Suppr超能文献

Spautin-1 促进 PINK1-PRKN 依赖性线粒体自噬,并改善阿尔茨海默病动物模型中的联想学习能力。

Spautin-1 promotes PINK1-PRKN-dependent mitophagy and improves associative learning capability in an alzheimer disease animal model.

机构信息

School of Basic Medical Sciences, Lanzhou University, Lanzhou, Gansu, China.

Department of Clinical Molecular Biology, University of Oslo and Akershus University Hospital, Lørenskog, Norway.

出版信息

Autophagy. 2024 Dec;20(12):2655-2676. doi: 10.1080/15548627.2024.2383145. Epub 2024 Aug 1.

Abstract

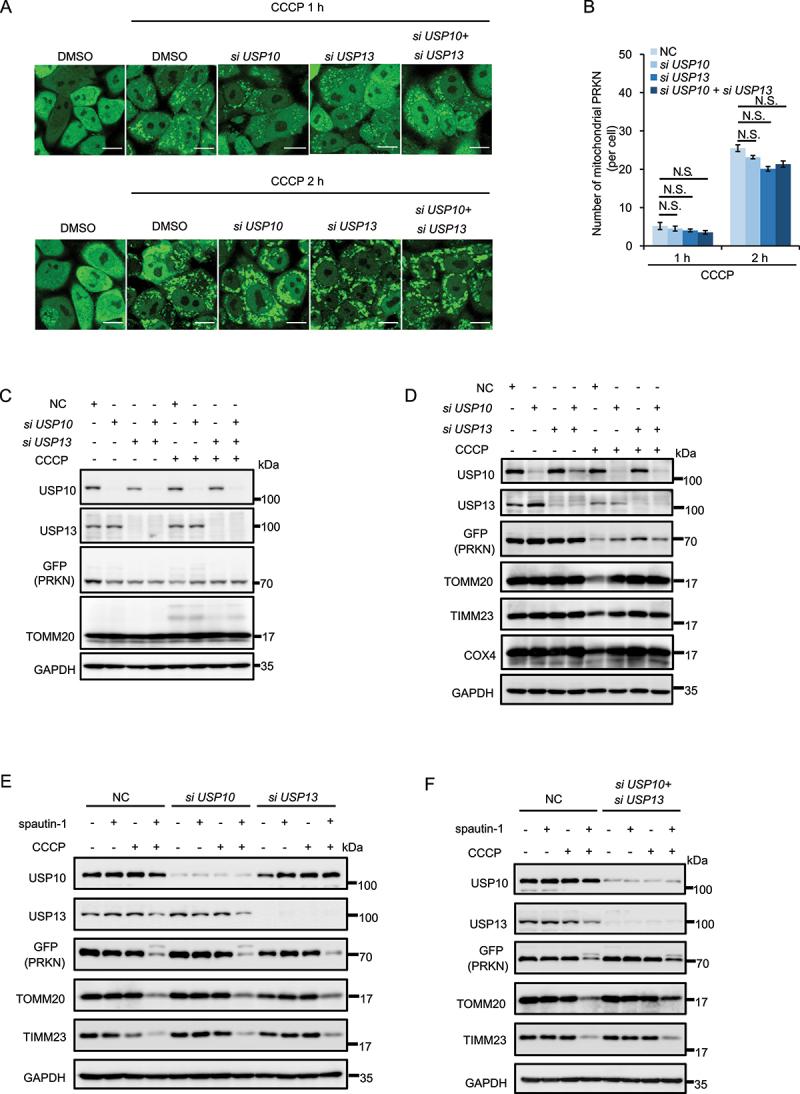
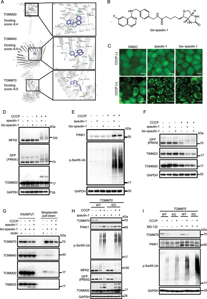
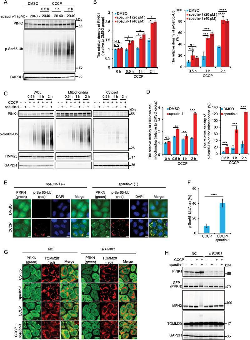
Spautin-1 is a well-known macroautophagy/autophagy inhibitor via suppressing the deubiquitinases USP10 and USP13 and promoting the degradation of the PIK3C3/VPS34-BECN1 complex, while its effect on selective autophagy remains poorly understood. Mitophagy is a selective form of autophagy for removal of damaged and superfluous mitochondria via the autophagy-lysosome pathway. Here, we report a surprising discovery that, while spautin-1 remains as an effective autophagy inhibitor, it promotes PINK1-PRKN-dependent mitophagy induced by mitochondrial damage agents. Mechanistically, spautin-1 facilitates the stabilization and activation of the full-length PINK1 at the outer mitochondrial membrane (OMM) via binding to components of the TOMM complex (TOMM70 and TOMM20), leading to the disruption of the mitochondrial import of PINK1 and prevention of PARL-mediated PINK1 cleavage. Moreover, spautin-1 induces neuronal mitophagy in () in a PINK-1-PDR-1-dependent manner. Functionally, spautin-1 is capable of improving associative learning capability in an Alzheimer disease (AD) model. In summary, we report a novel function of spautin-1 in promoting mitophagy via the PINK1-PRKN pathway. As deficiency of mitophagy is closely implicated in the pathogenesis of neurodegenerative disorders, the pro-mitophagy function of spautin-1 might suggest its therapeutic potential in neurodegenerative disorders such as AD. AD, Alzheimer disease; ATG, autophagy related; BafA1, bafilomycin A; CALCOCO2/NDP52, calcium binding and coiled-coil domain 2; CCCP, carbonyl cyanide m-chlorophenyl hydrazone; COX4/COX IV, cytochrome c oxidase subunit 4; EBSS, Earle's balanced salt; ECAR, extracellular acidification rate; GFP, green fluorescent protein; IA, isoamyl alcohol; IMM, inner mitochondrial membrane; MAP1LC3/LC3, microtubule associated protein 1 light chain 3; MMP, mitochondrial membrane potential; mtDNA, mitochondrial DNA; nDNA, nuclear DNA; O/A, oligomycin-antimycin; OCR, oxygen consumption rate; OMM, outer mitochondrial membrane; OPTN, optineurin; PARL, presenilin associated rhomboid like; PINK1, PTEN induced kinase 1; PRKN, parkin RBR E3 ubiquitin protein ligase; p-Ser65-Ub, phosphorylation of Ub at Ser65; TIMM23, translocase of inner mitochondrial membrane 23; TOMM, translocase of outer mitochondrial membrane; USP10, ubiquitin specific peptidase 10; USP13, ubiquitin specific peptidase 13; VAL, valinomycin; YFP, yellow fluorescent protein.

