Suppr超能文献

骨髓间充质干细胞联合艾灸通过改善线粒体功能和调控自噬恢复环磷酰胺诱导的卵巢早衰。

Combination of bone marrow mesenchymal stem cells and moxibustion restores cyclophosphamide-induced premature ovarian insufficiency by improving mitochondrial function and regulating mitophagy.

机构信息

College of Acupuncture Moxibustion and Tuina, Nanjing University of Chinese Medicine, Nanjing, China.

Key Laboratory of Acupuncture and Medicine Research of Ministry of Education, Nanjing University of Chinese Medicine, Nanjing, China.

出版信息

Stem Cell Res Ther. 2024 Apr 8;15(1):102. doi: 10.1186/s13287-024-03709-0.

Abstract

BACKGROUND

Premature ovarian insufficiency (POI) is a major cause of infertility. In this study, we aimed to investigate the effects of the combination of bone marrow mesenchymal stem cells (BMSCs) and moxibustion (BMSCs-MOX) on POI and evaluate the underlying mechanisms.

METHODS

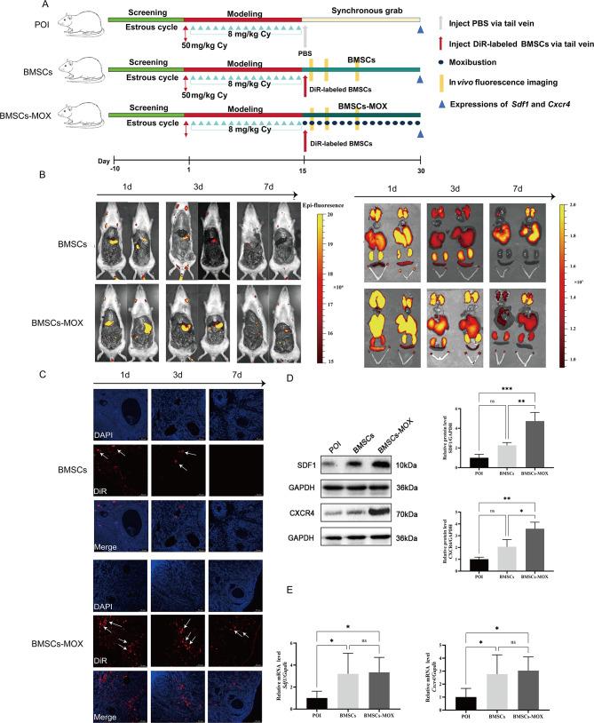
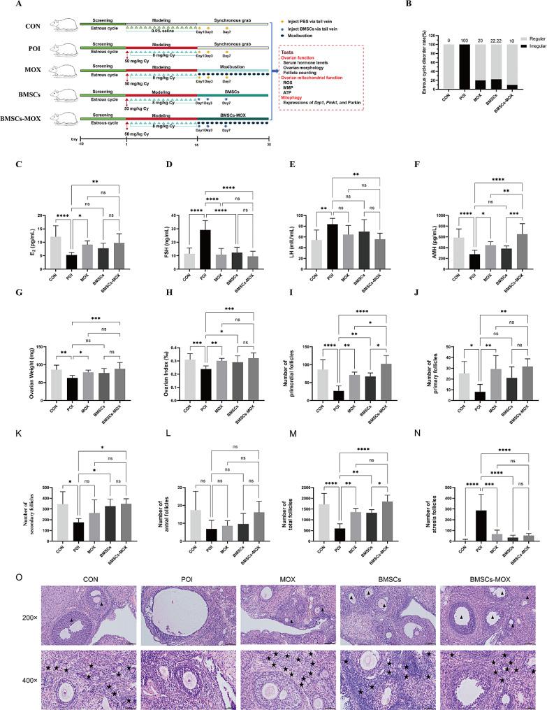
