Suppr超能文献

使用超高效液相色谱-串联质谱法检测阿尔茨海默病患者死后嗅球中的β-N-甲基氨基-L-丙氨酸:一项尸检病例系列研究。

Detection of β-N-methylamino-l-alanine in postmortem olfactory bulbs of Alzheimer's disease patients using UHPLC-MS/MS: An autopsy case-series study.

作者信息

Garamszegi Susanna P, Banack Sandra Anne, Duque Linda L, Metcalf James S, Stommel Elijah W, Cox Paul Alan, Davis David A

机构信息

Department of Neurology, University of Miami Miller School of Medicine, Miami, FL 33136, USA.

Brain Chemistry Labs, Institute for Ethnomedicine, Jackson, WY 83001, USA.

出版信息

Toxicol Rep. 2023 Jan 6;10:87-96. doi: 10.1016/j.toxrep.2023.01.002. eCollection 2023.

Abstract

INTRODUCTION

Cyanobacterial blooms produce toxins that may become aerosolized, increasing health risks through inhalation exposures. Health related effects on the lower respiratory tract caused by these toxins are becoming better understood. However, nasal exposures to cyanotoxins remain understudied, especially for those with neurotoxic potential. Here, we present a case series study evaluating exposure to β-N-methylamino-l-alanine (BMAA), a cyanobacterial toxin linked to neurodegenerative disease, in postmortem olfactory tissues of individuals with varying stages of Alzheimer's disease (AD).

METHODS

Olfactory bulb () tissues were collected during autopsies performed between 2014 and 2017 from six South Florida brain donors (ages 47-78) with residences less than 140 m from a freshwater body. A triple quadrupole tandem mass spectrometry (UHPLC-MS/MS) method validated according to peer AOAC International guidelines was used to detect BMAA and two BMAA isomers: 2,4-diaminobutyric acid (2,4-DAB) and N-(2-aminoethyl)glycine (AEG). Quantitative PCR was performed on the contralateral to evaluate the relative expression of genes related to proinflammatory cytokines ( & ), apoptotic pathways ( & ), and mitochondrial stress (). Immunohistochemistry was also performed on the adjacent olfactory tract () to evaluate co-occurring neuropathology with BMAA tissue concentration.

RESULTS

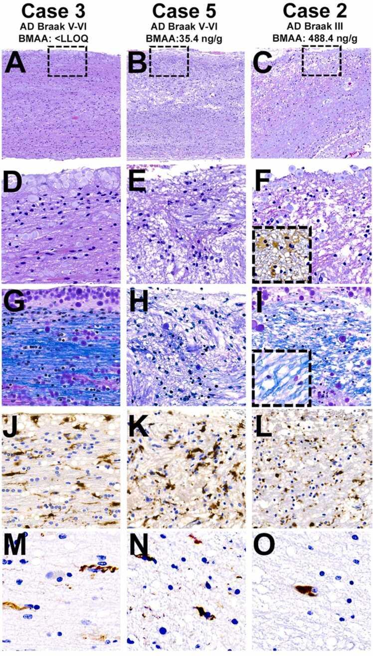
BMAA was detected in the of all cases at a median concentration of 30.4 ng/g (Range <LLOQ - 488.4 ng/g). Structural isomers were also detected with median concentrations of 28.8 ng/g (AEG) and 103.6 ng/g (2,4-DAB). In addition, we found that cases with BMAA tissue concentrations above the <LLOQ also displayed increased expression of (3.3-fold), (1.7-fold) and (1.6-fold). Reactive microglial, astrogliosis, myelinopathy, and neuronopathy of axonal processes in the were also observed in cases with higher BMAA tissue concentrations

CONCLUSION

Our study demonstrates that the cyanobacterial toxin BMAA can be detected in the olfactory pathway, a window to the brain, and its presence may increase the occurrence of proinflammatory cytokines, reactive glia, and toxicity to axonal processes. Further studies will be needed to evaluate BMAA's toxicity via this route of exposure and factors that increase susceptibility.

摘要

引言

蓝藻水华产生的毒素可能会雾化,通过吸入暴露增加健康风险。这些毒素对下呼吸道的健康相关影响正逐渐被人们所了解。然而,鼻腔接触蓝藻毒素的情况仍未得到充分研究,尤其是对于那些具有神经毒性潜力的毒素。在此,我们展示了一项病例系列研究,评估了与神经退行性疾病相关的蓝藻毒素β-N-甲基氨基-L-丙氨酸(BMAA)在不同阶段阿尔茨海默病(AD)个体的尸检嗅觉组织中的暴露情况。

方法

在2014年至2017年期间进行的尸检中,从南佛罗里达的六名脑捐赠者(年龄47 - 78岁)收集嗅球(OB)组织,这些捐赠者居住在距离淡水水体不到140米的地方。采用根据美国官方分析化学家协会(AOAC)国际指南验证的三重四极杆串联质谱(UHPLC-MS/MS)方法检测BMAA以及两种BMAA异构体:2,4-二氨基丁酸(2,4-DAB)和N-(2-氨基乙基)甘氨酸(AEG)。对侧嗅球进行定量PCR,以评估与促炎细胞因子(IL-1β和IL-6)、凋亡途径(Bax和Bcl-2)以及线粒体应激(mtDNA)相关基因的相对表达。还对相邻的嗅束(OT)进行免疫组织化学分析,以评估与BMAA组织浓度同时出现的神经病理学情况。

结果

在所有病例的嗅球中均检测到BMAA,中位浓度为30.4 ng/g(范围<最低检测限 - 488.4 ng/g)。还检测到结构异构体,中位浓度分别为28.8 ng/g(AEG)和103.6 ng/g(2,4-DAB)。此外,我们发现BMAA组织浓度高于最低检测限的病例中,IL-1β(3.3倍)、IL-6(1.7倍)和mtDNA(1.6倍)的表达也增加。在BMAA组织浓度较高的病例中,还观察到嗅球中反应性小胶质细胞、星形胶质细胞增生、髓鞘病变和轴突过程的神经元病变。

结论

我们的研究表明,蓝藻毒素BMAA可在作为大脑窗口的嗅觉通路中被检测到,其存在可能会增加促炎细胞因子的产生、反应性胶质细胞的出现以及对轴突过程的毒性。需要进一步研究来评估通过这种暴露途径的BMAA毒性以及增加易感性的因素。

https://cdn.ncbi.nlm.nih.gov/pmc/blobs/bddb/9860447/598b38fde2da/ga1.jpg

文献AI研究员

20分钟写一篇综述,助力文献阅读效率提升50倍。

立即体验

用中文搜PubMed

大模型驱动的PubMed中文搜索引擎

马上搜索

文档翻译

学术文献翻译模型,支持多种主流文档格式。

立即体验