Suppr超能文献

细胞质水通道蛋白 AQP1 是乳腺癌局部浸润的关键因素。

Water channel protein AQP1 in cytoplasm is a critical factor in breast cancer local invasion.

机构信息

Department of Tumor Cell Biology, Tianjin Medical University Cancer Institute and Hospital, National Clinical Research Center for Cancer, Huanhu West Road, Hexi District, Tianjin, 300060, People's Republic of China.

Tianjin's Clinical Research Center for Cancer, Tianjin Medical University Cancer Institute and Hospital, Tianjin, China.

出版信息

J Exp Clin Cancer Res. 2023 Feb 20;42(1):49. doi: 10.1186/s13046-023-02616-1.

Abstract

BACKGROUND

Metastasis of breast cancer grows from the local invasion to the distant colonization. Blocking the local invasion step would be promising for breast cancer treatment. Our present study demonstrated AQP1 was a crucial target in breast cancer local invasion.

METHODS

Mass spectrometry combined with bioinformatics analysis was used to identify AQP1 associated proteins ANXA2 and Rab1b. Co-immunoprecipitation, immunofluorescence assays and cell functional experiments were carried out to define the relationship among AQP1, ANXA2 and Rab1b and their re-localization in breast cancer cells. The Cox proportional hazards regression model was performed toward the identification of relevant prognostic factors. Survival curves were plotted by the Kaplan-Meier method and compared by the log-rank test.

RESULTS

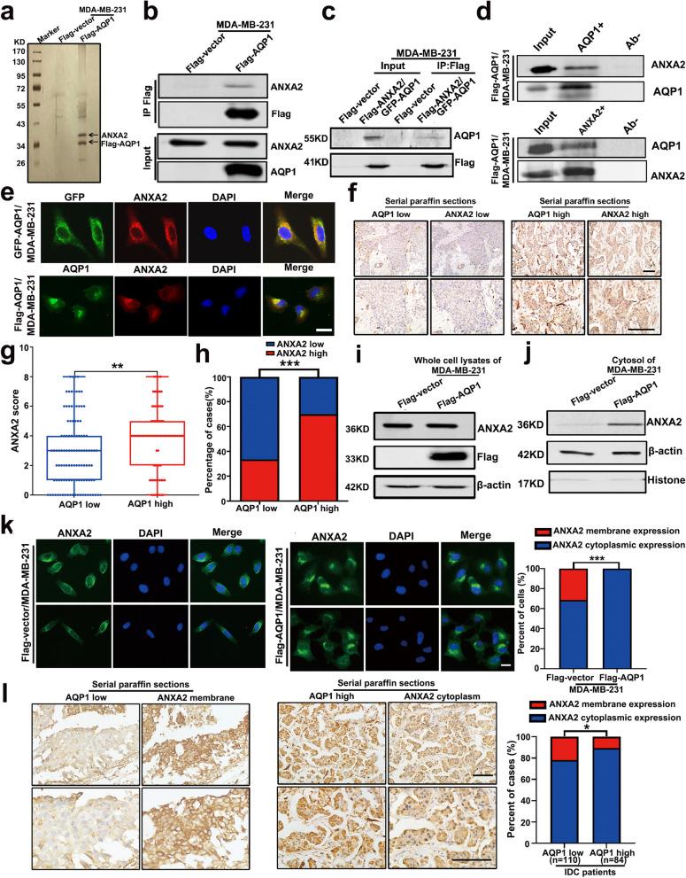
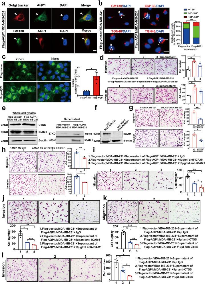
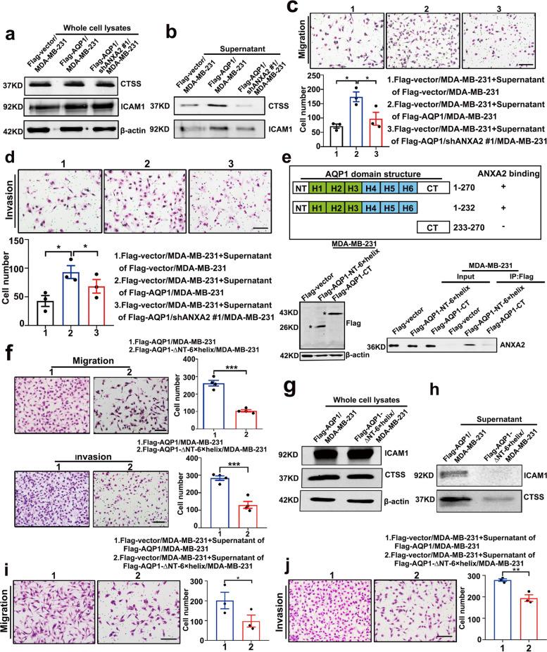
Here, we show that the cytoplasmic water channel protein AQP1, a crucial target in breast cancer local invasion, recruited ANXA2 from the cellular membrane to the Golgi apparatus, promoted Golgi apparatus extension, and induced breast cancer cell migration and invasion. In addition, cytoplasmic AQP1 recruited cytosolic free Rab1b to the Golgi apparatus to form a ternary complex containing AQP1, ANXA2, and Rab1b, which induced cellular secretion of the pro-metastatic proteins ICAM1 and CTSS. Cellular secretion of ICAM1 and CTSS led to the migration and invasion of breast cancer cells. Both in vivo assay and clinical analysis data confirmed above results.

