Suppr超能文献

新冠感染一年后脑正电子发射断层扫描(PET)和认知异常。

Brain positron emission tomography (PET) and cognitive abnormalities one year after COVID-19.

机构信息

Department of Health Science, Aldo Ravelli Research Center, University of Milan, Milan, Italy.

Neurology Unit, ASST-Santi Paolo e Carlo Hospital, Milan, Italy.

出版信息

J Neurol. 2023 Apr;270(4):1823-1834. doi: 10.1007/s00415-022-11543-8. Epub 2023 Jan 24.

Abstract

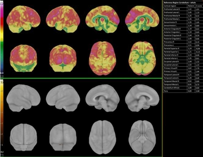
Emerging evidence indicates that the etiologic agent responsible for coronavirus disease 2019 (COVID-19), can cause neurological complications. COVID-19 may induce cognitive impairment through multiple mechanisms. The aim of the present study was to describe the possible neuropsychological and metabolic neuroimaging consequences of COVID-19 12 months after patients' hospital discharge. We retrospectively recruited 7 patients (age [mean ± SD] = 56 years ± 12.39, 4 men) who had been hospitalized for COVID-19 with persistent neuropsychological deficits 12 months after hospital discharge. All patients underwent cognitive assessment and brain (F-FDG) PET/CT, and one also underwent F-amyloid PET/CT. Of the seven patients studied, four had normal glucose metabolism in the brain. Three patients showed various brain hypometabolism patterns: (1) unilateral left temporal mesial area hypometabolism; (2) pontine involvement; and (3) bilateral prefrontal area abnormalities with asymmetric parietal impairment. The patient who showed the most widespread glucose hypometabolism in the brain underwent an F-amyloid PET/CT to assess the presence of Aβ plaques. This examination showed significant Aβ deposition in the superior and middle frontal cortex, and in the posterior cingulate cortex extending mildly in the rostral and caudal anterior cingulate areas. Although some other reports have already suggested that brain hypometabolism may be associated with cognitive impairment at shorter intervals from SarsCov-2 infection, our study is the first to assess cognitive functions, brain metabolic activity and in a patient also amyloid PET one year after COVID-19, demonstrating that cerebral effects of COVID-19 can largely outlast the acute phase of the disease and even be followed by amyloid deposition.

摘要

新出现的证据表明,导致 2019 年冠状病毒病(COVID-19)的病原体能够引起神经系统并发症。COVID-19 可能通过多种机制导致认知障碍。本研究旨在描述 COVID-19 患者出院后 12 个月时可能出现的神经心理学和代谢神经影像学后果。我们回顾性招募了 7 名(年龄[均值±标准差] = 56 岁±12.39,4 名男性)因 COVID-19 住院且出院后 12 个月仍存在持续性神经心理学缺陷的患者。所有患者均接受认知评估和脑(F-FDG)PET/CT 检查,其中 1 名患者还接受了 F-淀粉样蛋白 PET/CT 检查。在研究的 7 名患者中,4 名患者的大脑葡萄糖代谢正常。3 名患者表现出不同的脑代谢低下模式:(1)左侧颞内侧区域单侧代谢低下;(2)桥脑受累;(3)额区双侧异常伴顶叶不对称损害。脑葡萄糖代谢最广泛低下的患者接受了 F-淀粉样蛋白 PET/CT 检查,以评估 Aβ斑块的存在。该检查显示在额中回和后扣带回皮质有显著的 Aβ沉积,在前扣带区的头侧和尾侧轻度延伸。尽管其他一些报告已经表明,脑代谢低下可能与 SARS-CoV-2 感染后较短时间的认知障碍有关,但我们的研究首次在 COVID-19 后 1 年评估认知功能、脑代谢活性,并且在 1 名患者中还评估了淀粉样蛋白 PET,表明 COVID-19 的大脑影响可能在疾病的急性期后持续很长时间,甚至可能出现淀粉样蛋白沉积。

https://cdn.ncbi.nlm.nih.gov/pmc/blobs/329f/9873215/4798d84501ce/415_2022_11543_Fig1_HTML.jpg

文献AI研究员

20分钟写一篇综述,助力文献阅读效率提升50倍。

立即体验

用中文搜PubMed

大模型驱动的PubMed中文搜索引擎

马上搜索

文档翻译

学术文献翻译模型,支持多种主流文档格式。

立即体验