Suppr超能文献

建立遗传和饮食诱导肥胖对斑马鱼黑色素瘤进展影响的模型。

Modeling the effects of genetic- and diet-induced obesity on melanoma progression in zebrafish.

机构信息

Cancer Biology and Genetics Program, Memorial Sloan Kettering Cancer Center, New York, NY 10065, USA.

Weill Cornell/Rockefeller/Sloan Kettering Tri-Institutional MD-PhD Program, New York, NY 10065, USA.

出版信息

Dis Model Mech. 2023 Jan 1;16(1). doi: 10.1242/dmm.049671. Epub 2023 Jan 20.

Abstract

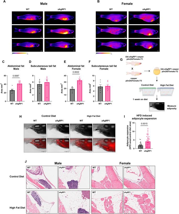
Obesity is a rising concern and associated with an increase in numerous cancers, often in a sex-specific manner. Preclinical models are needed to deconvolute the intersection between obesity, sex and melanoma. Here, we generated a zebrafish system that can be used as a platform for studying these factors. We studied how germline overexpression of Agrp along with a high-fat diet affects melanomas dependent on BRAFV600E and loss of p53. This revealed an increase in tumor incidence and area in male, but not female, obese fish, consistent with the clinical literature. We then determined whether this was further affected by additional somatic mutations in the clinically relevant genes rb1 or ptena/b. We found that the male obesogenic effect on melanoma was present with tumors generated with BRAF;p53;Rb1 but not BRAF;p53;Pten. These data indicate that both germline (Agrp) and somatic (BRAF, Rb1) mutations contribute to obesity-related effects in melanoma. Given the rapid genetic tools available in the zebrafish, this provides a high-throughput system to dissect the interactions of genetics, diet, sex and host factors in obesity-related cancers.

摘要

肥胖是一个日益严重的问题,与许多癌症的发病率增加有关,而且通常具有性别特异性。需要临床前模型来阐明肥胖、性别和黑色素瘤之间的交集。在这里,我们生成了一种斑马鱼系统,可以将其用作研究这些因素的平台。我们研究了生殖细胞中 Agrp 的过表达以及高脂肪饮食如何影响依赖 BRAFV600E 和 p53 缺失的黑色素瘤。这表明肥胖雄性鱼的肿瘤发生率和面积增加,而肥胖雌性鱼则没有,这与临床文献一致。然后,我们确定了在临床上相关基因 rb1 或 ptena/b 中是否存在额外的体细胞突变,是否会进一步影响这种情况。我们发现,具有 BRAF;p53;Rb1 但不具有 BRAF;p53;Pten 的肿瘤中存在雄性肥胖对黑色素瘤的促瘤作用。这些数据表明,生殖细胞(Agrp)和体细胞(BRAF、Rb1)突变都有助于肥胖相关黑色素瘤的发生。鉴于斑马鱼中快速的遗传工具,这为解析肥胖相关癌症中遗传、饮食、性别和宿主因素的相互作用提供了一个高通量系统。

https://cdn.ncbi.nlm.nih.gov/pmc/blobs/57aa/9884122/0a7a71c3eea4/dmm-16-049671-g1.jpg

文献AI研究员

20分钟写一篇综述,助力文献阅读效率提升50倍。

立即体验

用中文搜PubMed

大模型驱动的PubMed中文搜索引擎

马上搜索

文档翻译

学术文献翻译模型,支持多种主流文档格式。

立即体验