Suppr超能文献

牙齿缺失导致Wistar大鼠认知障碍和线粒体功能紊乱。

Tooth Loss Leads to Cognitive Impairment and Mitochondrial Disturbance in Wistar Rats.

作者信息

Meng Shixiang, Lu Yunping, Hu Jiangqi, Luo Bin, Sun Xu, Wang Xiaoyu, Jiang Qingsong

机构信息

Department of Prosthodontics, Beijing Stomatology Hospital & School of Stomatology, Capital Medical University, Beijing, China.

Department of Prosthodontics, Beijing Stomatology Hospital & School of Stomatology, Capital Medical University, Beijing, China.

出版信息

Int Dent J. 2025 Apr 30;75(4):100818. doi: 10.1016/j.identj.2025.03.027.

Abstract

BACKGROUND

The link between tooth loss and cognitive impairment has become increasingly significant. Recent findings suggest that mitochondrial alteration in hippocampal neurons may mediate this relationship.

OBJECTIVE

This study aimed to explore the mediating role of mitochondria in the relationship between tooth loss and cognitive function in Wistar rats.

METHOD

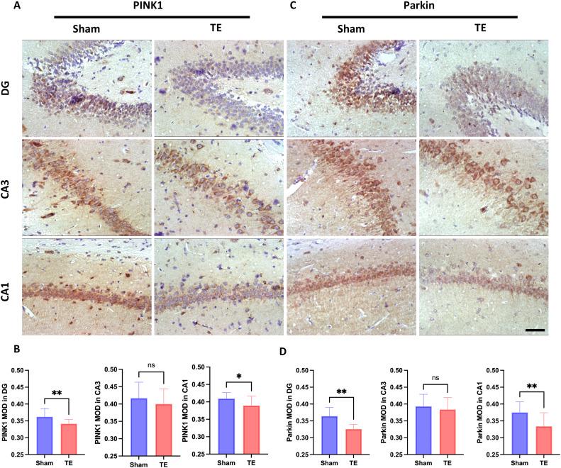
Male Wistar rats (n = 20, 12 weeks old) were randomly divided into tooth extraction (TE) and sham groups. The model was established through upper molar extraction and sham operation respectively. Cognitive evaluations were performed using Morris water maze (MWM) test 8 weeks after the model establishment. Hippocampal neuron morphology was observed. Mitochondrial function was evaluated by ATP level and mitochondrial membrane potential (MMP). Mitophagy assessment involved conducting immunohistochemical and immunofluorescent staining of PTEN-induced kinase 1 (PINK1), Parkin (E3 ubiquitin ligase), translocase of outer mitochondrial membrane 20 (TOMM20), and microtubule-associated protein 1A/1B-light chain 3 (LC3). Additionally, mitophagy protein alterations were analyzed using western blotting.

RESULTS

Memory impairment in the TE group was obvious 8 weeks after model establishment. Substantial hippocampal mitochondrial dysfunction was observed in the TE group, evidenced by notably decreased ATP production, decreased MMP level, and abnormal mitochondrial morphology in the hippocampus. Diminished mitophagy was detected by immunofluorescent staining, and further confirmed by immunostaining and western blotting, indicating diminished mitophagy marker levels in PINK1 and Parkin, along with decreased LC3II/I ratios and elevated Sequestosome-1 (SQSTM1/P62) levels, highlighting hippocampal mitophagy deficiency following tooth loss.

CONCLUSIONS

Tooth loss leads to mitochondrial disturbance and inhibits PINK1/Parkin-mediated mitophagy in hippocampal neurons, inducing cognitive impairment.

CLINICAL RELEVANCE

This study reveals mitochondria may mediate the effect of tooth loss on cognitive function, offering a theoretical basis for the prevention of oral health-associated cognitive decline.

摘要

背景

牙齿缺失与认知障碍之间的联系日益显著。最近的研究结果表明,海马神经元中的线粒体改变可能介导了这种关系。

目的

本研究旨在探讨线粒体在Wistar大鼠牙齿缺失与认知功能关系中的中介作用。

方法

将20只12周龄雄性Wistar大鼠随机分为拔牙组(TE)和假手术组。分别通过上颌磨牙拔除和假手术建立模型。在模型建立8周后,使用莫里斯水迷宫(MWM)试验进行认知评估。观察海马神经元形态。通过ATP水平和线粒体膜电位(MMP)评估线粒体功能。线粒体自噬评估包括对PTEN诱导激酶1(PINK1)、帕金(E3泛素连接酶)、外膜线粒体转位酶20(TOMM20)和微管相关蛋白1A/1B轻链3(LC3)进行免疫组织化学和免疫荧光染色。此外,使用蛋白质印迹法分析线粒体自噬蛋白的变化。

结果

模型建立8周后,TE组出现明显的记忆障碍。TE组观察到明显的海马线粒体功能障碍,表现为ATP生成显著减少、MMP水平降低以及海马线粒体形态异常。通过免疫荧光染色检测到线粒体自噬减少,并通过免疫染色和蛋白质印迹法进一步证实,表明PINK1和帕金中线粒体自噬标记物水平降低,同时LC3II/I比率降低和隔离小体1(SQSTM1/P62)水平升高,突出了牙齿缺失后海马线粒体自噬缺陷。

结论

牙齿缺失导致线粒体紊乱,并抑制海马神经元中PINK1/帕金介导的线粒体自噬,从而导致认知障碍。

临床意义

本研究揭示线粒体可能介导牙齿缺失对认知功能的影响,为预防口腔健康相关的认知衰退提供了理论依据。

https://cdn.ncbi.nlm.nih.gov/pmc/blobs/89f5/12084507/89704d62e906/ga1.jpg

文献AI研究员

20分钟写一篇综述,助力文献阅读效率提升50倍。

立即体验

用中文搜PubMed

大模型驱动的PubMed中文搜索引擎

马上搜索

文档翻译

学术文献翻译模型,支持多种主流文档格式。

立即体验