Suppr超能文献

亚得里亚海中部普通乌贼()卵黄和胚胎中微塑料的首次证据:胚胎和幼体结构完整性及发育评估。

First Evidence of Microplastics in the Yolk and Embryos of Common Cuttlefish () from the Central Adriatic Sea: Evaluation of Embryo and Hatchling Structural Integrity and Development.

作者信息

Chemello Giulia, Faraoni Viola, Notarstefano Valentina, Maradonna Francesca, Carnevali Oliana, Gioacchini Giorgia

机构信息

Department of Life and Environmental Science, Polytechnic University of Marche, 60131 Ancona, Italy.

出版信息

Animals (Basel). 2022 Dec 27;13(1):95. doi: 10.3390/ani13010095.

Abstract

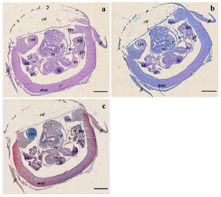
Once they reach the aquatic environment, microplastics (MPs) are accidentally ingested by aquatic biota, thus entering the food chain with possible negative effects. The present study investigated, for the first time, MP presence in cuttlefish (Sepia officinalis) eggs and their association with embryonic development. Cuttlefish eggs were sampled from four different sites along the Marche region (Senigallia, Ancona, Numana, and San Benedetto del Tronto). Embryo and hatchling biometric parameters were evaluated and the internal structural integrity was examined through histological analysis. MPs were detected and characterized in embryos and yolk samples. MPs were identified in all sites (size < 5 µm), however, their presence has not been associated with an impairment of either embryo or hatchling internal structures. Noteworthy, the highest number of MPs (in both yolk and embryo samples) were found in Numana (37% of the total amount), where the lowest hatchling size was observed. On the other hand, the highest embryo mantle length was associated with the lowest number of MPs detected (9%) in Ancona. Overall, only MP fragments and sphere types (74 and 26%, respectively) were observed, and the most frequent polymers were Polyvinyl chloride (52%), Polypropylene, and Cellulose acetate (15% both). Further studies are needed to assess the possible MP effects on the yolk quality and assimilation.

摘要

一旦进入水生环境,微塑料(MPs)会被水生生物意外摄入,从而进入食物链并可能产生负面影响。本研究首次调查了乌贼(Sepia officinalis)卵中微塑料的存在情况及其与胚胎发育的关系。乌贼卵取自马尔凯地区的四个不同地点(塞尼加利亚、安科纳、努马纳和圣贝内代托-德尔特朗托)。评估了胚胎和幼体的生物特征参数,并通过组织学分析检查了内部结构完整性。在胚胎和卵黄样本中检测并鉴定了微塑料。在所有地点均检测到微塑料(尺寸<5 µm),然而,它们的存在与胚胎或幼体内部结构的损伤并无关联值得注意的是,在努马纳发现的微塑料数量最多(在卵黄和胚胎样本中均如此)(占总量的37%),该地点观察到的幼体尺寸最小。另一方面,在安科纳,胚胎外套膜长度最长,而检测到微塑料的数量最少(9%)。总体而言,仅观察到微塑料碎片和球体类型(分别占74%和26%),最常见的聚合物是聚氯乙烯(52%)、聚丙烯和醋酸纤维素(均为15%)。需要进一步研究来评估微塑料对卵黄质量和同化作用的可能影响。

https://cdn.ncbi.nlm.nih.gov/pmc/blobs/55fd/9817774/8c82889e8009/animals-13-00095-g001.jpg

文献AI研究员

20分钟写一篇综述,助力文献阅读效率提升50倍。

立即体验

用中文搜PubMed

大模型驱动的PubMed中文搜索引擎

马上搜索

文档翻译

学术文献翻译模型,支持多种主流文档格式。

立即体验