Suppr超能文献

镍(II)离子的残留特异性结合影响淀粉样β(Aβ)肽的结构和聚集。

Residue-specific binding of Ni(II) ions influences the structure and aggregation of amyloid beta (Aβ) peptides.

机构信息

Department of Biochemistry and Biophysics, Arrhenius Laboratories, Stockholm University, 106 91, Stockholm, Sweden.

Department of Chemistry and Biotechnology, Tallinn University of Technology, Tallinn, Estonia.

出版信息

Sci Rep. 2023 Feb 27;13(1):3341. doi: 10.1038/s41598-023-29901-5.

Abstract

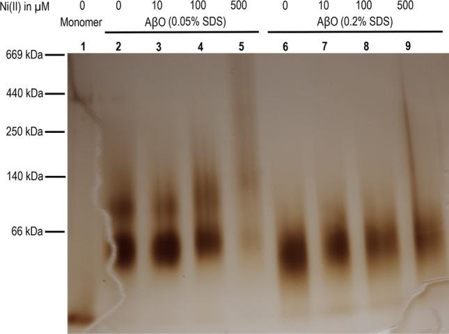
Alzheimer's disease (AD) is the most common cause of dementia worldwide. AD brains display deposits of insoluble amyloid plaques consisting mainly of aggregated amyloid-β (Aβ) peptides, and Aβ oligomers are likely a toxic species in AD pathology. AD patients display altered metal homeostasis, and AD plaques show elevated concentrations of metals such as Cu, Fe, and Zn. Yet, the metal chemistry in AD pathology remains unclear. Ni(II) ions are known to interact with Aβ peptides, but the nature and effects of such interactions are unknown. Here, we use numerous biophysical methods-mainly spectroscopy and imaging techniques-to characterize Aβ/Ni(II) interactions in vitro, for different Aβ variants: Aβ(1-40), Aβ(1-40)(H6A, H13A, H14A), Aβ(4-40), and Aβ(1-42). We show for the first time that Ni(II) ions display specific binding to the N-terminal segment of full-length Aβ monomers. Equimolar amounts of Ni(II) ions retard Aβ aggregation and direct it towards non-structured aggregates. The His6, His13, and His14 residues are implicated as binding ligands, and the Ni(II)·Aβ binding affinity is in the low µM range. The redox-active Ni(II) ions induce formation of dityrosine cross-links via redox chemistry, thereby creating covalent Aβ dimers. In aqueous buffer Ni(II) ions promote formation of beta sheet structure in Aβ monomers, while in a membrane-mimicking environment (SDS micelles) coil-coil helix interactions appear to be induced. For SDS-stabilized Aβ oligomers, Ni(II) ions direct the oligomers towards larger sizes and more diverse (heterogeneous) populations. All of these structural rearrangements may be relevant for the Aβ aggregation processes that are involved in AD brain pathology.

摘要

阿尔茨海默病(AD)是全球最常见的痴呆症病因。AD 大脑显示不溶性淀粉样斑块沉积,主要由聚集的淀粉样β(Aβ)肽组成,Aβ 低聚物可能是 AD 病理学中的毒性物质。AD 患者表现出金属动态平衡改变,AD 斑块显示出升高的金属浓度,如 Cu、Fe 和 Zn。然而,AD 病理学中的金属化学仍不清楚。已知 Ni(II)离子与 Aβ 肽相互作用,但这种相互作用的性质和影响尚不清楚。在这里,我们使用多种生物物理方法——主要是光谱和成像技术——在体外对不同 Aβ 变体(Aβ(1-40)、Aβ(1-40)(H6A、H13A、H14A)、Aβ(4-40)和 Aβ(1-42))的 Aβ/Ni(II)相互作用进行了表征。我们首次表明,Ni(II)离子与全长 Aβ 单体的 N 端片段具有特异性结合。等摩尔量的 Ni(II)离子会延迟 Aβ 聚集,并使其向无结构聚集物方向发展。His6、His13 和 His14 残基被认为是结合配体,Ni(II)·Aβ 结合亲和力处于低µM 范围内。具有氧化还原活性的 Ni(II)离子通过氧化还原化学诱导二酪氨酸交联的形成,从而产生共价 Aβ 二聚体。在水性缓冲液中,Ni(II)离子促进 Aβ 单体中β 片层结构的形成,而在模拟膜环境(SDS 胶束)中,似乎会诱导螺旋-螺旋卷曲相互作用。对于 SDS 稳定的 Aβ 低聚物,Ni(II)离子会使低聚物向更大的尺寸和更多样化(异质)的群体发展。所有这些结构重排可能与 AD 脑病理学中涉及的 Aβ 聚集过程有关。

https://cdn.ncbi.nlm.nih.gov/pmc/blobs/d4a9/9971182/a706ee865384/41598_2023_29901_Fig1_HTML.jpg

文献AI研究员

20分钟写一篇综述,助力文献阅读效率提升50倍。

立即体验

用中文搜PubMed

大模型驱动的PubMed中文搜索引擎

马上搜索

文档翻译

学术文献翻译模型,支持多种主流文档格式。

立即体验