Suppr超能文献

小分子热休克蛋白在线粒体膜间隙中作为分子伴侣发挥作用。

Small heat shock proteins operate as molecular chaperones in the mitochondrial intermembrane space.

机构信息

Peripheral Neuropathy Research Group, Department of Biomedical Sciences, University of Antwerp, Antwerp, Belgium.

Laboratory of Neuromuscular Pathology, Institute Born Bunge, Antwerp, Belgium.

出版信息

Nat Cell Biol. 2023 Mar;25(3):467-480. doi: 10.1038/s41556-022-01074-9. Epub 2023 Jan 23.

Abstract

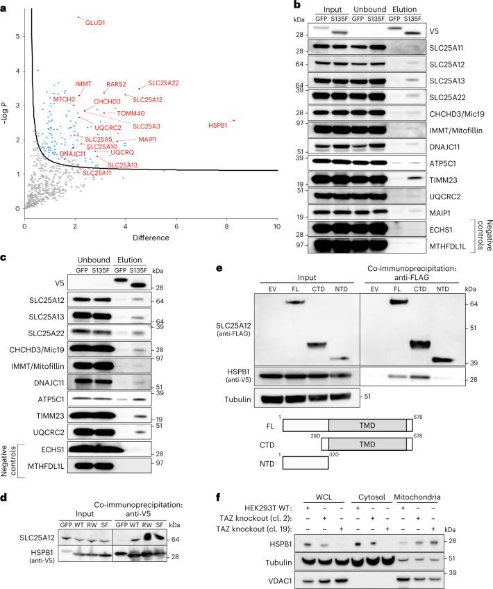
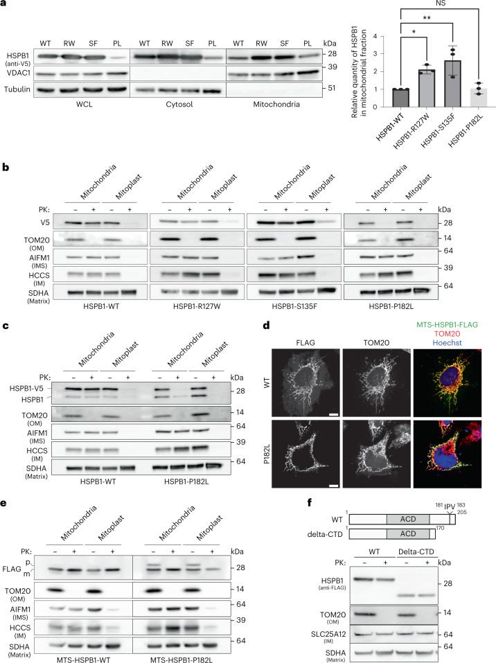
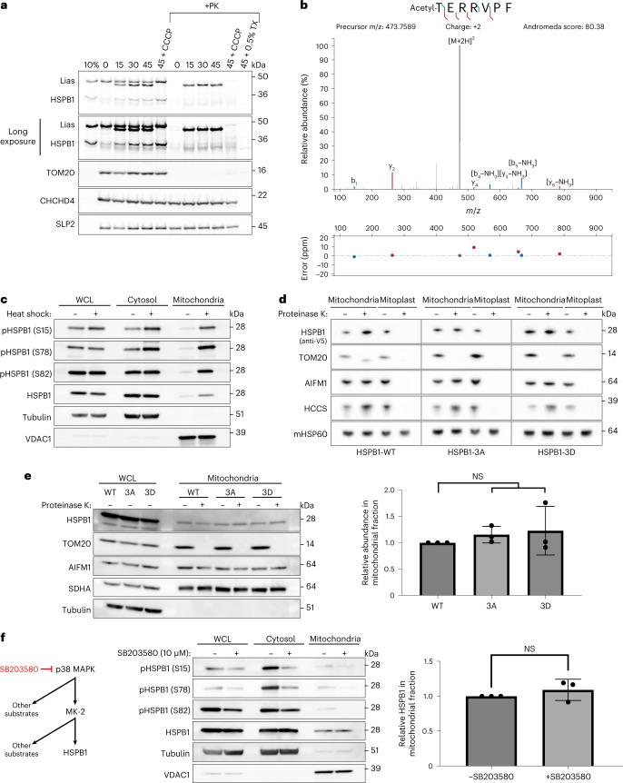
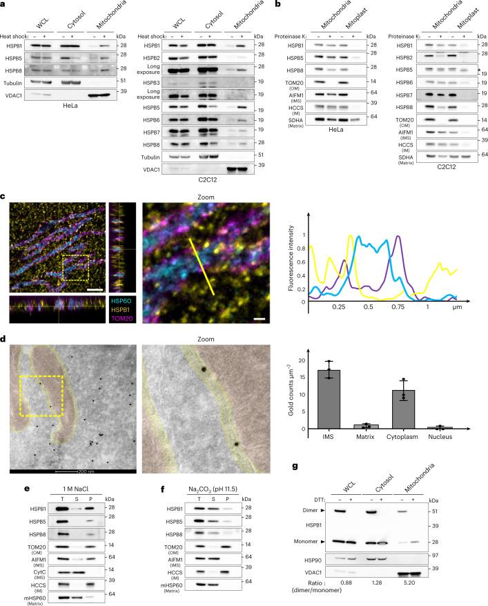
Mitochondria are complex organelles with different compartments, each harbouring their own protein quality control factors. While chaperones of the mitochondrial matrix are well characterized, it is poorly understood which chaperones protect the mitochondrial intermembrane space. Here we show that cytosolic small heat shock proteins are imported under basal conditions into the mitochondrial intermembrane space, where they operate as molecular chaperones. Protein misfolding in the mitochondrial intermembrane space leads to increased recruitment of small heat shock proteins. Depletion of small heat shock proteins leads to mitochondrial swelling and reduced respiration, while aggregation of aggregation-prone substrates is countered in their presence. Charcot-Marie-Tooth disease-causing mutations disturb the mitochondrial function of HSPB1, potentially linking previously observed mitochondrial dysfunction in Charcot-Marie-Tooth type 2F to its role in the mitochondrial intermembrane space. Our results reveal that small heat shock proteins form a chaperone system that operates in the mitochondrial intermembrane space.

