Suppr超能文献

丝素蛋白作为一种有效的药物传递、基因治疗和创伤愈合的生物材料。

Silk Fibroin as an Efficient Biomaterial for Drug Delivery, Gene Therapy, and Wound Healing.

机构信息

Department of Pharmaceutical Sciences, School of Applied Science and Technology, University of Kashmir, Jammu and Kashmir, Srinagar 190006, India.

Department of Pharmaceutical Sciences, College of Pharmacy, AlMaarefa University, Ad Diriyah 13713, Saudi Arabia.

出版信息

Int J Mol Sci. 2022 Nov 20;23(22):14421. doi: 10.3390/ijms232214421.

Abstract

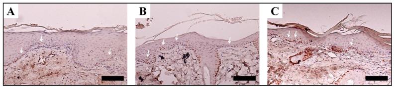
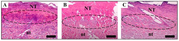
Silk fibroin (SF), an organic material obtained from the cocoons of a silkworm , is used in several applications and has a proven track record in biomedicine owing to its superior compatibility with the human body, superb mechanical characteristics, and its controllable propensity to decay. Due to its robust biocompatibility, less immunogenic, non-toxic, non-carcinogenic, and biodegradable properties, it has been widely used in biological and biomedical fields, including wound healing. The key strategies for building diverse SF-based drug delivery systems are discussed in this review, as well as the most recent ways for developing functionalized SF for controlled or redirected medicines, gene therapy, and wound healing. Understanding the features of SF and the various ways to manipulate its physicochemical and mechanical properties enables the development of more effective drug delivery devices. Drugs are encapsulated in SF-based drug delivery systems to extend their shelf life and control their release, allowing them to travel further across the bloodstream and thus extend their range of operation. Furthermore, due to their tunable properties, SF-based drug delivery systems open up new possibilities for drug delivery, gene therapy, and wound healing.

摘要

丝素蛋白(SF)是一种从蚕茧中提取的有机材料,由于其与人体的优异相容性、卓越的机械特性以及可控制的降解倾向,已在生物医学领域得到广泛应用,并取得了良好的效果。由于其强大的生物相容性、低免疫原性、无毒、无致癌性和可生物降解性,已被广泛应用于生物和生物医学领域,包括伤口愈合。本文综述了构建基于 SF 的多种药物输送系统的关键策略,以及为控制或定向药物、基因治疗和伤口愈合而开发功能化 SF 的最新方法。了解 SF 的特性以及操纵其物理化学和机械性能的各种方法,可以开发出更有效的药物输送装置。将药物封装在基于 SF 的药物输送系统中,可以延长其保质期并控制其释放,使它们能够在血液中更自由地传输,从而扩大其作用范围。此外,由于其可调的特性,基于 SF 的药物输送系统为药物输送、基因治疗和伤口愈合开辟了新的可能性。

https://cdn.ncbi.nlm.nih.gov/pmc/blobs/d9d0/9692988/850423a68c32/ijms-23-14421-g005.jpg

文献AI研究员

20分钟写一篇综述,助力文献阅读效率提升50倍。

立即体验

用中文搜PubMed

大模型驱动的PubMed中文搜索引擎

马上搜索

文档翻译

学术文献翻译模型,支持多种主流文档格式。

立即体验