Suppr超能文献

结缔组织病相关间质性肺疾病(CTD-ILD)和间质性肺异常(ILA):CT表现、病理学及管理的概念演变

Connective tissue disease-related interstitial lung disease (CTD-ILD) and interstitial lung abnormality (ILA): Evolving concept of CT findings, pathology and management.

作者信息

Yoo Hongseok, Hino Takuya, Hwang Jiwon, Franks Teri J, Han Joungho, Im Yunjoo, Lee Ho Yun, Chung Man Pyo, Hatabu Hiroto, Lee Kyung Soo

机构信息

Division of Pulmonary and Critical Care Medicine, Department of Medicine, Samsung Medical Center, Sungkyunkwan University School of Medicine (SKKU-SOM), Seoul, South Korea.

Center for Pulmonary Functional Imaging, Department of Radiology, Brigham and Women's Hospital and Harvard Medical School, Boston, MA, USA.

出版信息

Eur J Radiol Open. 2022 Apr 7;9:100419. doi: 10.1016/j.ejro.2022.100419. eCollection 2022.

Abstract

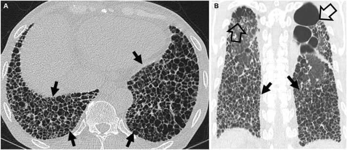
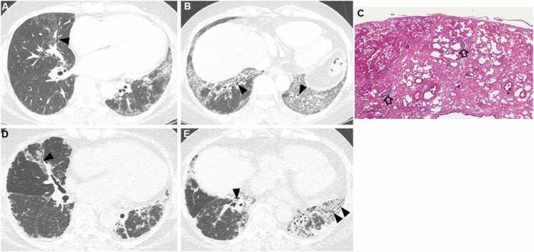
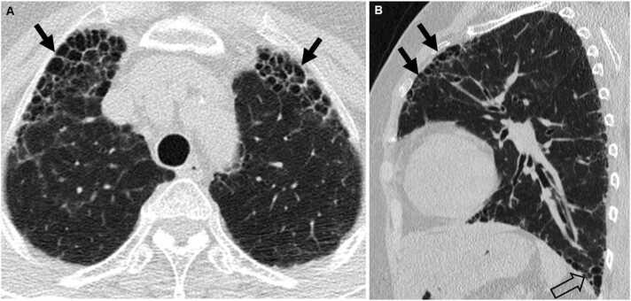
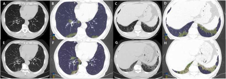
Connective tissue diseases (CTDs) demonstrating features of interstitial lung disease (ILD) include systemic lupus erythematosus (SLE), rheumatoid arthritis (RA), systemic sclerosis (SSc), dermatomyositis (DM) and polymyositis (PM), ankylosing spondylitis (AS), Sjogren syndrome (SS), and mixed connective tissue disease (MCTD). On histopathology of lung biopsy in CTD-related ILDs (CTD-ILDs), multi-compartment involvement is an important clue, and when present, should bring CTD to the top of the list of etiologic differential diagnoses. Diverse histologic patterns including nonspecific interstitial pneumonia (NSIP), usual interstitial pneumonia (UIP), organizing pneumonia, apical fibrosis, diffuse alveolar damage, and lymphoid interstitial pneumonia can be seen on histology in patients with CTD-ILDs. Although proportions of ILDs vary, the NSIP pattern accounts for a large proportion, especially in SSc, DM and/or PM and MCTD, followed by the UIP pattern. In RA patients, interstitial lung abnormality (ILA) is reported to occur in approximately 20-60% of individuals of which 35-45% will have progression of the CT abnormality. Subpleural distribution and greater baseline ILA involvement are risk factors associated with disease progression. Asymptomatic CTD-ILDs or ILA patients with normal lung function and without evidence of disease progression can be followed without treatment. Immunosuppressive or antifibrotic agents for symptomatic and/or fibrosing CTD-ILDs can be used in patients who require treatment.

摘要

表现为间质性肺疾病(ILD)特征的结缔组织病(CTD)包括系统性红斑狼疮(SLE)、类风湿关节炎(RA)、系统性硬化症(SSc)、皮肌炎(DM)和多发性肌炎(PM)、强直性脊柱炎(AS)、干燥综合征(SS)以及混合性结缔组织病(MCTD)。在CTD相关ILD(CTD-ILD)的肺活检组织病理学检查中,多部位受累是一个重要线索,若出现这种情况,应将CTD列为病因鉴别诊断的首要考虑。CTD-ILD患者的组织学检查可见多种组织学模式,包括非特异性间质性肺炎(NSIP)、寻常型间质性肺炎(UIP)、机化性肺炎、肺尖纤维化、弥漫性肺泡损伤和淋巴细胞间质性肺炎。尽管ILD的比例各不相同,但NSIP模式占很大比例,尤其是在SSc、DM和/或PM以及MCTD中,其次是UIP模式。据报道,RA患者中约20%-60%会出现间质性肺异常(ILA),其中35%-45%的患者CT异常会进展。胸膜下分布以及基线时ILA受累程度较高是与疾病进展相关的危险因素。无症状的CTD-ILD或ILA且肺功能正常且无疾病进展证据的患者可以不进行治疗而进行随访。有症状的和/或纤维化的CTD-ILD患者若需要治疗,可使用免疫抑制剂或抗纤维化药物。

https://cdn.ncbi.nlm.nih.gov/pmc/blobs/f572/9014394/b1acbf29d534/gr1.jpg

文献AI研究员

20分钟写一篇综述,助力文献阅读效率提升50倍。

立即体验

用中文搜PubMed

大模型驱动的PubMed中文搜索引擎

马上搜索

文档翻译

学术文献翻译模型,支持多种主流文档格式。

立即体验