Suppr超能文献

Caspase-9 驱动的小鼠选择性细胞凋亡和噬细胞作用模型。

Caspase-9 driven murine model of selective cell apoptosis and efferocytosis.

机构信息

Department of Periodontics and Oral Medicine, University of Michigan, School of Dentistry, Ann Arbor, MI, USA.

Department of Pathology, University of Michigan, Medical School, Ann Arbor, MI, USA.

出版信息

Cell Death Dis. 2023 Jan 24;14(1):58. doi: 10.1038/s41419-023-05594-6.

Abstract

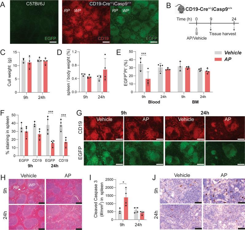
Apoptosis and efficient efferocytosis are integral to growth, development, and homeostasis. The heterogeneity of these mechanisms in different cells across distinct tissues renders it difficult to develop broadly applicable in vivo technologies. Here, we introduced a novel inducible caspase-9 (iCasp9) mouse model which allowed targeted cell apoptosis and further facilitated investigation of concomitant efferocytosis. We generated iCasp9 mice with conditional expression of chemically inducible caspase-9 protein that is triggered in the presence of Cre recombinase. In vitro, bone marrow cells from iCasp9 mice showed expression of the iCasp9 protein when transduced with Cre-expressing adenovirus. Treatment of these cells with the chemical dimerizer (AP20187/AP) resulted in iCasp9 processing and cleaved caspase-3 upregulation, indicating successful apoptosis induction. The in vivo functionality and versatility of this model was demonstrated by crossing iCasp9 mice with CD19-Cre and Osteocalcin (OCN)-Cre mice to target CD19 B cells or OCN bone-lining osteoblasts. Immunofluorescence and/or immunohistochemical staining in combination with histomorphometric analysis of EGFP, CD19/OCN, and cleaved caspase-3 expression demonstrated that a single dose of AP effectively induced apoptosis in CD19 B cells or OCN osteoblasts. Examination of the known efferocytes in the target tissues showed that CD19 cell apoptosis was associated with infiltration of dendritic cells into splenic B cell follicles. In the bone, where efferocytosis remains under-explored, the use of iCasp9 provided direct in vivo evidence that macrophages are important mediators of apoptotic osteoblast clearance. Collectively, this study presented the first mouse model of iCasp9 which achieved selective apoptosis, allowing examination of subsequent efferocytosis. Given its unique feature of being controlled by any Cre-expressing mouse lines, the potential applications of this model are extensive and will bring forth more insights into the diversity of mechanisms and cellular effects induced by apoptosis including the physiologically important efferocytic process that follows.

摘要

细胞凋亡和有效的胞噬作用对于生长、发育和体内平衡至关重要。不同组织中不同细胞的这些机制的异质性使得难以开发广泛适用的体内技术。在这里,我们引入了一种新型的可诱导 Caspase-9(iCasp9)小鼠模型,该模型允许靶向细胞凋亡,并进一步促进对伴随的胞噬作用的研究。我们生成了具有化学诱导型 Caspase-9 蛋白条件表达的 iCasp9 小鼠,该蛋白在 Cre 重组酶存在的情况下被触发。在体外,用表达 Cre 的腺病毒转导 iCasp9 小鼠的骨髓细胞时,这些细胞表达 iCasp9 蛋白。用化学二聚体(AP20187/AP)处理这些细胞会导致 iCasp9 加工和 cleaved caspase-3 的上调,表明成功诱导了细胞凋亡。通过将 iCasp9 小鼠与 CD19-Cre 和 Osteocalcin(OCN)-Cre 小鼠杂交,靶向 CD19 B 细胞或 OCN 骨衬成骨细胞,证明了该模型的体内功能和多功能性。用 EGFP、CD19/OCN 和 cleaved caspase-3 表达的免疫荧光和/或免疫组织化学染色以及组织形态计量学分析联合检测表明,AP 的单次剂量可有效诱导 CD19 B 细胞或 OCN 成骨细胞的凋亡。对靶组织中已知的胞噬细胞的检查表明,CD19 细胞凋亡与树突状细胞浸润脾脏 B 细胞滤泡有关。在骨骼中,胞噬作用仍未得到充分探索,使用 iCasp9 提供了直接的体内证据,表明巨噬细胞是凋亡成骨细胞清除的重要介质。总的来说,这项研究提出了首个 iCasp9 小鼠模型,实现了选择性凋亡,允许检查随后的胞噬作用。鉴于其可由任何表达 Cre 的小鼠品系控制的独特特征,该模型的潜在应用非常广泛,并将为细胞凋亡诱导的机制和细胞效应的多样性带来更多的认识,包括随后的生理上重要的胞噬作用。

https://cdn.ncbi.nlm.nih.gov/pmc/blobs/84d3/9873735/ea9e946de125/41419_2023_5594_Fig1_HTML.jpg

文献AI研究员

20分钟写一篇综述,助力文献阅读效率提升50倍。

立即体验

用中文搜PubMed

大模型驱动的PubMed中文搜索引擎

马上搜索

文档翻译

学术文献翻译模型,支持多种主流文档格式。

立即体验