Suppr超能文献

黄芩素 II,一种新型 NQO1 抑制剂,可减轻马兜铃酸 I 诱导的小鼠肝肾功能损伤。

Skullcapflavone II, a novel NQO1 inhibitor, alleviates aristolochic acid I-induced liver and kidney injury in mice.

机构信息

Fudan University Shanghai Cancer Center, Department of Oncology, Shanghai Medical College, Fudan University, Shanghai, 200032, China.

National Center for Liver Cancer, Naval Medical University (Second Military Medical University), Shanghai, 200438, China.

出版信息

Acta Pharmacol Sin. 2023 Jul;44(7):1429-1441. doi: 10.1038/s41401-023-01052-3. Epub 2023 Jan 25.

Abstract

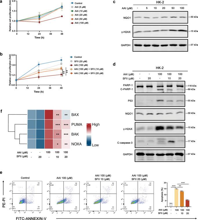
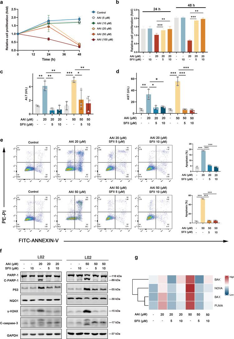
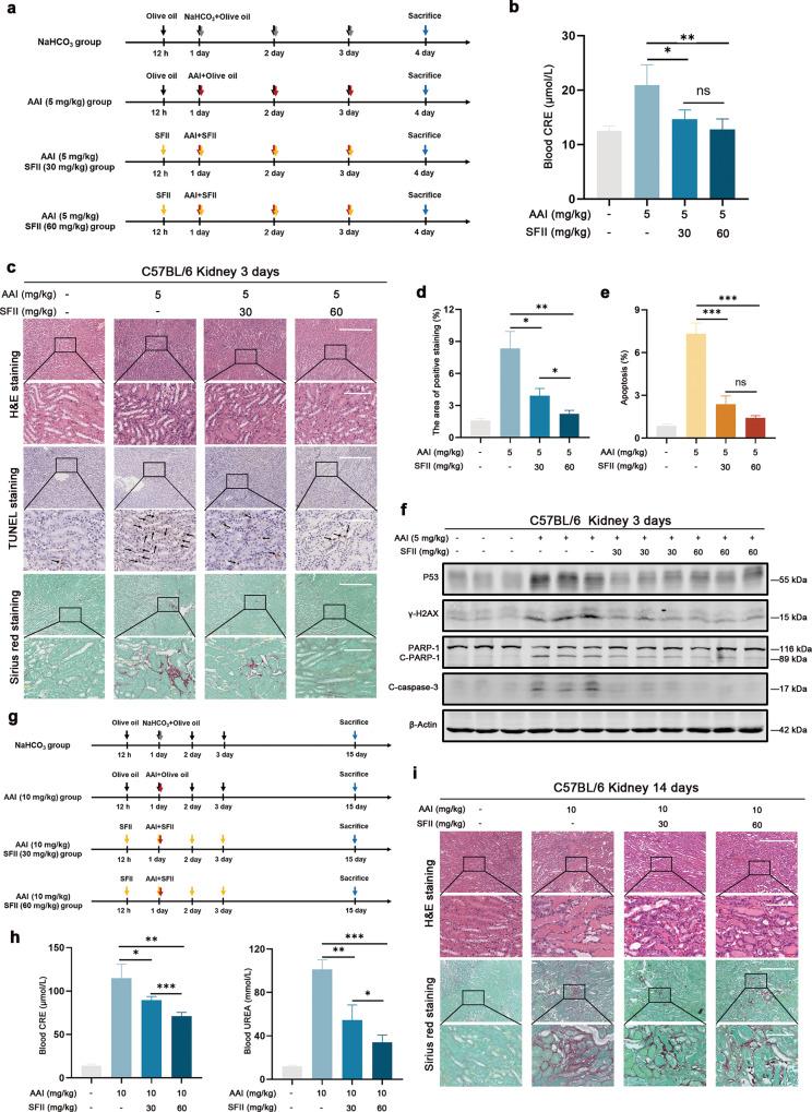
Aristolochic acid I (AAI) is a well established nephrotoxin and human carcinogen. Cytosolic NAD(P)H quinone oxidoreductase 1 (NQO1) plays an important role in the nitro reduction of aristolochic acids, leading to production of aristoloactam and AA-DNA adduct. Application of a potent NQO1 inhibitor dicoumarol is limited by its life-threatening side effect as an anticoagulant and the subsequent hemorrhagic complications. As traditional medicines containing AAI remain available in the market, novel NQO1 inhibitors are urgently needed to attenuate the toxicity of AAI exposure. In this study, we employed comprehensive 2D NQO1 biochromatography to screen candidate compounds that could bind with NQO1 protein. Four compounds, i.e., skullcapflavone II (SFII), oroxylin A, wogonin and tectochrysin were screened out from Scutellaria baicalensis. Among them, SFII was the most promising NQO1 inhibitor with a binding affinity (K = 4.198 μmol/L) and inhibitory activity (IC = 2.87 μmol/L). In human normal liver cell line (L02) and human renal proximal tubular epithelial cell line (HK-2), SFII significantly alleviated AAI-induced DNA damage and apoptosis. In adult mice, oral administration of SFII dose-dependently ameliorated AAI-induced renal fibrosis and dysfunction. In infant mice, oral administration of SFII suppressed AAI-induced hepatocellular carcinoma initiation. Moreover, administration of SFII did not affect the coagulation function in short term in adult mice. In conclusion, SFII has been identified as a novel NQO1 inhibitor that might impede the risk of AAI to kidney and liver without obvious side effect.

