Suppr超能文献

MitoStores:伴侣蛋白控制的蛋白颗粒将线粒体前体储存在细胞质中。

MitoStores: chaperone-controlled protein granules store mitochondrial precursors in the cytosol.

机构信息

Cell Biology, University of Kaiserslautern, Kaiserslautern, Germany.

Molecular Genetics, University of Kaiserslautern, Kaiserslautern, Germany.

出版信息

EMBO J. 2023 Apr 3;42(7):e112309. doi: 10.15252/embj.2022112309. Epub 2023 Jan 27.

Abstract

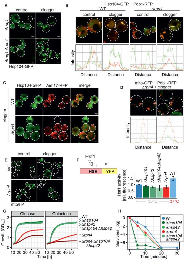
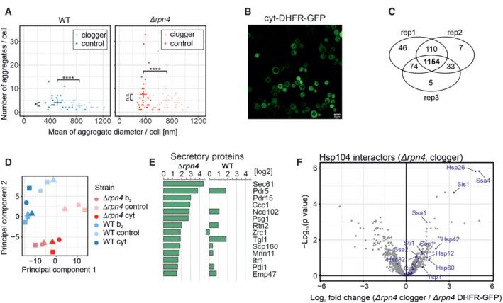
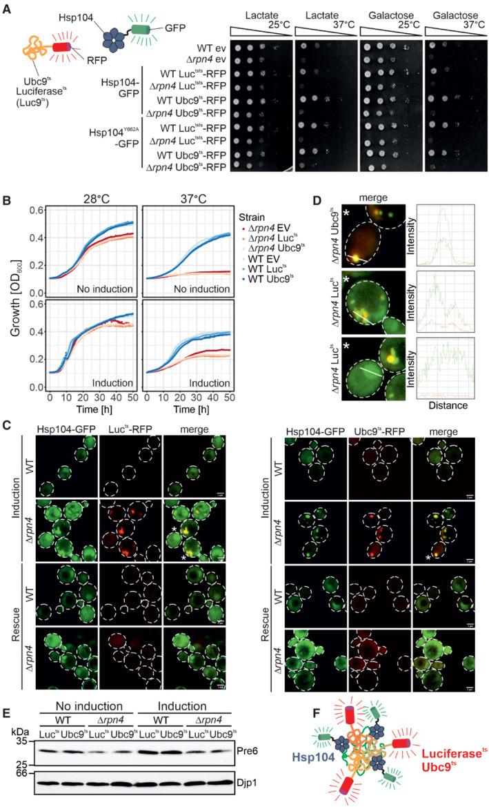
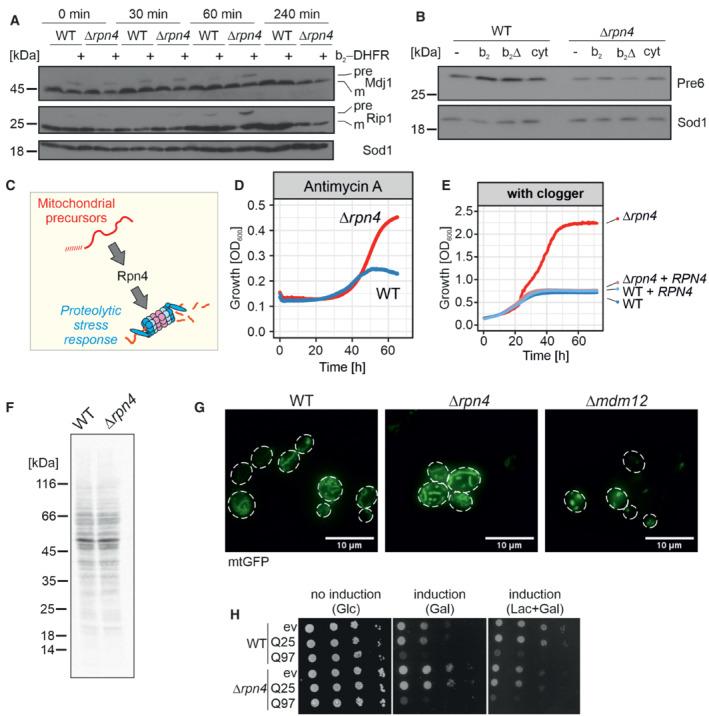
Hundreds of nucleus-encoded mitochondrial precursor proteins are synthesized in the cytosol and imported into mitochondria in a post-translational manner. However, the early processes associated with mitochondrial protein targeting remain poorly understood. Here, we show that in Saccharomyces cerevisiae, the cytosol has the capacity to transiently store mitochondrial matrix-destined precursors in dedicated deposits that we termed MitoStores. Competitive inhibition of mitochondrial protein import via clogging of import sites greatly enhances the formation of MitoStores, but they also form during physiological cell growth on nonfermentable carbon sources. MitoStores are enriched for a specific subset of nucleus-encoded mitochondrial proteins, in particular those containing N-terminal mitochondrial targeting sequences. Our results suggest that MitoStore formation suppresses the toxic potential of aberrantly accumulating mitochondrial precursor proteins and is controlled by the heat shock proteins Hsp42 and Hsp104. Thus, the cytosolic protein quality control system plays an active role during the early stages of mitochondrial protein targeting through the coordinated and localized sequestration of mitochondrial precursor proteins.

摘要

数百种核编码的线粒体前体蛋白在细胞质中合成,并以翻译后(post-translational)的方式被导入线粒体。然而,与线粒体蛋白靶向相关的早期过程仍知之甚少。在这里,我们发现在酿酒酵母中,细胞质具有在特定的储存库(我们称之为 MitoStores)中短暂储存线粒体基质靶向前体的能力。通过堵塞导入位点来竞争性抑制线粒体蛋白导入会极大地促进 MitoStores 的形成,但它们也会在非发酵碳源的生理细胞生长过程中形成。MitoStores 富含特定的一组核编码的线粒体蛋白,特别是那些含有 N 端线粒体靶向序列的蛋白。我们的研究结果表明,MitoStore 的形成抑制了异常积累的线粒体前体蛋白的毒性潜力,并且受到热休克蛋白 Hsp42 和 Hsp104 的控制。因此,细胞质蛋白质量控制系统通过协调和局部隔离线粒体前体蛋白,在早期的线粒体蛋白靶向过程中发挥着积极的作用。

https://cdn.ncbi.nlm.nih.gov/pmc/blobs/853d/10068336/6ce381e9ec55/EMBJ-42-e112309-g012.jpg

文献AI研究员

20分钟写一篇综述,助力文献阅读效率提升50倍。

立即体验

用中文搜PubMed

大模型驱动的PubMed中文搜索引擎

马上搜索

文档翻译

学术文献翻译模型,支持多种主流文档格式。

立即体验