Suppr超能文献

从头开始:RT-LAMP 检测 SARS-CoV-2 的诊断测试的逐步开发。

Starting from scratch: Step-by-step development of diagnostic tests for SARS-CoV-2 detection by RT-LAMP.

机构信息

Departamento de Biotecnología y Bioingeniería, Centro de Investigación y de Estudios Avanzados, Mexico City, Mexico.

Laboratorio Nacional de Genómica para la Biodiversidad, Centro de Investigación y de Estudios Avanzados, Irapuato, Guanajuato, Mexico.

出版信息

PLoS One. 2023 Jan 26;18(1):e0279681. doi: 10.1371/journal.pone.0279681. eCollection 2023.

Abstract

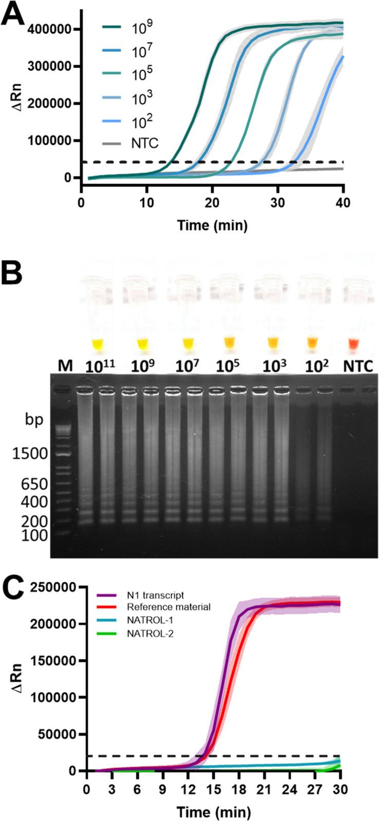
The pandemic caused by the severe acute respiratory syndrome coronavirus 2 (SARS-CoV-2) has affected millions of people worldwide. Public health strategies to reduce viral transmission are based on widespread diagnostic testing to detect and isolate contagious patients. Several reverse transcription (RT)-PCR tests, along with other SARS-CoV-2 diagnostic assays, are available to attempt to cover the global demand. Loop-mediated isothermal amplification (LAMP) based methods have been established as rapid, accurate, point of care diagnostic tests for viral infections; hence, they represent an excellent alternative for SARS-CoV-2 detection. The aim of this study was to develop and describe molecular detection systems for SARS-CoV-2 based on RT-LAMP. Recombinant DNA polymerase from Bacillus stearothermophilus and thermostable engineered reverse transcriptase from Moloney Murine Leukemia Virus were expressed using a prokaryotic system and purified by fast protein liquid chromatography. These enzymes were used to set up fluorometric real time and colorimetric end-point RT-LAMP assays. Several reaction conditions were optimized such as reaction temperature, Tris-HCl concentration, and pH of the diagnostic tests. The key enzymes for RT-LAMP were purified and their enzymatic activity was determined. Standardized reaction conditions for both RT-LAMP assays were 65°C and a Tris-HCl-free buffer at pH 8.8. Colorimetric end-point RT-LAMP assay was successfully used for viral detection from clinical saliva samples with 100% sensitivity and 100% specificity compared to the results obtained by RT-qPCR based diagnostic protocols with Ct values until 30. The developed RT-LAMP diagnostic tests based on purified recombinant enzymes allowed a sensitive and specific detection of the nucleocapsid gene of SARS-CoV-2.

摘要

由严重急性呼吸系统综合征冠状病毒 2(SARS-CoV-2)引起的大流行已经影响了全球数百万人。旨在减少病毒传播的公共卫生策略是基于广泛的诊断测试,以检测和隔离传染性患者。有几种逆转录(RT)-PCR 测试以及其他 SARS-CoV-2 诊断检测方法可用于满足全球需求。环介导等温扩增(LAMP)基于方法已成为病毒感染的快速、准确、即时护理诊断测试;因此,它们是 SARS-CoV-2 检测的绝佳替代品。本研究旨在开发和描述基于 RT-LAMP 的 SARS-CoV-2 分子检测系统。来自嗜热脂肪芽孢杆菌的重组 DNA 聚合酶和来自莫洛尼鼠白血病病毒的耐热工程逆转录酶通过原核系统表达并通过快速蛋白质液相色谱法纯化。这些酶用于建立荧光实时和比色终点 RT-LAMP 检测。优化了几种反应条件,例如反应温度、Tris-HCl 浓度和诊断测试的 pH 值。RT-LAMP 的关键酶被纯化并确定了它们的酶活性。两种 RT-LAMP 检测的标准化反应条件均为 65°C 和无 Tris-HCl 的缓冲液 pH 值 8.8。与基于 RT-qPCR 的诊断方案的结果相比,比色终点 RT-LAMP 检测成功地用于从临床唾液样本中检测病毒,灵敏度为 100%,特异性为 100%,Ct 值直至 30。基于纯化重组酶的开发 RT-LAMP 诊断测试允许对 SARS-CoV-2 的核衣壳基因进行敏感和特异性检测。

https://cdn.ncbi.nlm.nih.gov/pmc/blobs/2670/9879405/dccece7b8ad8/pone.0279681.g001.jpg

文献AI研究员

20分钟写一篇综述,助力文献阅读效率提升50倍。

立即体验

用中文搜PubMed

大模型驱动的PubMed中文搜索引擎

马上搜索

文档翻译

学术文献翻译模型,支持多种主流文档格式。

立即体验