摘要

Spautin-1 是一种众所周知的巨自噬/自噬抑制剂,通过抑制去泛素酶 USP10 和 USP13 并促进 PIK3C3/VPS34-BECN1 复合物的降解,而其对选择性自噬的影响知之甚少。线粒体自噬是通过自噬-溶酶体途径去除受损和多余线粒体的一种选择性自噬形式。在这里,我们报告了一个令人惊讶的发现,尽管 spautin-1 仍然是一种有效的自噬抑制剂,但它可以促进线粒体损伤剂诱导的 PINK1-PRKN 依赖性线粒体自噬。在机制上,spautin-1 通过与 TOMM 复合物(TOMM70 和 TOMM20)的成分结合,促进全长 PINK1 在 OMM 上的稳定和激活,导致 PINK1 的线粒体导入中断,并防止 PARL 介导的 PINK1 切割。此外,spautin-1 以 PINK1-PDR-1 依赖的方式诱导 () 中的神经元线粒体自噬。在功能上,spautin-1 能够改善阿尔茨海默病 (AD) 模型中的联想学习能力。总之,我们报告了 spautin-1 通过 PINK1-PRKN 途径促进线粒体自噬的新功能。由于线粒体自噬的缺陷与神经退行性疾病的发病机制密切相关,spautin-1 的促线粒体自噬功能可能表明其在 AD 等神经退行性疾病中的治疗潜力。AD,阿尔茨海默病;ATG,自噬相关;BafA1,巴弗霉素 A;CALCOCO2/NDP52,钙结合和卷曲螺旋结构域 2;CCCP,羰基氰化物 m-氯苯腙;COX4/COX IV,细胞色素 c 氧化酶亚基 4;EBSS,Earle 的平衡盐;ECAR,细胞外酸化率;GFP,绿色荧光蛋白;IA,异戊醇;IMM,内线粒体膜;MAP1LC3/LC3,微管相关蛋白 1 轻链 3;MMP,线粒体膜电位;mtDNA,线粒体 DNA;nDNA,核 DNA;O/A,寡霉素-抗霉素;OCR,耗氧率;OMM,外线粒体膜;OPTN,optineurin;PARL,早老素相关的菱形样;PINK1,PTEN 诱导的激酶 1;PRKN,Parkin RBR E3 泛素蛋白连接酶;p-Ser65-Ub,Ub 在 Ser65 上的磷酸化;TIMM23,线粒体内膜转运 23;TOMM,外线粒体膜转运;USP10,泛素特异性肽酶 10;USP13,泛素特异性肽酶 13;VAL,缬氨霉素;YFP,黄色荧光蛋白。

https://cdn.ncbi.nlm.nih.gov/pmc/blobs/0e1e/11587853/f919d9b91b7f/KAUP_A_2383145_F0001_OC.jpg

文献AI研究员

20分钟写一篇综述,助力文献阅读效率提升50倍。

立即体验

用中文搜PubMed

大模型驱动的PubMed中文搜索引擎

马上搜索

文档翻译

学术文献翻译模型,支持多种主流文档格式。

立即体验