Suppr超能文献

实验性糖尿病通过钙蛋白酶介导的自噬相关蛋白 5/溶酶体相关膜蛋白 2 的切割加剧心肌缺血再灌注损伤中的自噬流障碍。

Experimental diabetes exacerbates autophagic flux impairment during myocardial I/R injury through calpain-mediated cleavage of Atg5/LAMP2.

机构信息

Department of Cardiovascular Surgery, Shanghai General Hospital, Shanghai Jiao Tong University, School of Medicine, Shanghai, China.

Department of Cardiology, Shanghai Institute of Cardiovascular Diseases, Zhongshan Hospital, Fudan University, Shanghai, China.

出版信息

J Cell Mol Med. 2023 Jan;27(2):232-245. doi: 10.1111/jcmm.17642. Epub 2022 Dec 23.

Abstract

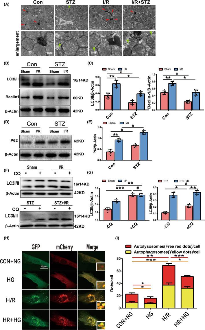
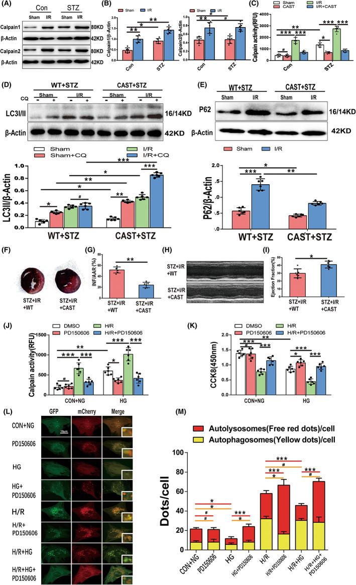
To explore the role of autophagic flux in the increased susceptibility of the experimental diabetic heart to ischaemia-reperfusion (I/R) injury, we established STZ-induced diabetic mice and performed I/R. In vitro, neonatal mouse cardiomyocytes were subjected to high glucose and hypoxia/reoxygenation challenge to mimic diabetic I/R injury. We found that experimental diabetes aggravated I/R-induced injury than compared with nondiabetic mice. Autophagic flux was impaired in I/R hearts, and the impairment was exacerbated in diabetic mice subjected to I/R with defective autophagosome formation and clearance. Calpains, calcium-dependent thiol proteases, were upregulated and highly activated after I/R of diabetes, while calpain inhibition attenuated cardiac function and cell death and partially restored autophagic flux. The expression levels of Atg5 and LAMP2, two crucial autophagy-related proteins, were significantly degraded in diabetic I/R hearts, alterations that were associated with calpain activation and could be reversed by calpain inhibition. Co-overexpression of Atg5 and LAMP2 reduced myocardial injury and normalized autophagic flux. In conclusion, experimental diabetes exacerbates autophagic flux impairment of cardiomyocytes under I/R stress, resulting in worse I/R-induced injury. Calpain activation and cleavage of Atg5 and LAMP2 at least partially account for the deterioration of autophagic flux impairment.

摘要

为了探索自噬流在实验性糖尿病心脏对缺血再灌注(I/R)损伤易感性增加中的作用,我们建立了 STZ 诱导的糖尿病小鼠模型并进行了 I/R 处理。在体外,新生小鼠心肌细胞接受高糖和缺氧/复氧挑战,以模拟糖尿病 I/R 损伤。我们发现,与非糖尿病小鼠相比,实验性糖尿病加重了 I/R 引起的损伤。在 I/R 心脏中,自噬流受损,而在糖尿病小鼠中,自噬小体形成和清除受损,这种损伤加剧。钙蛋白酶,钙依赖性硫醇蛋白酶,在糖尿病的 I/R 后上调和高度激活,而钙蛋白酶抑制减轻了心脏功能和细胞死亡,并部分恢复了自噬流。在糖尿病 I/R 心脏中,两个关键的自噬相关蛋白 Atg5 和 LAMP2 的表达水平显著降解,这种改变与钙蛋白酶激活有关,并可被钙蛋白酶抑制逆转。Atg5 和 LAMP2 的共过表达减少了心肌损伤并使自噬流正常化。总之,实验性糖尿病在 I/R 应激下加重了心肌细胞自噬流的受损,导致更严重的 I/R 损伤。钙蛋白酶的激活和 Atg5 和 LAMP2 的切割至少部分解释了自噬流受损的恶化。

https://cdn.ncbi.nlm.nih.gov/pmc/blobs/a412/9843523/9107892a4e33/JCMM-27-232-g003.jpg

文献AI研究员

20分钟写一篇综述,助力文献阅读效率提升50倍。

立即体验

用中文搜PubMed

大模型驱动的PubMed中文搜索引擎

马上搜索

文档翻译

学术文献翻译模型,支持多种主流文档格式。

立即体验