Suppr超能文献

高分辨率胸部CT在诊断间质性肺疾病中的作用及其与吸烟和结缔组织病的关联

Role of High-Resolution CT Thorax in Diagnosing Interstitial Lung Disease and Its Association With Smoking and Connective Tissue Disorder.

作者信息

Doshi Jainam A, Mundhra Krati S, Shah Dharita S, Shah Sahil N, Patel Tamanna V, Bhatt Anand

机构信息

Radiology, Sardar Vallabhbhai Patel Institute of Medical Sciences and Research, Ahmedabad, IND.

出版信息

Cureus. 2022 Nov 4;14(11):e31107. doi: 10.7759/cureus.31107. eCollection 2022 Nov.

Abstract

Introduction Interstitial lung diseases (ILDs) primarily affect the interstitium, an alveolar wall tissue between the capillary endothelium and the alveolar epithelium. The term 'interstitial,' however, is misleading since alveolar spaces, peripheral airways, and vessels can be involved in most of these disorders.They often require a multidisciplinary diagnosis i.e., an integration of clinical, radiological, and pathological findings. A chest radiograph is relatively insensitive because of nonspecific patterns. Generally, these disorders can progress to irreversible pulmonary fibrosis and are an important cause of morbidity and mortality. It is critical to make a prompt and accurate diagnosis of the underlying causes so that patients can be managed appropriately. ILD is subdivided into idiopathic interstitial pneumonia, of which idiopathic pulmonary fibrosis (IPF) is one subset, and diffuse parenchymal lung diseases, which may be secondary to a variety of occupational or environmental exposures or others. They can complicate multiple rheumatic or connective tissue diseases (CTDs). Apart from ILD, other forms of lung damage involving the pleura, vasculature, airways, and lymphatic tissue can complicate CTDs. Aims  Aims include studying the role of high-resolution computed tomography (HRCT) in diagnosing various ILDs based on morphologic patterns, evaluating the correlation between ILD and various connective tissue disorders and the prevalence of complications in such patients, and evaluating the association of smoking with various ILDs. Methods This is a retrospective study in which HRCT thorax was performed on a 128-slice Philips CT scanner machine on 50 patients from December 2020 to February 2022 in SVP Hospital, Ahmedabad. No age or gender bias was followed. Result Out of 50 patients studied, 19 (38%) patients had the usual interstitial pneumonia (UIP) pattern and 12 (24%) had the nonspecific interstitial pneumonia (NSIP) pattern. These two were the most common among all ILD patterns. Other patterns found were hypersensitivity pneumonitis (5; 10%), respiratory bronchiolitis-related ILD (3;6%), and organizing pneumonia (2; 4%). In nine patients, the morphologic pattern was either subtle (3; 6%) or mixed (6; 12%), and the final diagnosis remained inconclusive; patients were advised clinical correlation and biopsy. Eleven (22%) patients had a history of smoking. Among smokers, the most common pattern was UIP while all patients with respiratory bronchiolitis (RB) ILD had a history of smoking. Fourteen (28%) patients showed a positive association with CTD. Among them, rheumatoid arthritis (RA) was the most common CTD and the most common pattern among RA patients was UIP. Ten (20%) of patients developed pulmonary arterial hypertension, of which two patients who had connective tissue disorder developed pulmonary arterial hypertension at a young age (24 years). The rest of the patients who developed pulmonary arterial hypertension were above 45 years of age. Among these, two were smokers. Conclusion HRCT plays an important role in the diagnosis of ILD on the basis of various morphological patterns. CTD plays a significant role in the development of ILD. UIP is the most common ILD among patients with a smoking history and RA. NSIP Is the most common in patients with CTD other than RA. Pulmonary arterial hypertension (PAH) develops early in patients with CTD. There is a significant risk of the development of PAH in patients with chronic ILD.

摘要

引言

间质性肺疾病(ILDs)主要影响肺间质,即毛细血管内皮和肺泡上皮之间的肺泡壁组织。然而,“间质”一词具有误导性,因为在大多数这些疾病中,肺泡腔、外周气道和血管也可能受累。它们通常需要多学科诊断,即整合临床、放射学和病理学检查结果。胸部X光片由于表现不具特异性,相对不敏感。一般来说,这些疾病可进展为不可逆的肺纤维化,是发病和死亡的重要原因。及时准确地诊断潜在病因至关重要,以便对患者进行适当治疗。ILD可细分为特发性间质性肺炎(其中特发性肺纤维化(IPF)是一个子集)和弥漫性实质性肺疾病,后者可能继发于各种职业或环境暴露或其他因素。它们可使多种风湿性或结缔组织病(CTD)复杂化。除ILD外,其他形式的累及胸膜、脉管系统、气道和淋巴组织的肺损伤也可使CTD复杂化。

目的

目的包括基于形态学模式研究高分辨率计算机断层扫描(HRCT)在诊断各种ILD中的作用,评估ILD与各种结缔组织疾病之间的相关性以及此类患者并发症的发生率,以及评估吸烟与各种ILD的关联。

方法

这是一项回顾性研究,于2020年12月至2022年2月期间,在艾哈迈达巴德的SVP医院,使用128层飞利浦CT扫描仪对50例患者进行了胸部HRCT检查。未遵循年龄或性别偏见。

结果

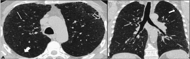
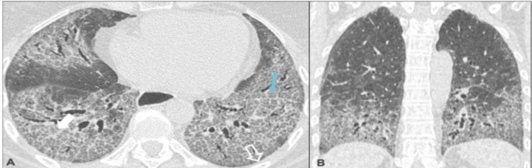
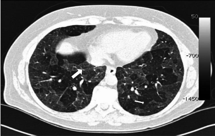
在研究的50例患者中,19例(38%)表现为普通型间质性肺炎(UIP)模式,12例(24%)表现为非特异性间质性肺炎(NSIP)模式。这两种是所有ILD模式中最常见的。发现的其他模式包括过敏性肺炎(5例;10%)、呼吸性细支气管炎相关的ILD(3例;6%)和机化性肺炎(2例;4%)。9例患者的形态学模式不明显(3例;6%)或为混合型(6例;12%),最终诊断仍不明确;建议患者进行临床关联和活检。11例(22%)患者有吸烟史。在吸烟者中,最常见的模式是UIP,而所有呼吸性细支气管炎(RB)ILD患者都有吸烟史。14例(28%)患者显示与CTD呈正相关。其中,类风湿关节炎(RA)是最常见的CTD,RA患者中最常见的模式是UIP。10例(20%)患者发生了肺动脉高压,其中2例患有结缔组织病的患者在年轻时(24岁)发生了肺动脉高压。其余发生肺动脉高压的患者年龄在45岁以上。其中,2例为吸烟者。

结论

HRCT在基于各种形态学模式诊断ILD中起重要作用。CTD在ILD的发生中起重要作用。UIP是有吸烟史和RA患者中最常见的ILD。NSIP是除RA外CTD患者中最常见的。肺动脉高压(PAH)在CTD患者中早期发生。慢性ILD患者发生PAH的风险显著。

https://cdn.ncbi.nlm.nih.gov/pmc/blobs/935a/9719881/e3e0c075167e/cureus-0014-00000031107-i01.jpg

文献AI研究员

20分钟写一篇综述,助力文献阅读效率提升50倍。

立即体验

用中文搜PubMed

大模型驱动的PubMed中文搜索引擎

马上搜索

文档翻译

学术文献翻译模型,支持多种主流文档格式。

立即体验