Suppr超能文献

靶向多梳抑制复合物 2 介导的分泌卷曲相关蛋白 1 双价启动子表观遗传沉默抑制胆管癌进展。

Targeting polycomb repressor complex 2-mediated bivalent promoter epigenetic silencing of secreted frizzled-related protein 1 inhibits cholangiocarcinoma progression.

机构信息

Department of Biliary-Pancreatic Surgery, Tongji Hospital, Tongji Medical College, Huazhong University of Science and Technology, Wuhan, P. R. China.

Department of Emergency, Tongji Hospital, Tongji Medical College, Huazhong University of Science and Technology, Wuhan, P. R. China.

出版信息

Clin Transl Med. 2023 Dec;13(12):e1502. doi: 10.1002/ctm2.1502.

Abstract

BACKGROUND

Cholangiocarcinoma (CCA) refers to a collection of malignancies that are associated with a dismal prognosis. Currently, surgical resection is the only way to cure patients with CCA. Available systemic therapy is limited to gemcitabine plus cisplatin; however, this treatment is palliative in nature. Therefore, there is still a need to explore new effective therapeutic targets to intervene against CCA.

METHODS

We analyzed the expression of EZH2 and the prognosis of patients in CCA. The proliferation, migration and invasion of CCA cells after gene knockdown and overexpression were examined and validated by a xenograft model and a primary CCA mouse model with corresponding gene intervention. Targeting DNA methylation, and RNA-sequencing-based transcriptomic analysis in EZH2 and SUZ12 knockout CCA cells was performed. Bisulfite sequencing polymerase chain reaction (PCR), chromatin immunoprecipitation-quantitative PCR (ChIP-qPCR) and reverse-ChIP assays were performed for research purposes.

RESULTS

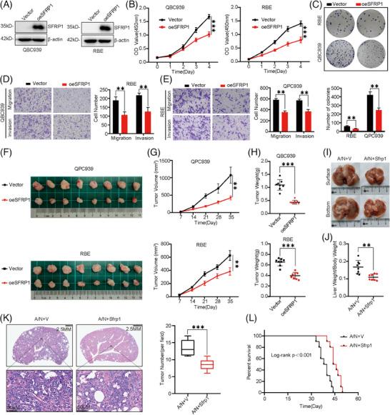
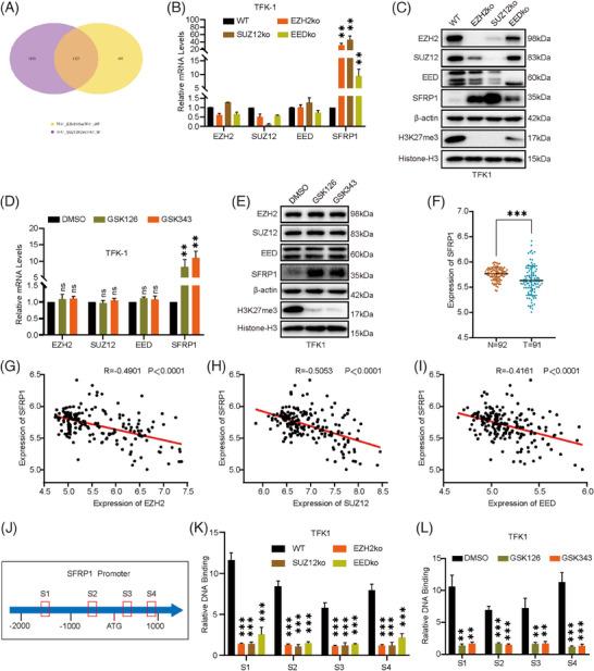
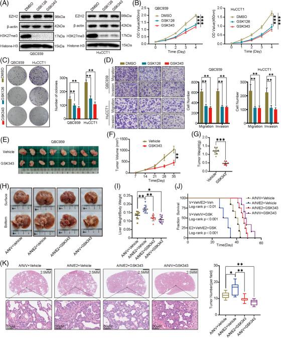
Increased expression of EZH2 in CCA exhibited a significantly poorer prognosis. DNA hypomethylation of the promoter and increased mRNA levels of secreted frizzled-related protein 1 (SFRP1) were observed in CCA cells following the inhibition of polycomb repressor complex 2 (PRC2), which was achieved through a knockout of EZH2, SUZ12 and EED, respectively, or treatment with GSK126 and GSK343. Targeting the SFRP1 promoter DNA hypermethylation with dCas9-DNMT3a decreased the mRNA level of SFRP1. The expression of SFRP1 is regulated by both H3K27me3 and DNA methylation and H3K27me3 plays a crucial role in promoting SFRP1 promotor DNA methylation. GSK343 is a small molecule inhibitor that targets the catalytic activity of EZH2. It effectively inhibits the progression and development of subcutaneous xenografts and primary CCA mouse models.

