing Daxing District, Capital Medical University, Beijing, China.

出版信息

Front Aging Neurosci. 2022 Nov 3;14:930016. doi: 10.3389/fnagi.2022.930016. eCollection 2022.

Abstract

BACKGROUND

Vascular dementia is characterized by reduced cognitive function due to chronic cerebral hypoperfusion and has become a significant public health challenge as the global population ages. Recent studies suggested that molar loss, a common problem among the elderly, may trigger the development of cognitive decline. Our previous study found that the molar loss affected cognitive dysfunction, and the astrocytes in the hippocampus of chronic cerebral ischemia rats were affected, but the underlying mechanism is unclear.

METHODS

In this study, we established the animal model of molar loss with 2-VO rats and the Morris water maze was used to test the cognitive ability of rats in each group. The damage to neurons was observed Nissl staining, and neuronal apoptosis was analyzed by terminal deoxynucleotidyl transferase dUTP nick end labeling (TUNEL) assay in the hippocampus of the rats. Quantitative Real-Time PCR and immunohistochemistry and histology (IHC) were used to detect the expression of p38MAPK, NFκB, caspase 3, and iNOS in the hippocampus. The astrocytes were detected by IHC and Immunofluorescence analysis for GFAP. After 2-VO MO surgery, rats were administered DMSO or p38MAPK inhibitor (SB203580) by intrathecal injection.

RESULTS

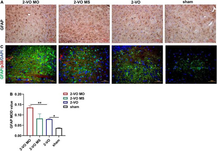
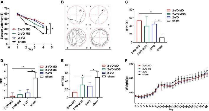
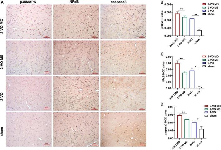
The Morris water maze test showed that the molar loss aggravated spatial memory learning ability with chronic cerebral ischemia decreased in the rats. The neuronal damage and more apoptotic cells were observed in the hippocampus of 2-VO rats. After the molar loss, the mRNA and protein expression of iNOS, p38MAPK, NFκB, and caspase 3 were further upregulated in 2-VO rats. Molar loss upregulated GFAP expression, and the p38MAPK-positive cells were labeled with the astrocyte marker GFAP. SB203580 reduced cognitive impairment and apoptosis of hippocampal neurons in 2-VO rats following the molar loss.

CONCLUSION

Molar loss can aggravate cognitive impairment in 2-VO rats to a certain extent. The mechanism of molar loss exacerbating the cognitive decline in 2-VO rats may be associated with the activation of the p38MAPK-NFκB-caspase 3 signaling pathway, which induces neuronal apoptosis.

摘要

背景

血管性痴呆的特征是由于慢性脑灌注不足导致认知功能减退,随着全球人口老龄化,它已成为一项重大的公共卫生挑战。最近的研究表明,磨牙缺失是老年人中的常见问题,可能会引发认知能力下降的发展。我们之前的研究发现磨牙缺失会影响认知功能障碍,慢性脑缺血大鼠海马中的星形胶质细胞也会受到影响,但其潜在机制尚不清楚。

方法

在本研究中,我们用2-VO大鼠建立了磨牙缺失的动物模型,并使用Morris水迷宫测试每组大鼠的认知能力。通过尼氏染色观察神经元损伤情况,并在大鼠海马中通过末端脱氧核苷酸转移酶dUTP缺口末端标记(TUNEL)法分析神经元凋亡。采用定量实时PCR、免疫组织化学和组织学(IHC)方法检测海马中p38MAPK、NFκB、caspase 3和iNOS的表达。通过免疫组织化学和免疫荧光分析GFAP来检测星形胶质细胞。在2-VO磨牙手术后,大鼠通过鞘内注射给予二甲基亚砜(DMSO)或p38MAPK抑制剂(SB203580)。

结果

Morris水迷宫测试表明,磨牙缺失会加重慢性脑缺血大鼠的空间记忆学习能力下降。在2-VO大鼠的海马中观察到神经元损伤和更多凋亡细胞。磨牙缺失后,2-VO大鼠中iNOS、p38MAPK、NFκB和caspase 3的mRNA和蛋白表达进一步上调。磨牙缺失上调了GFAP表达,并且p38MAPK阳性细胞用星形胶质细胞标志物GFAP标记。SB203580减轻了磨牙缺失后2-VO大鼠的认知障碍和海马神经元凋亡。

结论

磨牙缺失在一定程度上会加重2-VO大鼠的认知障碍。磨牙缺失加剧2-VO大鼠认知功能下降的机制可能与p38MAPK-NFκB-caspase 3信号通路的激活有关,该通路诱导神经元凋亡。

https://cdn.ncbi.nlm.nih.gov/pmc/blobs/1e94/9669382/96241b82136c/fnagi-14-930016-g001.jpg

文献AI研究员

20分钟写一篇综述,助力文献阅读效率提升50倍。

立即体验

用中文搜PubMed

大模型驱动的PubMed中文搜索引擎

马上搜索

文档翻译

学术文献翻译模型,支持多种主流文档格式。

立即体验