Suppr超能文献

CSPG4 作为基于重组 SNAP 标签的抗体-auristatin F 药物偶联物特异性杀伤三阴性乳腺癌细胞的靶标。

CSPG4 as a target for the specific killing of triple-negative breast cancer cells by a recombinant SNAP-tag-based antibody-auristatin F drug conjugate.

机构信息

Institute of Infectious Disease and Molecular Medicine, Medical Biotechnology and Immunotherapy Research Unit, University of Cape Town, Cape Town, 7700, South Africa.

Centre for Immunity and Immunotherapies, Seattle Children's Research Institute, Washington, 98101, USA.

出版信息

J Cancer Res Clin Oncol. 2023 Oct;149(13):12203-12225. doi: 10.1007/s00432-023-05031-3. Epub 2023 Jul 11.

Abstract

PURPOSE

Triple-negative breast cancer (TNBC) is phenotypic of breast tumors lacking expression of the estrogen receptor (ER), the progesterone receptor (PgR), and the human epidermal growth factor receptor 2 (HER2). The paucity of well-defined molecular targets in TNBC, coupled with the increasing burden of breast cancer-related mortality, emphasizes the need to develop targeted diagnostics and therapeutics. While antibody-drug conjugates (ADCs) have emerged as revolutionary tools in the selective delivery of drugs to malignant cells, their widespread clinical use has been hampered by traditional strategies which often give rise to heterogeneous mixtures of ADC products.

METHODS

Utilizing SNAP-tag technology as a cutting-edge site-specific conjugation method, a chondroitin sulfate proteoglycan 4 (CSPG4)-targeting ADC was engineered, encompassing a single-chain antibody fragment (scFv) conjugated to auristatin F (AURIF) via a click chemistry strategy.

RESULTS

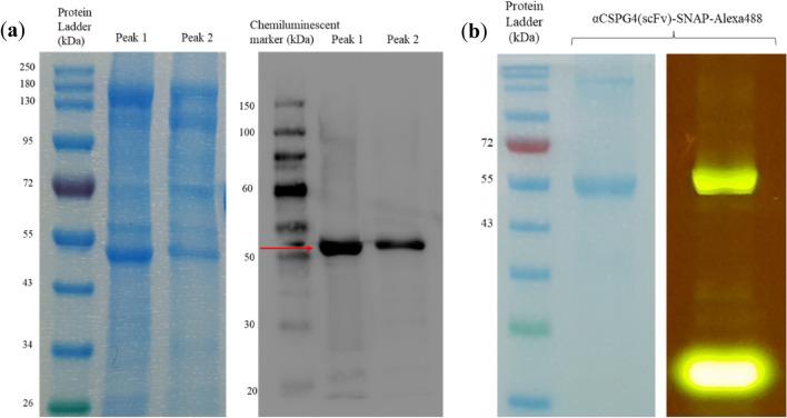
After showcasing the self-labeling potential of the SNAP-tag component, surface binding and internalization of the fluorescently labeled product were demonstrated on CSPG4-positive TNBC cell lines through confocal microscopy and flow cytometry. The cell-killing ability of the novel AURIF-based recombinant ADC was illustrated by the induction of a 50% reduction in cell viability at nanomolar to micromolar concentrations on target cell lines.

CONCLUSION

This research underscores the applicability of SNAP-tag in the unambiguous generation of homogeneous and pharmaceutically relevant immunoconjugates that could potentially be instrumental in the management of a daunting disease like TNBC.

摘要

目的

三阴性乳腺癌(TNBC)是缺乏雌激素受体(ER)、孕激素受体(PgR)和人表皮生长因子受体 2(HER2)表达的乳腺肿瘤的表型。TNBC 中缺乏明确的分子靶点,加上乳腺癌相关死亡率的不断增加,强调了开发靶向诊断和治疗方法的必要性。尽管抗体药物偶联物(ADC)作为将药物选择性递送至恶性细胞的革命性工具已经出现,但由于传统策略常常导致 ADC 产品的异质混合物,其广泛的临床应用受到了阻碍。

方法

利用 SNAP 标签技术作为一种先进的定点偶联方法,设计了一种靶向硫酸软骨素蛋白聚糖 4(CSPG4)的 ADC,该 ADC 包含通过点击化学策略连接到奥瑞他汀 F(AURIF)的单链抗体片段(scFv)。

结果

在展示了 SNAP 标签成分的自标记潜力后,通过共聚焦显微镜和流式细胞术证明了荧光标记产物在 CSPG4 阳性 TNBC 细胞系上的表面结合和内化。新型基于 AURIF 的重组 ADC 的细胞杀伤能力通过在靶细胞系上以纳摩尔至微摩尔浓度诱导细胞活力降低 50%来说明。

结论

这项研究强调了 SNAP 标签在明确产生同质且具有药学相关性的免疫偶联物方面的适用性,这些偶联物可能在管理像 TNBC 这样令人生畏的疾病方面发挥重要作用。

https://cdn.ncbi.nlm.nih.gov/pmc/blobs/5ced/10465649/bd78230415bd/432_2023_5031_Fig1_HTML.jpg

文献AI研究员

20分钟写一篇综述,助力文献阅读效率提升50倍。

立即体验

用中文搜PubMed

大模型驱动的PubMed中文搜索引擎

马上搜索

文档翻译

学术文献翻译模型,支持多种主流文档格式。

立即体验