Suppr超能文献

基于直接逆转录环介导等温扩增技术的快速侧向流动分析检测法用于严重急性呼吸综合征冠状病毒2诊断的研究进展

Development of a rapid LFA test based on direct RT-LAMP for diagnosis of SARS-CoV-2.

作者信息

Sadeghi Negar, Shirazi Neda, Dehbashi Moein, Maleki Bahareh, Cho William C, Hojati Zohreh

机构信息

Division of Genetics, Department of Cell and Molecular Biology and Microbiology, Faculty of Biological Science and Technology, University of Isfahan, Isfahan, Postal Code: 81746-73441, Iran.

Department of Clinical Oncology, Queen Elizabeth Hospital, Hong Kong SAR, China.

出版信息

Pract Lab Med. 2024 Oct 18;42:e00437. doi: 10.1016/j.plabm.2024.e00437. eCollection 2024 Nov.

Abstract

INTRODUCTION

In response to the rapid spread of the SARS-CoV-2 virus, we developed a rapid molecular approach to diagnose COVID-19 without the need for RNA extraction.

METHODS

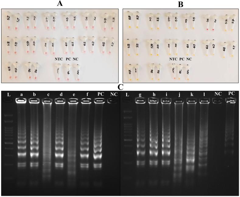
The study utilized two molecular methods, RT-qPCR and colorimetric RT-LAMP, to diagnose the RdRp and ORF8 genes, respectively, in oro-nasopharyngeal swabs. Due to the high sequence diversity of ORF8 in SARS-CoV and SARS-CoV-2, it has been identified as a suitable target for virus detection. The RT-LAMP method was also carried out directly on heat-treated swab samples. The strip tests were made using gold nanoparticles and combined with the RT-LAMP for further analysis.

RESULTS

The results showed that the isothermal amplification method had a sensitivity of 95 % (95 % C.I.: 86.08 %-98.96 %) and a specificity of 75 % (95 % C.I.: 19.41 %-99.37 %). The RT-LAMP-LFA method was able to distinguish positive and negative samples with 100 % sensitivity (95 % C.I.: 91.96-100) and 77.27 % specificity (95 % C.I.: 54.63-92.18). This method only required heating swab samples for 10 min at 65 °C before the RT-LAMP reaction.

CONCLUSION

By utilizing the RT-LAMP in combination with the LFA, it is possible to diagnose SARS-CoV-2 rapidly without the need for RNA extraction. The entire process from sample collection to test interpretation takes only 75-90 min, and the results can be interpreted by untrained individuals with the naked eye. By employing the ORF8 gene as a diagnostic target and eliminating the need for RNA extraction, the direct RT-LAMP-LFA method achieves a significant breakthrough that was not previously reported.

摘要

引言

为应对严重急性呼吸综合征冠状病毒2(SARS-CoV-2)病毒的迅速传播,我们开发了一种无需RNA提取即可诊断新型冠状病毒肺炎(COVID-19)的快速分子方法。

方法

本研究采用两种分子方法,即逆转录定量聚合酶链反应(RT-qPCR)和比色逆转录环介导等温扩增(RT-LAMP),分别检测口咽拭子和鼻咽拭子中的RNA依赖性RNA聚合酶(RdRp)基因和开放阅读框8(ORF8)基因。由于严重急性呼吸综合征(SARS)冠状病毒和SARS-CoV-2中ORF8的序列多样性高,它已被确定为病毒检测的合适靶点。RT-LAMP方法也直接在热处理后的拭子样本上进行。试纸条检测使用金纳米颗粒,并与RT-LAMP结合进行进一步分析。

结果

结果显示,等温扩增法的灵敏度为95%(95%置信区间:86.08%-98.96%),特异性为75%(95%置信区间:19.41%-99.37%)。RT-LAMP-侧向流动分析法(LFA)能够以100%的灵敏度(95%置信区间:91.96-100)和77.27%的特异性(95%置信区间:54.63-92.18)区分阳性和阴性样本。该方法在RT-LAMP反应前仅需将拭子样本在65℃加热10分钟。

结论

通过将RT-LAMP与LFA结合使用,无需RNA提取即可快速诊断SARS-CoV-2。从样本采集到检测结果解读的整个过程仅需75-90分钟,结果可由未经培训的人员肉眼解读。通过将ORF8基因用作诊断靶点并无需RNA提取,直接RT-LAMP-LFA方法实现了此前未报道的重大突破。

https://cdn.ncbi.nlm.nih.gov/pmc/blobs/0f1c/11565418/ad0cd7345660/ga1.jpg

文献AI研究员

20分钟写一篇综述,助力文献阅读效率提升50倍。

立即体验

用中文搜PubMed

大模型驱动的PubMed中文搜索引擎

马上搜索

文档翻译

学术文献翻译模型,支持多种主流文档格式。

立即体验