Suppr超能文献

同时靶向炎症和病毒可改善流感肺炎并降低发病率和死亡率。

Therapeutic Targeting of Inflammation and Virus Simultaneously Ameliorates Influenza Pneumonia and Protects from Morbidity and Mortality.

机构信息

Viral Immunology and Immunopathology Group, Tasmanian School of Medicine, University of Tasmania, Hobart, TAS 7000, Australia.

Infection and Immunity Group, Department of Immunology, The John Curtin School of Medical Research, Australian National University, Canberra, ACT 2601, Australia.

出版信息

Viruses. 2023 Jan 23;15(2):318. doi: 10.3390/v15020318.

Abstract

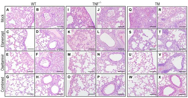
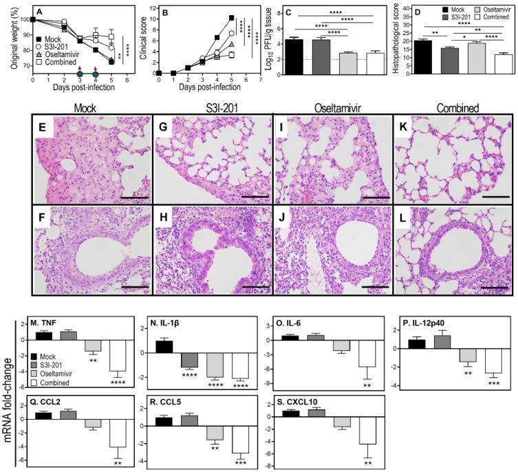
Influenza pneumonia is a severe complication caused by inflammation of the lungs following infection with seasonal and pandemic strains of influenza A virus (IAV), that can result in lung pathology, respiratory failure, and death. There is currently no treatment for severe disease and pneumonia caused by IAV. Antivirals are available but are only effective if treatment is initiated within 48 h of onset of symptoms. Influenza complications and mortality are often associated with high viral load and an excessive lung inflammatory cytokine response. Therefore, we simultaneously targeted the virus and inflammation. We used the antiviral oseltamivir and the anti-inflammatory drug etanercept to dampen TNF signaling after the onset of clinical signs to treat pneumonia in a mouse model of respiratory IAV infection. The combined treatment down-regulated the inflammatory cytokines , , , and , and the chemokines , , and . Consequently, combined treatment with oseltamivir and a signal transducer and activator of transcription 3 (STAT3) inhibitor effectively reduced clinical disease and lung pathology. Combined treatment using etanercept or STAT3 inhibitor and oseltamivir dampened an overlapping set of cytokines. Thus, combined therapy targeting a specific cytokine or cytokine signaling pathway and an antiviral drug provide an effective treatment strategy for ameliorating IAV pneumonia. This approach might apply to treating pneumonia caused by severe acute respiratory syndrome coronavirus 2 (SARS-CoV-2).

摘要

流感肺炎是由季节性和大流行性甲型流感病毒(IAV)感染后肺部炎症引起的严重并发症,可导致肺部病理、呼吸衰竭和死亡。目前尚无针对严重疾病和 IAV 引起的肺炎的治疗方法。有抗病毒药物可用,但只有在症状出现后 48 小时内开始治疗才有效。流感并发症和死亡率通常与高病毒载量和过度的肺部炎症细胞因子反应有关。因此,我们同时针对病毒和炎症。我们使用抗病毒药物奥司他韦和抗炎药物依那西普来抑制 TNF 信号转导,以在呼吸道 IAV 感染的小鼠模型中治疗肺炎。联合治疗下调了炎症细胞因子、和,以及趋化因子和。因此,奥司他韦和信号转导和转录激活因子 3(STAT3)抑制剂的联合治疗有效地减轻了临床疾病和肺部病理。依那西普或 STAT3 抑制剂和奥司他韦的联合治疗抑制了一组重叠的细胞因子。因此,针对特定细胞因子或细胞因子信号通路和抗病毒药物的联合治疗为改善 IAV 肺炎提供了有效的治疗策略。这种方法可能适用于治疗由严重急性呼吸综合征冠状病毒 2(SARS-CoV-2)引起的肺炎。

https://cdn.ncbi.nlm.nih.gov/pmc/blobs/070d/9966636/3218840bfa44/viruses-15-00318-g001.jpg

文献AI研究员

20分钟写一篇综述,助力文献阅读效率提升50倍。

立即体验

用中文搜PubMed

大模型驱动的PubMed中文搜索引擎

马上搜索

文档翻译

学术文献翻译模型,支持多种主流文档格式。

立即体验