Suppr超能文献

点击化学法合成的奥瑞他汀F-连接子-苄基鸟嘌呤用于基于SNAP标签的重组抗体-药物偶联物,该偶联物对表皮生长因子受体过表达的肿瘤细胞具有选择性细胞毒性。

Click Chemistry-Generated Auristatin F-Linker-Benzylguanine for a SNAP-Tag-Based Recombinant Antibody-Drug Conjugate Demonstrating Selective Cytotoxicity toward EGFR-Overexpressing Tumor Cells.

作者信息

Huysamen Allan M, Fadeyi Olaolu E, Mayuni Grace, Dogbey Dennis M, Mungra Neelakshi, Biteghe Fleury A N, Hardcastle Natasha, Ramamurthy Dharanidharan, Akinrinmade Olusiji A, Naran Krupa, Cooper Susan, Lang Dirk, Richter Wolfgang, Hunter Roger, Barth Stefan

机构信息

Department of Chemistry, University of Cape Town, PD Hahn Building, Cape Town 7700, South Africa.

Medical Biotechnology and Immunotherapy Research Unit, Institute of Infectious Disease and Molecular Medicine, Faculty of Health Sciences, University of Cape Town, Cape Town 7700, South Africa.

出版信息

ACS Omega. 2023 Jan 17;8(4):4026-4037. doi: 10.1021/acsomega.2c06844. eCollection 2023 Jan 31.

Abstract

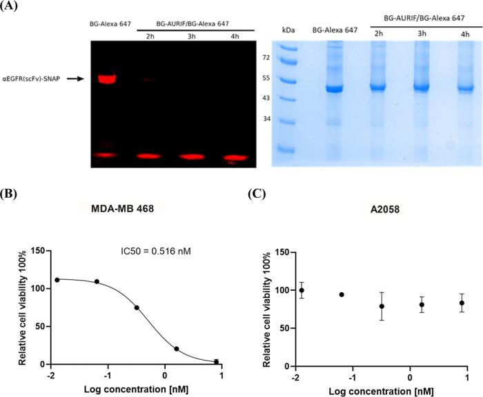
Antibody-drug conjugates (ADCs) are bifunctional molecules combining the targeting potential of monoclonal antibodies with the cancer-killing ability of cytotoxic drugs. This simple yet intelligently designed system directly addresses the lack of specificity encountered with conventional anti-cancer treatment regimes. However, despite their initial success, the generation of clinically sustainable and effective ADCs has been plagued by poor tumor penetration, undefined chemical linkages, unpredictable pharmacokinetic profiles, and heterogeneous mixtures of products. To this end, we generated a SNAP-tag-based fusion protein targeting the epidermal growth factor receptor (EGFR)-a biomarker of aggressive and drug-resistant cancers. Here, we demonstrate the use of a novel click coupling strategy to engineer a benzylguanine (BG)-linker-auristatin F (AuriF) piece that can be covalently tethered to the EGFR-targeting SNAP-tag-based fusion protein in an irreversible 1:1 stoichiometric reaction to form a homogeneous product. Furthermore, using these recombinant ADCs to target EGFR-overexpressing tumor cells, we provide a proof-of-principle for generating biologically active antimitotic therapeutic proteins capable of inducing cell death in a dose-dependent manner, thus alleviating some of the challenges of early ADC development.

摘要

抗体药物偶联物(ADCs)是一种双功能分子,它将单克隆抗体的靶向潜力与细胞毒性药物的抗癌能力结合在一起。这个简单却设计精巧的系统直接解决了传统抗癌治疗方案中缺乏特异性的问题。然而,尽管ADCs最初取得了成功,但临床上可持续且有效的ADCs的研发一直受到肿瘤穿透性差、化学连接不明确、药代动力学特征不可预测以及产品异质混合物等问题的困扰。为此,我们生成了一种基于SNAP标签的融合蛋白,该蛋白靶向表皮生长因子受体(EGFR)——侵袭性和耐药性癌症的一种生物标志物。在此,我们展示了一种新型的点击偶联策略,用于构建一种苄基鸟嘌呤(BG)-连接体-澳瑞他汀F(AuriF)片段,该片段可以在不可逆的1:1化学计量反应中与基于EGFR靶向的SNAP标签融合蛋白共价连接,形成一种均质产物。此外,利用这些重组ADCs靶向EGFR过表达的肿瘤细胞,我们为生成能够以剂量依赖方式诱导细胞死亡的生物活性抗有丝分裂治疗蛋白提供了原理证明,从而缓解了早期ADCs开发中的一些挑战。

https://cdn.ncbi.nlm.nih.gov/pmc/blobs/3497/9893251/4aa964283314/ao2c06844_0002.jpg

文献AI研究员

20分钟写一篇综述,助力文献阅读效率提升50倍。

立即体验

用中文搜PubMed

大模型驱动的PubMed中文搜索引擎

马上搜索

文档翻译

学术文献翻译模型,支持多种主流文档格式。

立即体验