Suppr超能文献

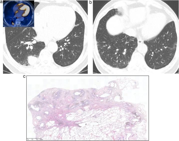
间质性肺异常(ILA)和非特异性间质性肺炎(NSIP)。

Interstitial lung abnormality (ILA) and nonspecific interstitial pneumonia (NSIP).

作者信息

Hino Takuya, Lee Kyung Soo, Yoo Hongseok, Han Joungho, Franks Teri J, Hatabu Hiroto

机构信息

Center for Pulmonary Functional Imaging, Department of Radiology, Brigham and Women's Hospital and Harvard Medical School, Boston, MA, USA.

Department of Clinical Radiology, Graduate School of Medical Sciences, Kyushu University, 3-1-1 Maidashi, Higashi-ku, Fukuoka, 8128582, Japan.

出版信息

Eur J Radiol Open. 2021 Mar 16;8:100336. doi: 10.1016/j.ejro.2021.100336. eCollection 2021.

Abstract

This review article aims to address mysteries existing between Interstitial Lung Abnormality (ILA) and Nonspecific Interstitial Pneumonia (NSIP). The concept and definition of ILA are based upon CT scans from multiple large-scale cohort studies, whereas the concept and definition of NSIP originally derived from pathology with evolution to multi-disciplinary diagnosis. NSIP is the diagnosis as Interstitial Lung Disease (ILD) with clinical significance, whereas only a part of subjects with ILA have clinically significant ILD. Eventually, both ILA and NSIP must be understood in the context of chronic fibrosing ILD and progressive ILD, which remains to be further investigated.

摘要

这篇综述文章旨在探讨间质性肺异常(ILA)和非特异性间质性肺炎(NSIP)之间存在的奥秘。ILA的概念和定义基于多项大规模队列研究的CT扫描结果,而NSIP的概念和定义最初源自病理学,并逐渐发展为多学科诊断。NSIP是具有临床意义的间质性肺疾病(ILD)诊断,而只有一部分ILA患者患有具有临床意义的ILD。最终,ILA和NSIP都必须在慢性纤维化ILD和进行性ILD的背景下理解,这仍有待进一步研究。

https://cdn.ncbi.nlm.nih.gov/pmc/blobs/bfb5/7995484/5fe079b000fb/gr1.jpg

文献AI研究员

20分钟写一篇综述,助力文献阅读效率提升50倍。

立即体验

用中文搜PubMed

大模型驱动的PubMed中文搜索引擎

马上搜索

文档翻译

学术文献翻译模型,支持多种主流文档格式。

立即体验