CONCLUSIONS

Our findings suggested a novel mechanism for AQP1-induced breast cancer local invasion. Therefore, targeting AQP1 offers promises in breast cancer treatment.

摘要

背景

乳腺癌的转移是从局部浸润到远处定植的过程。阻断局部浸润步骤对于乳腺癌的治疗是有前景的。我们目前的研究表明,AQP1 是乳腺癌局部浸润的一个关键靶点。

方法

采用质谱联用生物信息学分析鉴定 AQP1 相关蛋白 ANXA2 和 Rab1b。通过共免疫沉淀、免疫荧光实验和细胞功能实验,研究了 AQP1、ANXA2 和 Rab1b 之间的关系及其在乳腺癌细胞中的重新定位。采用 Cox 比例风险回归模型鉴定相关预后因素。采用 Kaplan-Meier 法绘制生存曲线,并通过对数秩检验进行比较。

结果

我们发现,细胞质水通道蛋白 AQP1 是乳腺癌局部浸润的关键靶点,它将膜结合蛋白 ANXA2 招募到高尔基器,促进高尔基器延伸,并诱导乳腺癌细胞迁移和侵袭。此外,细胞质 AQP1 将细胞质游离的 Rab1b 招募到高尔基器,形成包含 AQP1、ANXA2 和 Rab1b 的三元复合物,从而诱导促转移蛋白 ICAM1 和 CTSS 的细胞分泌。ICAM1 和 CTSS 的细胞分泌导致乳腺癌细胞的迁移和侵袭。体内实验和临床分析数据均证实了上述结果。

结论

我们的研究结果表明了 AQP1 诱导的乳腺癌局部浸润的一种新机制。因此,靶向 AQP1 为乳腺癌的治疗提供了新的策略。

https://cdn.ncbi.nlm.nih.gov/pmc/blobs/7fd7/9940370/efc232ca73cd/13046_2023_2616_Fig1_HTML.jpg

文献AI研究员

20分钟写一篇综述,助力文献阅读效率提升50倍。

立即体验

用中文搜PubMed

大模型驱动的PubMed中文搜索引擎

马上搜索

文档翻译

学术文献翻译模型,支持多种主流文档格式。

立即体验