Suppr超能文献

高效抗菌聚集诱导发光体产生活性氧用于细菌性角膜炎的选择性光动力治疗。

Efficient antibacterial AIEgens induced ROS for selective photodynamic treatment of bacterial keratitis.

作者信息

Cai Wenting, Shen Tianyi, Wang Dong, Li Tingting, Yu Jing, Peng Chen, Tang Ben Zhong

机构信息

Department of Ophthalmology, Shanghai Tenth People's Hospital, School of Medicine, Tongji University, Shanghai, China.

College of Materials Science and Engineering, Shenzhen University, Shenzhen, China.

出版信息

Front Chem. 2023 Jan 4;10:1088935. doi: 10.3389/fchem.2022.1088935. eCollection 2022.

Abstract

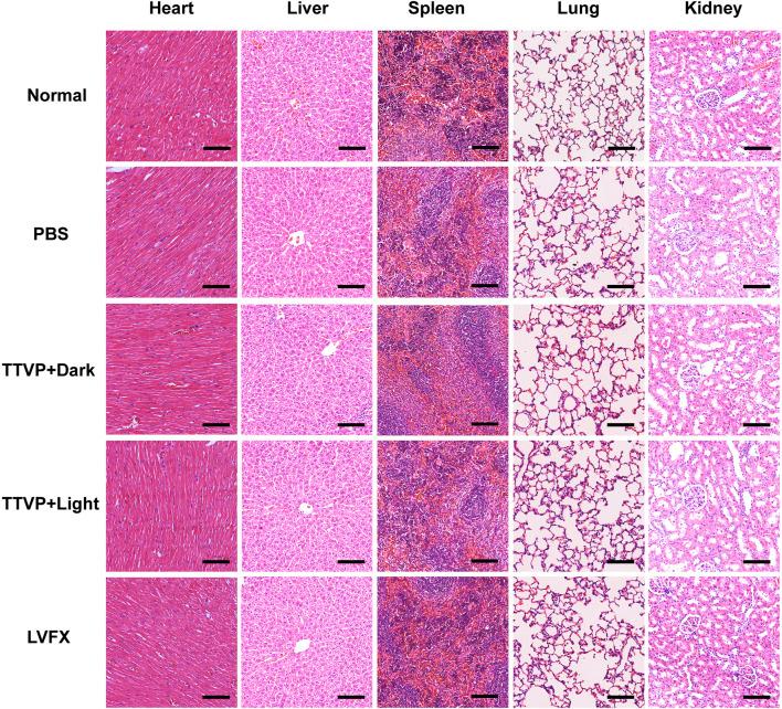
Bacterial keratitis (BK) is an acute infection of the cornea, accompanied by uneven epithelium boundaries with stromal ulceration, potentially resulting in vision loss. Topical antibiotic is the regular treatment for BK. However, the incidence rate of multidrug-resistant bacteria limits the application of traditional antibiotics. Therefore, a cationic aggregation-induced emission luminogens (AIEgens) named TTVP is utilized for the treatment of BK. TTVP showed no obvious cytotoxicity in maintaining the normal cell morphology and viability under a limited concentration, and revealed the ability to selectively combine with bacteria in normal ocular environment. After light irradiation, TTVP produced reactive oxygen species (ROS), thus exerting efficient antibacterial ability . What's more, in rat models of () infection, the therapeutic intervention of TTVP lessens the degree of corneal opacity and inflammatory infiltration, limiting the spread of inflammation. Besides, TTVP manifested superior antibacterial efficacy than levofloxacin in acute BK, endowing its better vision salvage ability than conventional method. This research demonstrates the efficacy and advantages of TTVP as a photodynamic drug in the treatment of BK and represents its promise in clinical application of ocular infections.

摘要

细菌性角膜炎(BK)是一种角膜急性感染,伴有上皮边界不齐和基质溃疡,有可能导致视力丧失。局部使用抗生素是BK的常规治疗方法。然而,多重耐药菌的发生率限制了传统抗生素的应用。因此,一种名为TTVP的阳离子聚集诱导发光剂(AIEgens)被用于治疗BK。TTVP在有限浓度下维持正常细胞形态和活力时未表现出明显的细胞毒性,并显示出在正常眼部环境中与细菌选择性结合的能力。光照后,TTVP产生活性氧(ROS),从而发挥高效的抗菌能力。此外,在()感染的大鼠模型中,TTVP的治疗干预减轻了角膜混浊和炎症浸润的程度,限制了炎症的扩散。此外,在急性BK中,TTVP表现出比左氧氟沙星更好的抗菌效果,赋予其比传统方法更好的视力挽救能力。这项研究证明了TTVP作为光动力药物治疗BK的疗效和优势,并展示了其在眼部感染临床应用中的前景。

https://cdn.ncbi.nlm.nih.gov/pmc/blobs/51d7/9846558/22271c4bd8be/FCHEM_fchem-2022-1088935_wc_sch1.jpg

文献AI研究员

20分钟写一篇综述,助力文献阅读效率提升50倍。

立即体验

用中文搜PubMed

大模型驱动的PubMed中文搜索引擎

马上搜索

文档翻译

学术文献翻译模型,支持多种主流文档格式。

立即体验