Suppr超能文献

等离子体聚合生物界面引导纤连蛋白吸附和功能化,通过FN-ITG β1-FAK-mTOR信号级联增强“上皮屏障结构”形成。

Plasma polymerized bio-interface directs fibronectin adsorption and functionalization to enhance "epithelial barrier structure" formation via FN-ITG β1-FAK-mTOR signaling cascade.

作者信息

Chen Shoucheng, Huang Zhuwei, Visalakshan Rahul Madathiparambil, Liu Haiwen, Bachhuka Akash, Wu You, Dabare Panthihage Ruvini L, Luo Pu, Liu Runheng, Gong Zhuohong, Xiao Yin, Vasilev Krasimir, Chen Zhuofan, Chen Zetao

机构信息

Hospital of Stomatology, Guanghua School of Stomatology, Sun Yat-Sen University and Guangdong Provincial Key Laboratory of Stomatology, No.56, Lingyuan West Road, Yuexiu District, Guangzhou, 510055, China.

Oregon Health & Science University, Portland, USA.

出版信息

Biomater Res. 2022 Dec 26;26(1):88. doi: 10.1186/s40824-022-00323-0.

Abstract

BACKGROUND

Transepithelial medical devices are increasing utilized in clinical practices. However, the damage of continuous natural epithelial barrier has become a major risk factor for the failure of epithelium-penetrating implants. How to increase the "epithelial barrier structures" (focal adhesions, hemidesmosomes, etc.) becomes one key research aim in overcoming this difficulty. Directly targeting the in situ "epithelial barrier structures" related proteins (such as fibronectin) absorption and functionalization can be a promising way to enhance interface-epithelial integration.

METHODS

Herein, we fabricated three plasma polymerized bio-interfaces possessing controllable surface chemistry. Their capacity to adsorb and functionalize fibronectin (FN) from serum protein was compared by Liquid Chromatography-Tandem Mass Spectrometry. The underlying mechanisms were revealed by molecular dynamics simulation. The response of gingival epithelial cells regarding the formation of epithelial barrier structures was tested.

RESULTS

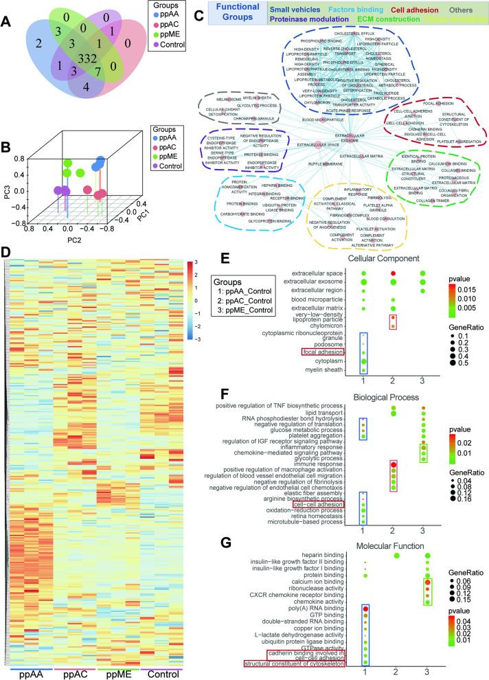
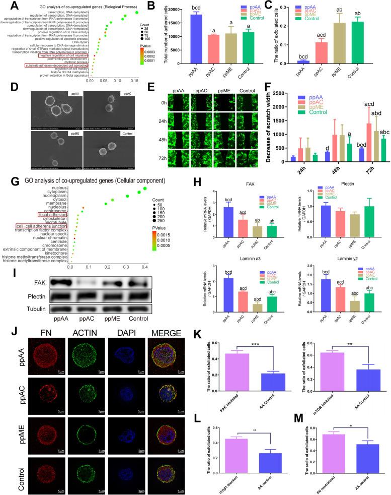
Plasma polymerized surfaces successfully directed distinguished protein adsorption profiles from serum protein pool, in which plasma polymerized allylamine (ppAA) surface favored adsorbing adhesion related proteins and could promote FN absorption and functionalization via electrostatic interactions and hydrogen bonds, thus subsequently activating the ITG β1-FAK-mTOR signaling and promoting gingival epithelial cells adhesion.

CONCLUSION

This study offers an effective perspective to overcome the current dilemma of the inferior interface-epithelial integration by in situ protein absorption and functionalization, which may advance the development of functional transepithelial biointerfaces. Tuning the surface chemistry by plasma polymerization can control the adsorption of fibronectin and functionalize it by exposing functional protein domains. The functionalized fibronectin can bind to human gingival epithelial cell membrane integrins to activate epithelial barrier structure related signaling pathway, which eventually enhances the formation of epithelial barrier structure.

摘要

背景

经上皮医疗设备在临床实践中的应用日益广泛。然而,持续破坏天然上皮屏障已成为上皮穿透性植入物失败的主要风险因素。如何增加“上皮屏障结构”(粘着斑、半桥粒等)成为克服这一困难的关键研究目标。直接靶向原位“上皮屏障结构”相关蛋白(如纤连蛋白)的吸收和功能化可能是增强界面与上皮整合的一种有前景的方法。

方法

在此,我们制备了三种具有可控表面化学性质的等离子体聚合生物界面。通过液相色谱 - 串联质谱比较它们从血清蛋白中吸附和功能化纤连蛋白(FN)的能力。通过分子动力学模拟揭示其潜在机制。测试牙龈上皮细胞对上皮屏障结构形成的反应。

结果

等离子体聚合表面成功地从血清蛋白库中引导出不同的蛋白质吸附谱,其中等离子体聚合烯丙胺(ppAA)表面有利于吸附与粘附相关的蛋白质,并可通过静电相互作用和氢键促进FN的吸收和功能化,从而激活ITGβ1 - FAK - mTOR信号传导并促进牙龈上皮细胞粘附。

结论

本研究为通过原位蛋白质吸收和功能化克服目前界面与上皮整合不良的困境提供了一个有效的视角,这可能会推动功能性经上皮生物界面的发展。通过等离子体聚合调节表面化学性质可以控制纤连蛋白的吸附并通过暴露功能性蛋白结构域使其功能化。功能化的纤连蛋白可以与人牙龈上皮细胞膜整合素结合,激活上皮屏障结构相关信号通路,最终增强上皮屏障结构的形成。

https://cdn.ncbi.nlm.nih.gov/pmc/blobs/f2b3/9791785/e68b0dd80821/40824_2022_323_Fig1_HTML.jpg

文献AI研究员

20分钟写一篇综述,助力文献阅读效率提升50倍。

立即体验

用中文搜PubMed

大模型驱动的PubMed中文搜索引擎

马上搜索

文档翻译

学术文献翻译模型,支持多种主流文档格式。

立即体验