Suppr超能文献

线粒体蛋白的细胞质聚集通过刺激其他蛋白质的聚集来破坏细胞内稳态。

Cytosolic aggregation of mitochondrial proteins disrupts cellular homeostasis by stimulating the aggregation of other proteins.

机构信息

ReMedy International Research Agenda Unit, University of Warsaw, Warsaw, Poland.

Centre of New Technologies, University of Warsaw, Warsaw, Poland.

出版信息

Elife. 2021 Jul 20;10:e65484. doi: 10.7554/eLife.65484.

Abstract

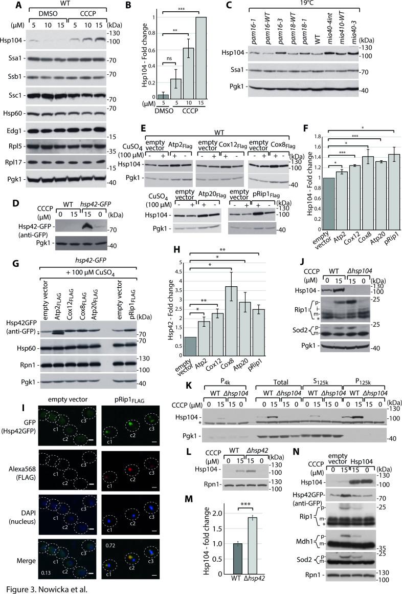
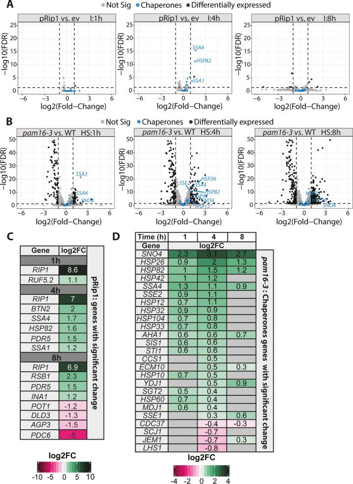
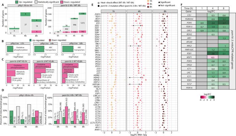
Mitochondria are organelles with their own genomes, but they rely on the import of nuclear-encoded proteins that are translated by cytosolic ribosomes. Therefore, it is important to understand whether failures in the mitochondrial uptake of these nuclear-encoded proteins can cause proteotoxic stress and identify response mechanisms that may counteract it. Here, we report that upon impairments in mitochondrial protein import, high-risk precursor and immature forms of mitochondrial proteins form aberrant deposits in the cytosol. These deposits then cause further cytosolic accumulation and consequently aggregation of other mitochondrial proteins and disease-related proteins, including α-synuclein and amyloid β. This aggregation triggers a cytosolic protein homeostasis imbalance that is accompanied by specific molecular chaperone responses at both the transcriptomic and protein levels. Altogether, our results provide evidence that mitochondrial dysfunction, specifically protein import defects, contributes to impairments in protein homeostasis, thus revealing a possible molecular mechanism by which mitochondria are involved in neurodegenerative diseases.

摘要

线粒体是具有自身基因组的细胞器,但它们依赖于核编码蛋白的输入,这些蛋白由细胞质核糖体翻译。因此,了解核编码蛋白在线粒体摄取过程中的故障是否会导致蛋白毒性应激,并确定可能与之对抗的反应机制是很重要的。在这里,我们报告说,在线粒体蛋白输入受损时,高风险的线粒体前体和不成熟蛋白会在细胞质中形成异常的沉积物。这些沉积物随后导致其他线粒体蛋白和与疾病相关的蛋白(包括α-突触核蛋白和淀粉样β)在细胞质中的进一步积累和聚集。这种聚集触发了细胞质蛋白动态平衡的失衡,同时伴随着转录组和蛋白质水平上特定分子伴侣反应。总的来说,我们的结果提供了证据,表明线粒体功能障碍,特别是蛋白输入缺陷,导致蛋白动态平衡受损,从而揭示了线粒体参与神经退行性疾病的一种可能的分子机制。

https://cdn.ncbi.nlm.nih.gov/pmc/blobs/8a56/8457837/0e91adc9903d/elife-65484-fig1.jpg

文献AI研究员

20分钟写一篇综述,助力文献阅读效率提升50倍。

立即体验

用中文搜PubMed

大模型驱动的PubMed中文搜索引擎

马上搜索

文档翻译

学术文献翻译模型,支持多种主流文档格式。

立即体验