Suppr超能文献

韩国特发性非特异性间质性肺炎诊断与管理指南

Korean Guidelines for Diagnosis and Management of Idiopathic Nonspecific Interstitial Pneumonia.

作者信息

Jo Yong Suk, Lee Hyun-Kyung, Park Sun Hyo, Joh Joon Sung, Jang Hye Jin, Park Jong Sun

机构信息

Division of Pulmonology and Critical Care Medicine, Department of Internal Medicine, Seoul St. Mary's Hospital, College of Medicine, The Catholic University of Korea, Seoul, Republic of Korea.

Division of Pulmonary, Allergy, and Critical Care Medicine, Department of Internal Medicine, Inje University Busan Paik Hospital, Busan, Republic of Korea.

出版信息

Tuberc Respir Dis (Seoul). 2025 Apr;88(2):237-246. doi: 10.4046/trd.2024.0168. Epub 2025 Jan 6.

Abstract

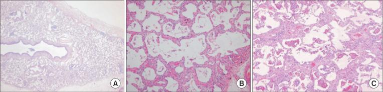
Idiopathic nonspecific interstitial pneumonia (iNSIP) is recognized as a distinct entity among various types of idiopathic interstitial pneumonias. It is identified histologically by the nonspecific interstitial pneumonia pattern. A diagnosis of iNSIP is feasible once secondary causes or underlying diseases are ruled out. Usually presenting with respiratory symptoms such as shortness of breath and cough, iNSIP has a subacute or chronic course. It predominantly affects females aged 50 to 60 years who are non-smokers. Key imaging findings on chest high-resolution computed tomography include bilateral reticular opacities in lower lungs, traction bronchiectasis, reduced lung volumes and, ground-glass opacities. Abnormalities are typically diffuse across both lungs with subpleural distributions. Treatment often involves systemic steroids, either alone or in combination with other immunosuppressants, although evidence supporting effectiveness of these treatments is limited. Prognosis is generally more favorable for iNSIP than for idiopathic pulmonary fibrosis, with many studies reporting a 5-year survival rate above 70%. Antifibrotic agents should be considered in a condition, termed progressive pulmonary fibrosis, where pulmonary fibrosis progressively worsens.

摘要

特发性非特异性间质性肺炎(iNSIP)被认为是各种特发性间质性肺炎中的一种独特类型。它在组织学上通过非特异性间质性肺炎模式来识别。一旦排除继发原因或基础疾病,iNSIP的诊断是可行的。iNSIP通常表现为呼吸症状,如气短和咳嗽,病程呈亚急性或慢性。它主要影响50至60岁的非吸烟女性。胸部高分辨率计算机断层扫描的关键影像学表现包括双下肺网状阴影、牵拉性支气管扩张、肺容积减小以及磨玻璃影。异常通常双侧弥漫性分布于胸膜下区域。治疗通常涉及全身用类固醇,单独使用或与其他免疫抑制剂联合使用,尽管支持这些治疗有效性的证据有限。iNSIP的预后通常比特发性肺纤维化更有利,许多研究报告其5年生存率高于70%。在一种称为进行性肺纤维化的情况下,即肺纤维化逐渐恶化时,应考虑使用抗纤维化药物。

https://cdn.ncbi.nlm.nih.gov/pmc/blobs/17ee/12010711/91fcb0dfdec4/trd-2024-0168f1.jpg

文献AI研究员

20分钟写一篇综述,助力文献阅读效率提升50倍。

立即体验

用中文搜PubMed

大模型驱动的PubMed中文搜索引擎

马上搜索

文档翻译

学术文献翻译模型,支持多种主流文档格式。

立即体验