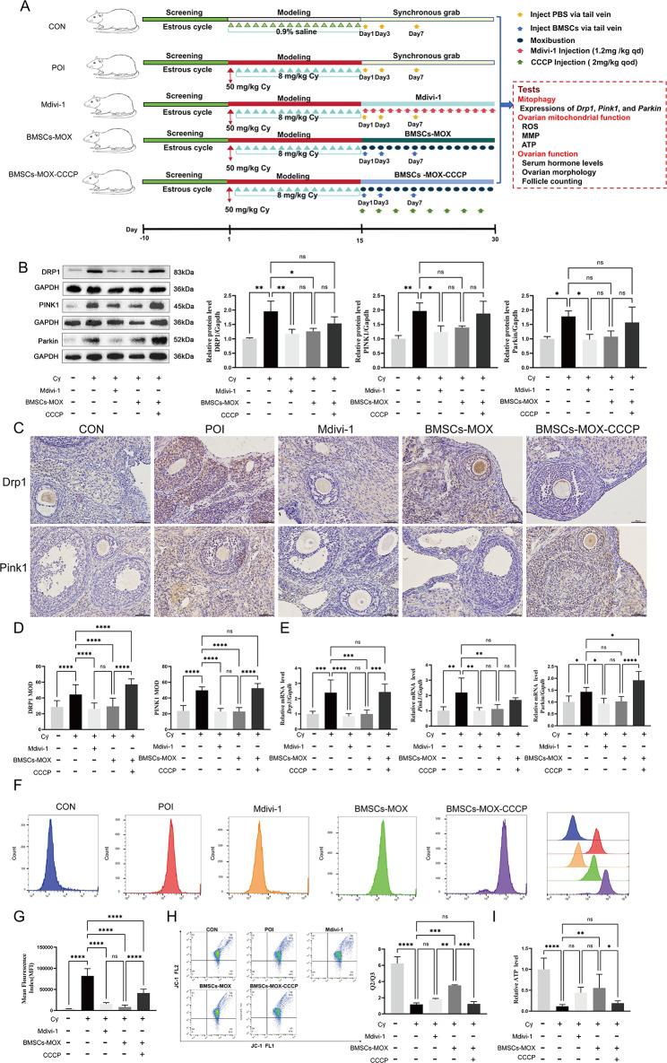
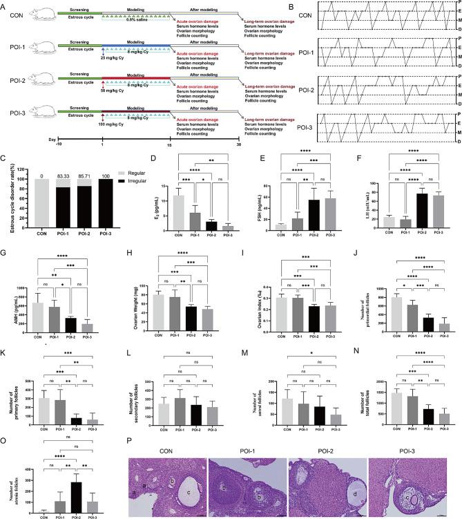
A POI rat model was established by injecting different doses of cyclophosphamide (Cy). The modeling of POI and the effects of the treatments were assessed by evaluating estrous cycle, serum hormone levels, ovarian weight, ovarian index, and ovarian histopathological analysis. The effects of moxibustion on BMSCs migration were evaluated by tracking DiR-labeled BMSCs and analyzing the expression of chemokines stromal cell-derived factor 1 (Sdf1) and chemokine receptor type 4 (Cxcr4). Mitochondrial function and mitophagy were assessed by measuring the levels of reactive oxygen species (ROS), mitochondrial membrane potential (MMP), ATP, and the mitophagy markers (Drp1, Pink1, and Parkin). Furthermore, the mitophagy inhibitor Mdivi-1 and the mitophagy activator CCCP were used to confirm the role of mitophagy in Cy-induced ovarian injury and the underlying mechanism of combination therapy.