CONCLUSION

Overall, our data strongly suggested that targeting PRC2 promotes the expression of SFRP1, thereby inhibiting the progression of CCA.

KEY POINTS/HEADLIGHTS: Cholangiocarcinoma (CCA) exhibits elevated expression of EZH2, SUZ12 and EED, resulting in increased levels of H3K27me3. Targeting polycomb repressor complex 2 (PRC2) leads to the removal of H3K27me3 from the secreted frizzled-related protein 1 (SFRP1) promoter and DNA hypomethylation, thereby activating the transcription of SFRP1. Inhibiting PRC2, including the use of EZH2 inhibitors, holds promise as a potential strategy for developing anti-cancer drugs for CCA.

摘要

背景

胆管癌(CCA)是一组与预后不良相关的恶性肿瘤。目前,手术切除是治疗 CCA 患者的唯一方法。现有的系统治疗仅限于吉西他滨联合顺铂;然而,这种治疗本质上是姑息性的。因此,仍然需要探索新的有效的治疗靶点来干预 CCA。

方法

我们分析了 EZH2 在 CCA 中的表达和患者的预后。通过异种移植模型和相应基因干预的原发性 CCA 小鼠模型,检测和验证了基因敲低和过表达后 CCA 细胞的增殖、迁移和侵袭。对 EZH2 和 SUZ12 基因缺失的 CCA 细胞进行靶向 DNA 甲基化和基于 RNA 测序的转录组分析。进行亚硫酸氢盐测序聚合酶链反应(PCR)、染色质免疫沉淀定量 PCR(ChIP-qPCR)和反向 ChIP 检测。

结果

CCA 中 EZH2 的高表达显示出明显较差的预后。抑制多梳抑制复合物 2(PRC2)后,在 CCA 细胞中观察到 EZH2、SUZ12 和 EED 的敲除或 GSK126 和 GSK343 的治疗导致 EZH2 的启动子去甲基化和分泌卷曲相关蛋白 1(SFRP1)的 mRNA 水平增加。靶向 SFRP1 启动子 DNA 高甲基化的 dCas9-DNMT3a 降低了 SFRP1 的 mRNA 水平。SFRP1 的表达受 H3K27me3 和 DNA 甲基化调节,H3K27me3 在促进 SFRP1 启动子 DNA 甲基化中起关键作用。GSK343 是一种靶向 EZH2 催化活性的小分子抑制剂,可有效抑制皮下异种移植和原发性 CCA 小鼠模型的进展和发展。

结论

总的来说,我们的数据强烈表明,靶向 PRC2 可促进 SFRP1 的表达,从而抑制 CCA 的进展。

要点/亮点:胆管癌(CCA)表现出 EZH2、SUZ12 和 EED 的高表达,导致 H3K27me3 水平升高。靶向多梳抑制复合物 2(PRC2)导致分泌卷曲相关蛋白 1(SFRP1)启动子上的 H3K27me3 去除和 DNA 去甲基化,从而激活 SFRP1 的转录。抑制 PRC2,包括使用 EZH2 抑制剂,有望成为开发 CCA 抗癌药物的一种潜在策略。

https://cdn.ncbi.nlm.nih.gov/pmc/blobs/24c4/10696163/542bd487369a/CTM2-13-e1502-g003.jpg

文献AI研究员

20分钟写一篇综述,助力文献阅读效率提升50倍。

立即体验

用中文搜PubMed

大模型驱动的PubMed中文搜索引擎

马上搜索

文档翻译

学术文献翻译模型,支持多种主流文档格式。

立即体验