摘要

线粒体是具有不同隔室的复杂细胞器,每个隔室都含有自己的蛋白质质量控制因素。虽然线粒体基质的伴侣蛋白已得到很好的描述,但对于保护线粒体膜间空间的伴侣蛋白知之甚少。在这里,我们表明细胞溶质中小热休克蛋白在基础条件下被导入线粒体膜间空间,在那里它们作为分子伴侣发挥作用。线粒体膜间空间中的蛋白质错误折叠会导致小热休克蛋白的募集增加。小热休克蛋白的耗竭会导致线粒体肿胀和呼吸作用降低,而在其存在下,易于聚集的底物的聚集则会得到抑制。Charcot-Marie-Tooth 病致病突变扰乱了 HSPB1 的线粒体功能,可能将先前观察到的 Charcot-Marie-Tooth 型 2F 中的线粒体功能障碍与其在线粒体膜间空间的作用联系起来。我们的结果揭示了小热休克蛋白形成了一个在线粒体膜间空间中起作用的伴侣蛋白系统。

https://cdn.ncbi.nlm.nih.gov/pmc/blobs/3e22/10014586/d42ce8a79460/41556_2022_1074_Fig1_HTML.jpg

文献AI研究员

20分钟写一篇综述,助力文献阅读效率提升50倍。

立即体验

用中文搜PubMed

大模型驱动的PubMed中文搜索引擎

马上搜索

文档翻译

学术文献翻译模型,支持多种主流文档格式。

立即体验