RESULTS

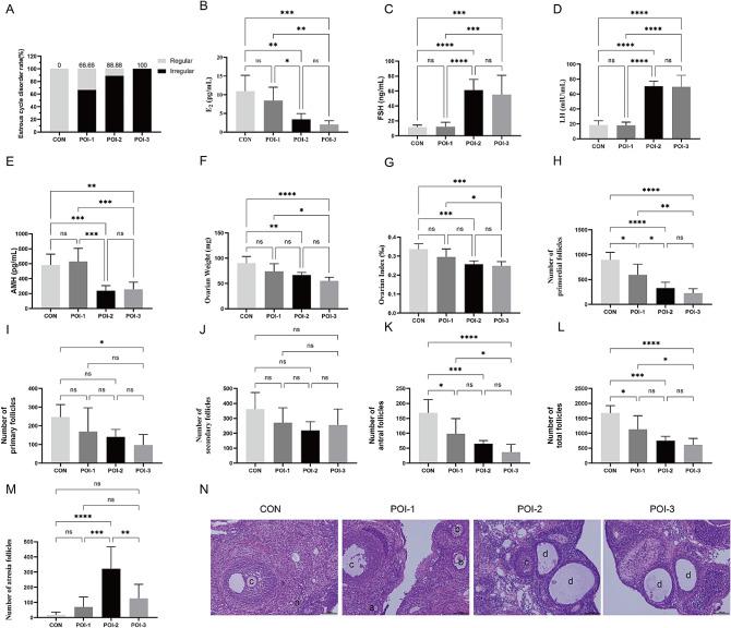
A suitable rat model of POI was established using Cy injection. Compared to moxibustion or BMSCs transplantation alone, BMSCs-MOX showed improved outcomes, such as reduced estrous cycle disorders, improved ovarian weight and index, normalized serum hormone levels, increased ovarian reserve, and reduced follicle atresia. Moxibustion enhanced Sdf1 and Cxcr4 expression, promoting BMSCs migration. BMSCs-MOX reduced ROS levels; upregulated MMP and ATP levels in ovarian granulosa cells (GCs); and downregulated Drp1, Pink1, and Parkin expression in ovarian tissues. Mdivi-1 significantly mitigated mitochondrial dysfunction in ovarian GCs and improved ovarian function. CCCP inhibited the ability of BMSCs-MOX treatment to regulate mitophagy and ameliorate Cy-induced ovarian injury.

CONCLUSIONS

Moxibustion enhanced the migration and homing of BMSCs following transplantation and improves their ability to repair ovarian damage. The combination of BMSCs and moxibustion effectively reduced the excessive activation of mitophagy, which helped prevent mitochondrial damage, ultimately improving ovarian function. These findings provide a novel approach for the treatment of pathological ovarian aging and offer new insights into enhancing the efficacy of stem cell therapy for POI patients.

摘要

背景

卵巢早衰(POI)是不孕的主要原因。本研究旨在探讨骨髓间充质干细胞(BMSCs)与艾灸(BMSCs-MOX)联合治疗对 POI 的影响,并评估其潜在机制。

方法

通过注射不同剂量的环磷酰胺(Cy)建立 POI 大鼠模型。通过评估动情周期、血清激素水平、卵巢重量、卵巢指数和卵巢组织学分析来评估模型的建立和治疗效果。通过追踪 DiR 标记的 BMSCs 并分析趋化因子基质细胞衍生因子 1(Sdf1)和趋化因子受体 4(Cxcr4)的表达来评估艾灸对 BMSCs 迁移的影响。通过测量活性氧(ROS)、线粒体膜电位(MMP)、ATP 和自噬标记物(Drp1、Pink1 和 Parkin)的水平来评估线粒体功能和自噬。此外,使用自噬抑制剂 Mdivi-1 和自噬激活剂 CCCP 来确认自噬在 Cy 诱导的卵巢损伤中的作用及其联合治疗的潜在机制。

结果

通过 Cy 注射成功建立了合适的 POI 大鼠模型。与艾灸或 BMSCs 移植单独治疗相比,BMSCs-MOX 显示出更好的效果,如减少动情周期紊乱、改善卵巢重量和指数、正常化血清激素水平、增加卵巢储备和减少卵泡闭锁。艾灸增强了 Sdf1 和 Cxcr4 的表达,促进了 BMSCs 的迁移。BMSCs-MOX 降低了卵巢颗粒细胞(GCs)中的 ROS 水平;上调了 MMP 和 ATP 水平;下调了卵巢组织中的 Drp1、Pink1 和 Parkin 表达。Mdivi-1 显著减轻了卵巢 GCs 中的线粒体功能障碍,并改善了卵巢功能。CCCP 抑制了 BMSCs-MOX 治疗调节自噬和改善 Cy 诱导的卵巢损伤的能力。

结论

艾灸增强了移植后 BMSCs 的迁移和归巢能力,并提高了其修复卵巢损伤的能力。BMSCs 与艾灸的联合治疗有效减少了过度激活的自噬,有助于防止线粒体损伤,最终改善卵巢功能。这些发现为病理性卵巢衰老的治疗提供了一种新方法,并为增强 POI 患者干细胞治疗的疗效提供了新的见解。

https://cdn.ncbi.nlm.nih.gov/pmc/blobs/987a/11003045/37658484adc5/13287_2024_3709_Fig1_HTML.jpg

文献AI研究员

20分钟写一篇综述,助力文献阅读效率提升50倍。

立即体验

用中文搜PubMed

大模型驱动的PubMed中文搜索引擎

马上搜索

文档翻译

学术文献翻译模型,支持多种主流文档格式。

立即体验