Suppr超能文献

仑伐替尼联合帕博利珠单抗联合吉西他滨加顺铂治疗晚期肝内胆管癌的转化治疗:病例报告及文献复习。

Conversion therapy for advanced intrahepatic cholangiocarcinoma with lenvatinib and pembrolizumab combined with gemcitabine plus cisplatin: A case report and literature review.

机构信息

Hepatic Surgery Center, Tongji Hospital, Tongji Medical College, Huazhong University of Science and Technology, Wuhan, China.

出版信息

Front Immunol. 2023 Jan 9;13:1079342. doi: 10.3389/fimmu.2022.1079342. eCollection 2022.

Abstract

BACKGROUND

Intrahepatic cholangiocarcinoma (ICC) is a highly malignant biliary tumor. Patients with unresectable and advanced ICC have a poor prognosis with current gemcitabine-based chemotherapy. Combination therapy strategies based on immunotherapy have achieved promising results in various tumor types.

CASE PRESENTATION

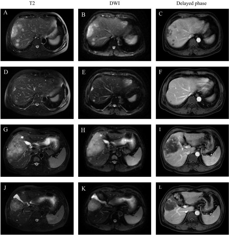
We reported a patient with unresectable ICC who received lenvatinib and pembrolizumab in combination with gemcitabine plus cisplatin (GP) chemotherapy and subsequently underwent radical liver resection. A 46-year-old male with a history of chronic hepatitis B and hypertension was diagnosed with ICC. Multiple liver tumors with ring-like enhancement were detected on abdominal contrast-enhanced CT and MRI. Enlarged lymph nodes were found in the hilar and retroperitoneal areas. The tumor was clinically staged as T2N1M0 (stage IIIB). Lenvatinib and pembrolizumab in combination with GP chemotherapy were adopted as first-line treatments for the patient. After six cycles of scheduled treatment, the diameter of the largest liver lesion and the number of liver lesions were markedly reduced. The level of the tumor marker CA19-9 decreased to a normal range. A partial response according to the mRECIST criteria was achieved without severe toxicities. Non-anatomical liver resection (segment 4b, 5,6 + segment 7 + segment 8), cholecystectomy and hilar lymph node dissection were performed one month after stopping combination therapy. Pathological examination confirmed a diagnosis of moderate-to-poorly differentiated ICC with lymph node metastasis. The patient has survived 15 months following resection of the tumors, with no evidence of local recurrence or distant metastasis.

CONCLUSION

Lenvatinib and anti-PD1 antibody pembrolizumab in combination with GP chemotherapy provided promising antitumor efficacy with reasonable tolerability, which may be a potentially feasible and safe conversion therapy strategy for patients with initially unresectable and advanced ICC.

摘要

背景

肝内胆管癌(ICC)是一种高度恶性的胆道肿瘤。目前,吉西他滨为基础的化疗方案对不可切除和晚期 ICC 患者的疗效较差。基于免疫疗法的联合治疗策略在各种肿瘤类型中取得了令人瞩目的结果。

病例介绍

我们报告了一例不可切除的 ICC 患者,该患者接受仑伐替尼和帕博利珠单抗联合吉西他滨加顺铂(GP)化疗,随后接受根治性肝切除术。一名 46 岁男性,有慢性乙型肝炎和高血压病史,被诊断为 ICC。腹部增强 CT 和 MRI 显示多个肝内肿瘤呈环形增强。肝门和腹膜后区域发现增大的淋巴结。肿瘤临床分期为 T2N1M0(IIIb 期)。仑伐替尼和帕博利珠单抗联合 GP 化疗被用作该患者的一线治疗方案。经过六周期的预定治疗后,最大肝病灶直径和肝病灶数量明显减少。肿瘤标志物 CA19-9 水平降至正常范围。根据 mRECIST 标准,达到部分缓解,无严重毒性。联合治疗停止一个月后,行非解剖性肝切除术(4b 段、5 段、6 段+7 段+8 段)、胆囊切除术和肝门淋巴结清扫术。病理检查证实存在中-低分化 ICC 伴淋巴结转移。患者在肿瘤切除后存活了 15 个月,无局部复发或远处转移的证据。

结论

仑伐替尼和抗 PD-1 抗体帕博利珠单抗联合 GP 化疗具有良好的抗肿瘤疗效和可接受的耐受性,可能是一种潜在可行和安全的不可切除和晚期 ICC 患者的转化治疗策略。

https://cdn.ncbi.nlm.nih.gov/pmc/blobs/9abc/9868150/206d047f215e/fimmu-13-1079342-g001.jpg

文献AI研究员

20分钟写一篇综述,助力文献阅读效率提升50倍。

立即体验

用中文搜PubMed

大模型驱动的PubMed中文搜索引擎

马上搜索

文档翻译

学术文献翻译模型,支持多种主流文档格式。

立即体验