Suppr超能文献

三叶崖爬藤提取物通过上调长链非编码 RNA MEG3 和 SFRP1 依赖性抑制 Wnt/β-连环蛋白通路来防止神经胶质瘤的恶性进展。

Marsdenia tenacissima extract prevents the malignant progression of glioma through upregulating lncRNA MEG3 and SFRP1-dependent inhibition of Wnt/β-catenin pathway.

机构信息

Department of Neurosurgery, Hunan Provincial People's Hospital, The First Affiliated Hospital of Hunan Normal University, Changsha, Hunan, China.

出版信息

CNS Neurosci Ther. 2023 May;29(5):1272-1289. doi: 10.1111/cns.14100. Epub 2023 Feb 8.

Abstract

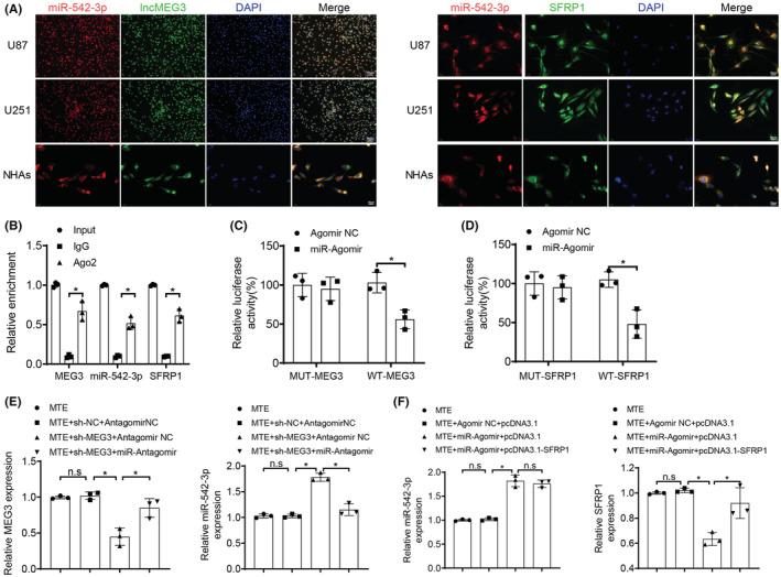
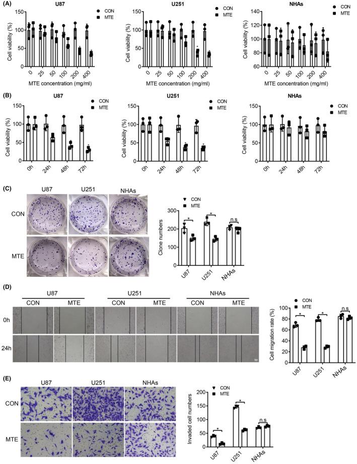
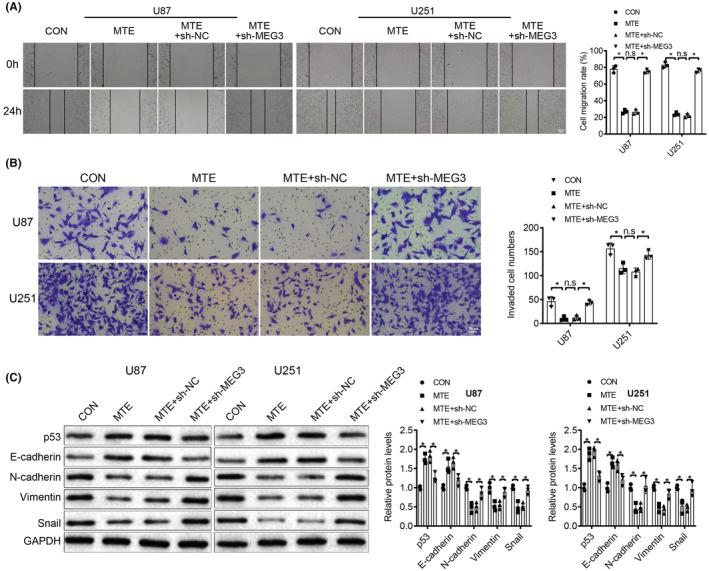
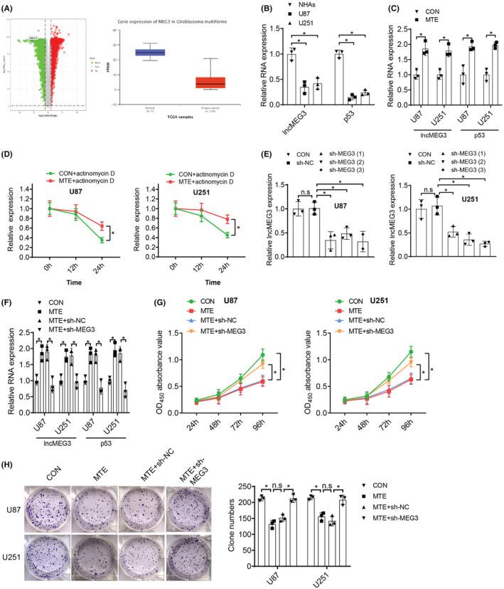
BACKGROUND/AIM: Recent studies have highlighted the tumor-suppressive effect of Marsdenia tenacissima extract (MTE) on human cancers. This research unveils the potential impact of MTE on glioma and ascertains the relevant molecular mechanisms.