摘要

马兜铃酸 I (AAI) 是一种公认的肾毒素和人类致癌物。细胞质 NAD(P)H 醌氧化还原酶 1 (NQO1) 在马兜铃酸的硝基还原中起着重要作用,导致 aristoloactam 和 AA-DNA 加合物的产生。强效 NQO1 抑制剂二香豆素的应用受到其作为抗凝剂的致命副作用以及随后的出血并发症的限制。由于含有 AAI 的传统药物仍在市场上供应,因此迫切需要新型 NQO1 抑制剂来减轻 AAI 暴露的毒性。在这项研究中,我们采用综合二维 NQO1 生物层析法筛选可能与 NQO1 蛋白结合的候选化合物。从黄芩中筛选出 4 种化合物,即黄芩素 II (SFII)、黄连碱、汉黄芩素和白杨素。其中,SFII 是最有前途的 NQO1 抑制剂,具有结合亲和力 (K=4.198μmol/L) 和抑制活性 (IC=2.87μmol/L)。在人正常肝细胞系 (L02) 和人肾近端肾小管上皮细胞系 (HK-2) 中,SFII 显著减轻 AAI 诱导的 DNA 损伤和凋亡。在成年小鼠中,SFII 的口服给药剂量依赖性地改善了 AAI 诱导的肾纤维化和功能障碍。在幼鼠中,SFII 的口服给药抑制了 AAI 诱导的肝癌起始。此外,SFII 给药在成年小鼠中短期内并未影响凝血功能。总之,SFII 已被鉴定为一种新型的 NQO1 抑制剂,可在没有明显副作用的情况下阻止 AAI 对肾脏和肝脏的风险。

https://cdn.ncbi.nlm.nih.gov/pmc/blobs/4ed0/10310704/6365684c5a2d/41401_2023_1052_Fig1_HTML.jpg

文献AI研究员

20分钟写一篇综述,助力文献阅读效率提升50倍。

立即体验

用中文搜PubMed

大模型驱动的PubMed中文搜索引擎

马上搜索

文档翻译

学术文献翻译模型,支持多种主流文档格式。

立即体验