Suppr超能文献

相互介导的氯离子细胞内通道蛋白1(CLIC1)在肾透明细胞癌(ccRCC)中,恶性细胞与肿瘤血管内皮之间的关系对肿瘤血管生成、进展及转移具有显著影响。

The Mutually Mediated Chloride Intracellular Channel Protein 1 (CLIC1) Relationship between Malignant Cells and Tumor Blood Vessel Endothelium Exhibits a Significant Impact on Tumor Angiogenesis, Progression, and Metastasis in Clear Cell Renal Cell Carcinoma (ccRCC).

作者信息

Ferician Adela Maria, Ferician Ovidiu Catalin, Nesiu Alexandru, Cosma Andrei Alexandru, Caplar Borislav Dusan, Melnic Eugen, Cimpean Anca Maria

机构信息

Doctoral School in Medicine, Victor Babes University of Medicine and Pharmacy, 300041 Timisoara, Romania.

Department of Orthopedy and Traumatology/Urology, Victor Babes University of Medicine and Pharmacy, 300041 Timisoara, Romania.

出版信息

Cancers (Basel). 2022 Dec 3;14(23):5981. doi: 10.3390/cancers14235981.

Abstract

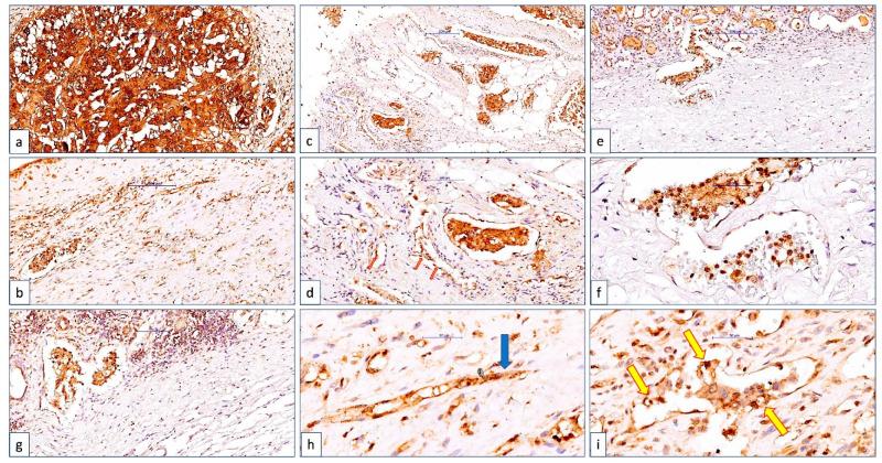
Background: Overexpression of chloride intracellular channel protein 1 (CLIC1) in tumor cells has been confirmed, but it has received less attention in the tumor blood vessel endothelium. Aim: The assessment of CLIC1 expression in ccRCC tumor blood vessels and its relationship with TNM parameters and tumor cell CLIC1 expression. Methods: CLIC1 immunostaining in ccRCC was evaluated in 50 cases in both malignant cells and tumor blood vessels (CLIC1 microvessel density-CLIC1-MVD) and was correlated with TNM staging parameters. Results: CLIC1-MVD was observed in approximately 65% of cases, and CLIC1 co-localization in both tumor and endothelial cells was observed in 59% of cases. ccRCC was classified into four groups (Classes 0−3) based on the percentage of positive tumor cells, with each group including sub-groups defined by CLIC1 expression in the endothelium. Class 3 (60−100% positive tumor cells) had the highest CLIC1-MVD, with an impact on T and M parameters (p value = 0.007 for T, and p value = 0.006 for M). For cases with CLIC1 intracellular translocation, there was a strong correlation between CLIC1-MVD and M (p value < 0.001). Conclusions: Co-expression of ccRCC tumor and endothelial cells promotes tumor progression and metastasis and should be investigated further as a potential therapeutic target for ccRCC and other human malignancies.

摘要

背景

肿瘤细胞中氯离子细胞内通道蛋白1(CLIC1)的过表达已得到证实,但在肿瘤血管内皮中较少受到关注。目的:评估CLIC1在ccRCC肿瘤血管中的表达及其与TNM参数和肿瘤细胞CLIC1表达的关系。方法:对50例ccRCC病例的恶性细胞和肿瘤血管中的CLIC1进行免疫染色评估(CLIC1微血管密度 - CLIC1 - MVD),并与TNM分期参数相关联。结果:约65%的病例观察到CLIC1 - MVD,59%的病例观察到肿瘤细胞和内皮细胞中CLIC1共定位。根据阳性肿瘤细胞百分比,ccRCC分为四组(0 - 3级),每组包括由内皮中CLIC1表达定义的亚组。3级(60 - 100%阳性肿瘤细胞)的CLIC1 - MVD最高,对T和M参数有影响(T的p值 = 0.007,M的p值 = 0.006)。对于CLIC1细胞内易位的病例,CLIC1 - MVD与M之间存在强相关性(p值 < 0.001)。结论:ccRCC肿瘤细胞与内皮细胞的共表达促进肿瘤进展和转移,应进一步研究其作为ccRCC和其他人类恶性肿瘤潜在治疗靶点的可能性。

https://cdn.ncbi.nlm.nih.gov/pmc/blobs/929a/9740861/fd0b8790fa21/cancers-14-05981-g004.jpg

文献AI研究员

20分钟写一篇综述,助力文献阅读效率提升50倍。

立即体验

用中文搜PubMed

大模型驱动的PubMed中文搜索引擎

马上搜索

文档翻译

学术文献翻译模型,支持多种主流文档格式。

立即体验