METHODS

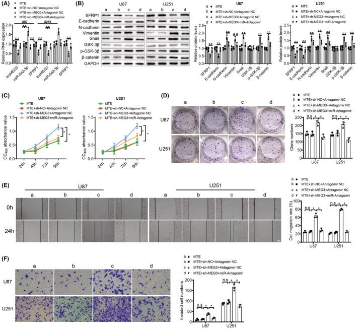
Glioma cells were treated with MTE, with normal human astrocytes (NHAs) as controls. A battery of function experiments, including the CCK-8 viability test, colony formation assay, scratch migration assay, and Transwell invasion assay, was executed to address the responses of glioma cells to MTE treatment and gain or loss of function of lncMEG3, miR-542-3p, and SFRP1. FISH, RIP, and dual-luciferase reporter assays were adopted for assessing gene interactions. U251-GFP-Luc cells were delivered into nude mice through intracranial injection to develop an orthotopic glioma model for in vivo validation.

RESULTS

200 mg/mL MTE could suppress the proliferating, migrating, and invading properties of glioma cells but not affect those of NHAs. MTE treatment enhanced the expression of lncMEG3, which competes with SFRP1 for binding miR-542-3p. SFRP1 could inactivate the Wnt/β-catenin pathway. Animal experimentation substantiated the antitumor activity and mechanism of MTE in nude mice.

CONCLUSIONS

MTE suppresses glioma via the lncMEG3/miR-542-3p/SFRP1/Wnt/β-catenin axis. These findings contribute to a theoretical basis for the use of MTE for glioma patients.

摘要

背景/目的:最近的研究强调了密马兜铃提取物(MTE)对人类癌症的肿瘤抑制作用。本研究揭示了 MTE 对神经胶质瘤的潜在影响,并确定了相关的分子机制。

方法

用 MTE 处理神经胶质瘤细胞,以正常人星形胶质细胞(NHAs)作为对照。进行了一系列功能实验,包括 CCK-8 活力试验、集落形成试验、划痕迁移试验和 Transwell 侵袭试验,以研究神经胶质瘤细胞对 MTE 处理的反应以及 lncMEG3、miR-542-3p 和 SFRP1 的功能获得或缺失。采用 FISH、RIP 和双荧光素酶报告基因检测来评估基因相互作用。通过颅内注射将 U251-GFP-Luc 细胞递送至裸鼠体内,以建立用于体内验证的原位神经胶质瘤模型。

结果

200mg/mL 的 MTE 可抑制神经胶质瘤细胞的增殖、迁移和侵袭特性,但不影响 NHAs。MTE 处理增强了 lncMEG3 的表达,lncMEG3 与 SFRP1 竞争结合 miR-542-3p。SFRP1 可以使 Wnt/β-catenin 通路失活。动物实验证实了 MTE 在裸鼠体内的抗肿瘤活性和机制。

结论

MTE 通过 lncMEG3/miR-542-3p/SFRP1/Wnt/β-catenin 轴抑制神经胶质瘤。这些发现为 MTE 用于神经胶质瘤患者提供了理论基础。

https://cdn.ncbi.nlm.nih.gov/pmc/blobs/8244/10068475/22391f9b1b6b/CNS-29-1272-g011.jpg

文献AI研究员

20分钟写一篇综述,助力文献阅读效率提升50倍。

立即体验

用中文搜PubMed

大模型驱动的PubMed中文搜索引擎

马上搜索

文档翻译

学术文献翻译模型,支持多种主流文档格式。

立即体验