Suppr超能文献

丁香酸通过维持内源性抗氧化剂以及下调大鼠二甲基亚硝胺诱导的肝毒性中的促炎和凋亡标志物,表现出比抗坏血酸更好的抗凋亡、抗炎和抗氧化作用。

Syringic acid demonstrates better anti-apoptotic, anti-inflammatory and antioxidative effects than ascorbic acid via maintenance of the endogenous antioxidants and downregulation of pro-inflammatory and apoptotic markers in DMN-induced hepatotoxicity in rats.

作者信息

Adeyi Olubisi E, Somade Oluwatobi T, Ajayi Babajide O, James Adewale S, Adeyi Akindele O, Olayemi Zainab M, Tella Nafisat B

机构信息

Department of Biochemistry, College of Biosciences, Federal University of Agriculture, Abeokuta, Nigeria.

Department of Chemical Sciences, Faculty of Natural Sciences, Ajayi Crowther University, Oyo, Nigeria.

出版信息

Biochem Biophys Rep. 2023 Jan 14;33:101428. doi: 10.1016/j.bbrep.2023.101428. eCollection 2023 Mar.

Abstract

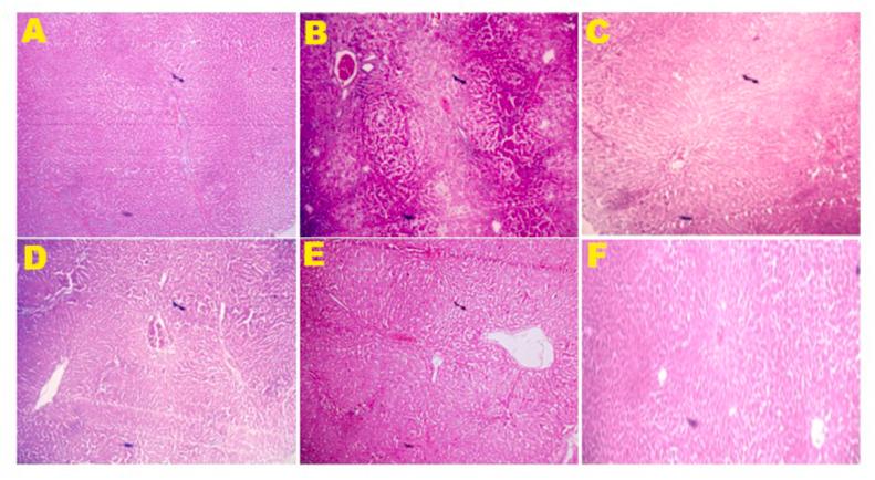
Dimethyl nitrosamine (DMN) is a known hepatotoxin, carcinogen, and mutagen. This study is therefore carried out to investigate the therapeutic effects of syringic acid (SYRA) and ascorbic acid (ASCA) in DMN-induced hepatic injury in rats. Following DMN administrations, malondialdehyde (MDA), nitric oxide (NO) and reduced glutathione (GSH) as well as activities of alanine aminotransferase (ALT), aspartate aminotransferase (AST), glutathione peroxidase (GPx), catalase (CAT), and superoxide dismutase (SOD) were significantly increased. Also significantly increased were levels of tumor necrosis factor-α (TNF-α), interleukin 1β (IL-1β), and nuclear factor kappa-light-chain-enhancer of activated B cells (NF-κB). Following treatment with SYRA and ASCA, the activities of ALT, AST, GPx, CAT and SOD, as well as MDA, GSH, TNF-α, IL-1β, and NFkB levels were significantly reduced. Overall, both treatments were effective, but SYRA had a better therapeutic effect than ASCA. Therefore, this promising potential of SYRA can be taken advantage of in the treatment of DMN-induced hepatic injury.

摘要

二甲基亚硝胺(DMN)是一种已知的肝毒素、致癌物和诱变剂。因此,本研究旨在探讨丁香酸(SYRA)和抗坏血酸(ASCA)对DMN诱导的大鼠肝损伤的治疗作用。给予DMN后,丙二醛(MDA)、一氧化氮(NO)、还原型谷胱甘肽(GSH)以及丙氨酸转氨酶(ALT)、天冬氨酸转氨酶(AST)、谷胱甘肽过氧化物酶(GPx)、过氧化氢酶(CAT)和超氧化物歧化酶(SOD)的活性均显著升高。肿瘤坏死因子-α(TNF-α)、白细胞介素1β(IL-1β)和活化B细胞核因子κB(NF-κB)水平也显著升高。用SYRA和ASCA治疗后,ALT、AST、GPx、CAT和SOD的活性以及MDA、GSH、TNF-α、IL-1β和NFkB水平均显著降低。总体而言,两种治疗方法均有效,但SYRA的治疗效果优于ASCA。因此,SYRA的这种有前景的潜力可用于治疗DMN诱导的肝损伤。

https://cdn.ncbi.nlm.nih.gov/pmc/blobs/409f/9860106/b3510b06f291/gr1.jpg

文献AI研究员

20分钟写一篇综述,助力文献阅读效率提升50倍。

立即体验

用中文搜PubMed

大模型驱动的PubMed中文搜索引擎

马上搜索

文档翻译

学术文献翻译模型,支持多种主流文档格式。

立即体验