Suppr超能文献

一种新冠病毒(SARS-CoV-2)感染的C57BL/6小鼠模型再现了人类新冠肺炎疾病及康复过程中基于年龄和性别的差异。

A C57BL/6 Mouse Model of SARS-CoV-2 Infection Recapitulates Age- and Sex-Based Differences in Human COVID-19 Disease and Recovery.

作者信息

Davis Michael A, Voss Kathleen, Turnbull J Bryan, Gustin Andrew T, Knoll Megan, Muruato Antonio, Hsiang Tien-Ying, Dinnon Iii Kenneth H, Leist Sarah R, Nickel Katie, Baric Ralph S, Ladiges Warren, Akilesh Shreeram, Smith Kelly D, Gale Michael

机构信息

Center for Innate Immunity and Immune Disease, Department of Immunology, University of Washington, Seattle, WA 98109, USA.

Department of Microbiology and Immunology, University of North Carolina at Chapel Hill, Chapel Hill, NC 27514, USA.

出版信息

Vaccines (Basel). 2022 Dec 25;11(1):47. doi: 10.3390/vaccines11010047.

Abstract

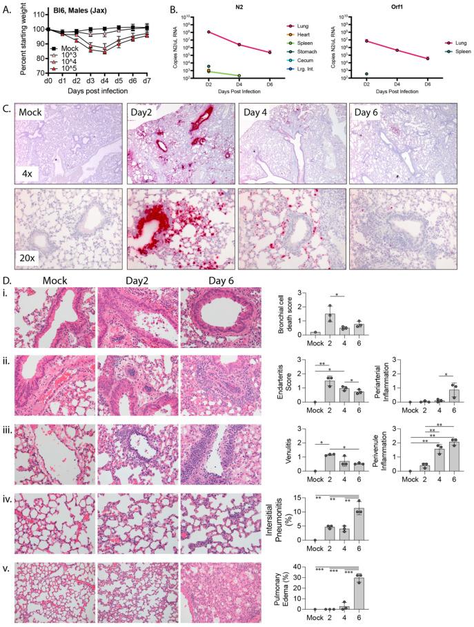
We present a comprehensive analysis of SARS-CoV-2 infection and recovery using wild type C57BL/6 mice and a mouse-adapted virus, and we demonstrate that this is an ideal model of infection and recovery that phenocopies acute human disease arising from the ancestral SARS-CoV-2. Disease severity and infection kinetics are age- and sex-dependent, as has been reported for humans, with older mice and males in particular exhibiting decreased viral clearance and increased mortality. We identified key parallels with human pathology, including intense virus positivity in bronchial epithelial cells, wide-spread alveolar involvement, recruitment of immune cells to the infected lungs, and acute bronchial epithelial cell death. Moreover, older animals experienced increased virus persistence, delayed dispersal of immune cells into lung parenchyma, and morphologic evidence of tissue damage and inflammation. Parallel analysis of SCID mice revealed that the adaptive immune response was not required for recovery from COVID disease symptoms nor early phase clearance of virus but was required for efficient clearance of virus at later stages of infection. Finally, transcriptional analyses indicated that induction and duration of key innate immune gene programs may explain differences in age-dependent disease severity. Importantly, these data demonstrate that SARS-CoV-2-mediated disease in C57BL/6 mice phenocopies human disease across ages and establishes a platform for future therapeutic and genetic screens for not just SARS-CoV-2 but also novel coronaviruses that have yet to emerge.

摘要

我们使用野生型C57BL/6小鼠和一种适应小鼠的病毒,对严重急性呼吸综合征冠状病毒2(SARS-CoV-2)感染和恢复情况进行了全面分析,并且证明这是一种感染和恢复的理想模型,可模拟由原始SARS-CoV-2引起的急性人类疾病。正如人类所报道的那样,疾病严重程度和感染动力学具有年龄和性别依赖性,特别是老年小鼠和雄性小鼠表现出病毒清除率降低和死亡率增加。我们确定了与人类病理学的关键相似之处,包括支气管上皮细胞中强烈的病毒阳性、广泛的肺泡受累、免疫细胞向感染肺部的募集以及急性支气管上皮细胞死亡。此外,老年动物的病毒持续时间增加,免疫细胞向肺实质的扩散延迟,并且有组织损伤和炎症的形态学证据。对重症联合免疫缺陷(SCID)小鼠的平行分析表明,适应性免疫反应对于从新冠疾病症状中恢复或病毒的早期清除不是必需的,但对于感染后期有效清除病毒是必需的。最后,转录分析表明关键先天性免疫基因程序的诱导和持续时间可能解释了年龄依赖性疾病严重程度的差异。重要的是,这些数据表明C57BL/6小鼠中SARS-CoV-2介导的疾病在各年龄段都与人类疾病相似,并建立了一个未来治疗和基因筛选的平台,不仅适用于SARS-CoV-2,也适用于尚未出现的新型冠状病毒。

https://cdn.ncbi.nlm.nih.gov/pmc/blobs/5871/9860616/16bee5c016cb/vaccines-11-00047-g001.jpg

文献AI研究员

20分钟写一篇综述,助力文献阅读效率提升50倍。

立即体验

用中文搜PubMed

大模型驱动的PubMed中文搜索引擎

马上搜索

文档翻译

学术文献翻译模型,支持多种主流文档格式。

立即体验