Suppr超能文献

M2样巨噬细胞衍生的外泌体通过递送整合素αVβ3促进非小细胞肺癌转移。

M2-like macrophage-derived exosomes facilitate metastasis in non-small-cell lung cancer by delivering integrin αVβ3.

作者信息

Huang Lamei, Wang Fang, Wang Xueping, Su Chaoyue, Wu Shaocong, Yang Chuan, Luo Min, Zhang Jianye, Fu Liwu

机构信息

State Key Laboratory of Oncology in South China Collaborative Innovation Center for Cancer Medicine Guangdong Esophageal Cancer Institute Sun Yat-sen University Cancer Center Guangzhou P. R. China.

Guangzhou Municipal and Guangdong Provincial Key Laboratory of Molecular Target & Clinical Pharmacology NMPA and State Key Laboratory of Respiratory Disease School of Pharmaceutical Sciences and the Fifth Affiliated Hospital Guangzhou Medical University Guangzhou P. R. China.

出版信息

MedComm (2020). 2022 Dec 23;4(1):e191. doi: 10.1002/mco2.191. eCollection 2023 Feb.

Abstract

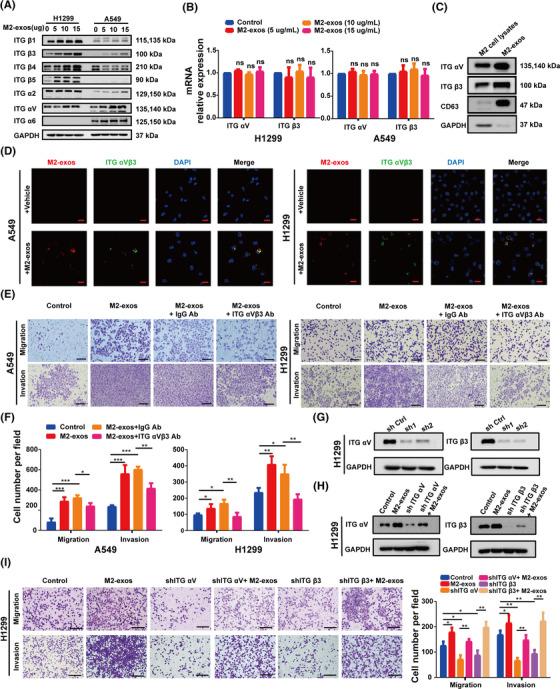
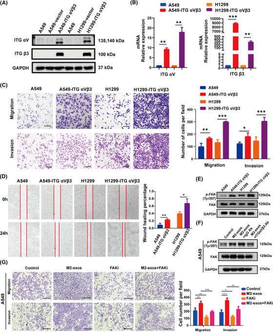
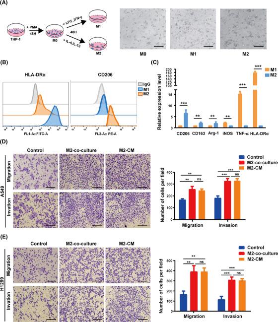
Metastasis is the most prevalent cause of cancer deaths, and immunological components of the tumor microenvironment, especially tumor-associated macrophages (TAMs), play a vital role in cancer metastasis. However, the underlying mechanisms of TAMs on non-small-cell lung cancer (NSCLC) metastasis remain largely unexplored. Herein, we demonstrated that M2-like TAMs facilitate the migration and invasion of cancer cells in vitro and in vivo through intercellular delivery of M2-like macrophage-derived exosomes (M2-exos). Importantly, we found that M2-exos had considerably higher levels of integrin (ITG) αV and β3. The impact of M2-like macrophage-mediated invasion and migration of NSCLC cells was clearly decreased when ITG αVβ3 was blocked. Mechanistically, exosomal ITG αVβ3 produced from M2-like macrophages successfully triggered the focal adhesion kinase signaling pathway in recipient cells, boosting the migratory and invasive abilities of NSCLC cells. Clinically, we found that metastatic NSCLC patients had greater ITG αV and β3 expression, which was associated with a worse prognosis. This study reveals a novel mechanism by which M2-exos significantly increased NSCLC cell migration and invasion by delivering integrin αVβ3. Exosomal ITG αVβ3 can be used as a potential prognostic marker, and blocking ITG αVβ3 could be a viable treatment option for preventing tumor metastasis.

摘要

转移是癌症死亡的最常见原因,肿瘤微环境的免疫成分,尤其是肿瘤相关巨噬细胞(TAM),在癌症转移中起着至关重要的作用。然而,TAM对非小细胞肺癌(NSCLC)转移的潜在机制在很大程度上仍未被探索。在此,我们证明了M2样TAM通过细胞间传递M2样巨噬细胞衍生的外泌体(M2-exos)在体外和体内促进癌细胞的迁移和侵袭。重要的是,我们发现M2-exos中整合素(ITG)αV和β3的水平明显更高。当ITGαVβ3被阻断时,M2样巨噬细胞介导的NSCLC细胞侵袭和迁移的影响明显降低。从机制上讲,M2样巨噬细胞产生的外泌体ITGαVβ3成功地触发了受体细胞中的粘着斑激酶信号通路,增强了NSCLC细胞的迁移和侵袭能力。在临床上,我们发现转移性NSCLC患者的ITGαV和β3表达更高,这与较差的预后相关。这项研究揭示了一种新机制,即M2-exos通过传递整合素αVβ3显著增加NSCLC细胞的迁移和侵袭。外泌体ITGαVβ3可用作潜在的预后标志物,阻断ITGαVβ3可能是预防肿瘤转移的一种可行治疗选择。

https://cdn.ncbi.nlm.nih.gov/pmc/blobs/2fd7/9789322/9c2d10945186/MCO2-4-e191-g005.jpg

文献AI研究员

20分钟写一篇综述,助力文献阅读效率提升50倍。

立即体验

用中文搜PubMed

大模型驱动的PubMed中文搜索引擎

马上搜索

文档翻译

学术文献翻译模型,支持多种主流文档格式。

立即体验