Suppr超能文献

载姜黄素和预载吲哚菁绿无定形碳酸钙的多功能纳米粒用于增强化疗-光热癌症治疗。

Multifunctional Nanoparticles Codelivering Doxorubicin and Amorphous Calcium Carbonate Preloaded with Indocyanine Green for Enhanced Chemo-Photothermal Cancer Therapy.

机构信息

Huzhou Key Laboratory of Medical and Environmental Applications Technologies, School of Life Sciences, Huzhou University, Huzhou, People's Republic of China.

Jiangxi Provincial Laboratory Laboratory of System Biomedicine, Jiujiang University, Jiujiang, People's Republic of China.

出版信息

Int J Nanomedicine. 2023 Jan 18;18:323-337. doi: 10.2147/IJN.S394896. eCollection 2023.

Abstract

BACKGROUND

Multifunctional stimuli-responsive nanoparticles with photothermal-chemotherapy provided a powerful tool for improving the accuracy and efficiency in the treatment of malignant tumors.

METHODS

Herein, photosensitizer indocyanine green (ICG)-loaded amorphous calcium-carbonate (ICG@) nanoparticle was prepared by a gas diffusion reaction. Doxorubicin (DOX) and ICG@ were simultaneously encapsulated into poly(lactic-co-glycolic acid)-ss-chondroitin sulfate A (PSC) nanoparticles by a film hydration method. The obtained PSC/ICG@+DOX hybrid nanoparticles were characterized and evaluated by Fourier transform infrared spectroscopy (FTIR), dynamic light scattering (DLS), transmission electron microscopy (TEM), and differential scanning calorimetry (DSC). The cellular uptake and cytotoxicity of PSC/ICG@+DOX nanoparticles were analyzed by confocal laser scanning microscopy (CLSM) and MTT assay in 4T1 cells. In vivo antitumor activity of the nanoparticles was evaluated in 4T1-bearing Balb/c mice.

RESULTS

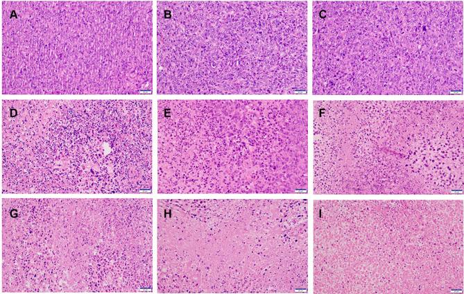
PSC/ICG@+DOX nanoparticles were nearly spherical in shape by TEM observation, and the diameter was 407 nm determined by DLS. Owing to calcium carbonate and disulfide bond linked copolymer, PSC/ICG@+DOX nanoparticles exhibited pH and reduction-sensitive drug release. Further, PSC/ICG@+DOX nanoparticles showed an effective photothermal effect under near-infrared (NIR) laser irradiation, and improved cellular uptake and cytotoxicity in breast cancer 4T1 cells. Importantly, PSC/ICG@+DOX nanoparticles demonstrated the most effective suppression of tumor growth in orthotopic 4T1-bearing mice among the treatment groups. In contrast with single chemotherapy or photothermal therapy, chemo-photothermal treatment by PSC/ICG@+DOX nanoparticles synergistically inhibited the growth of 4T1 cells.

CONCLUSION

This study demonstrated that PSC/ICG@+DOX nanoparticles with active targeting and stimuli-sensitivity would be a promising strategy to enhance chemo-photothermal cancer therapy.

摘要

背景

具有光热化疗的多功能刺激响应纳米粒子为提高恶性肿瘤治疗的准确性和效率提供了有力工具。

方法

本文通过气体扩散反应制备了载有光敏剂吲哚菁绿(ICG)的无定形碳酸钙(ICG@)纳米粒子。通过薄膜水化法将阿霉素(DOX)和 ICG@同时包封到聚(乳酸-共-乙醇酸)-ss-硫酸软骨素 A(PSC)纳米粒子中。通过傅里叶变换红外光谱(FTIR)、动态光散射(DLS)、透射电子显微镜(TEM)和差示扫描量热法(DSC)对所得 PSC/ICG@+DOX 杂化纳米粒子进行了表征和评估。通过共聚焦激光扫描显微镜(CLSM)和 MTT 测定法在 4T1 细胞中分析了 PSC/ICG@+DOX 纳米粒子的细胞摄取和细胞毒性。在荷 4T1 Balb/c 小鼠中评估了纳米粒子的体内抗肿瘤活性。

结果

TEM 观察表明,PSC/ICG@+DOX 纳米粒子呈近球形,DLS 测定的粒径为 407nm。由于碳酸钙和二硫键连接的共聚物,PSC/ICG@+DOX 纳米粒子表现出 pH 和还原敏感的药物释放。此外,PSC/ICG@+DOX 纳米粒子在近红外(NIR)激光照射下表现出有效的光热效应,并提高了乳腺癌 4T1 细胞的细胞摄取和细胞毒性。重要的是,PSC/ICG@+DOX 纳米粒子在荷瘤 4T1 小鼠的治疗组中对肿瘤生长的抑制作用最为显著。与单一化疗或光热治疗相比,PSC/ICG@+DOX 纳米粒子的化疗-光热协同治疗协同抑制了 4T1 细胞的生长。

结论

本研究表明,具有主动靶向和刺激敏感性的 PSC/ICG@+DOX 纳米粒子将是增强化疗-光热癌症治疗的有前途的策略。

https://cdn.ncbi.nlm.nih.gov/pmc/blobs/bfdc/9869790/dbfb3b72a47e/IJN-18-323-g0001.jpg

文献AI研究员

20分钟写一篇综述,助力文献阅读效率提升50倍。

立即体验

用中文搜PubMed

大模型驱动的PubMed中文搜索引擎

马上搜索

文档翻译

学术文献翻译模型,支持多种主流文档格式。

立即体验