Suppr超能文献

短期他莫昔芬给药通过 JNK/MAPK 改善小鼠肝脂肪变性和葡萄糖不耐受。

Short-term tamoxifen administration improves hepatic steatosis and glucose intolerance through JNK/MAPK in mice.

机构信息

Department of Hepatobiliary Surgery, Xi-Jing Hospital, Fourth Military Medical University, Xi'an, 710032, China.

Center of Clinical Aerospace Medicine & Department of Aviation Medicine, Fourth Military Medical University, Xi'an, 710032, China.

出版信息

Signal Transduct Target Ther. 2023 Mar 3;8(1):94. doi: 10.1038/s41392-022-01299-y.

Abstract

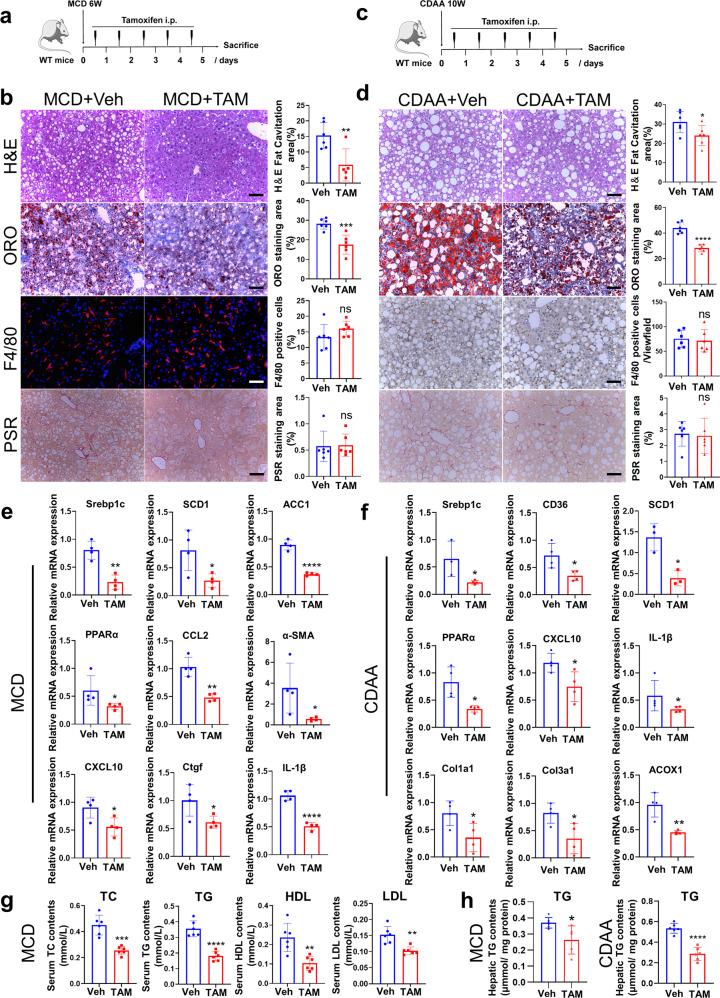
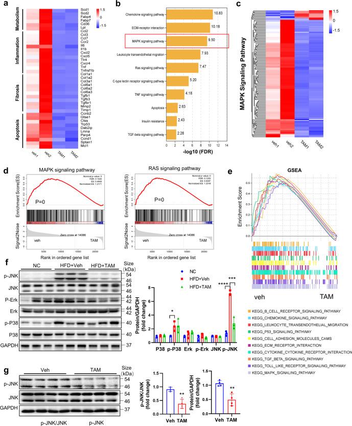
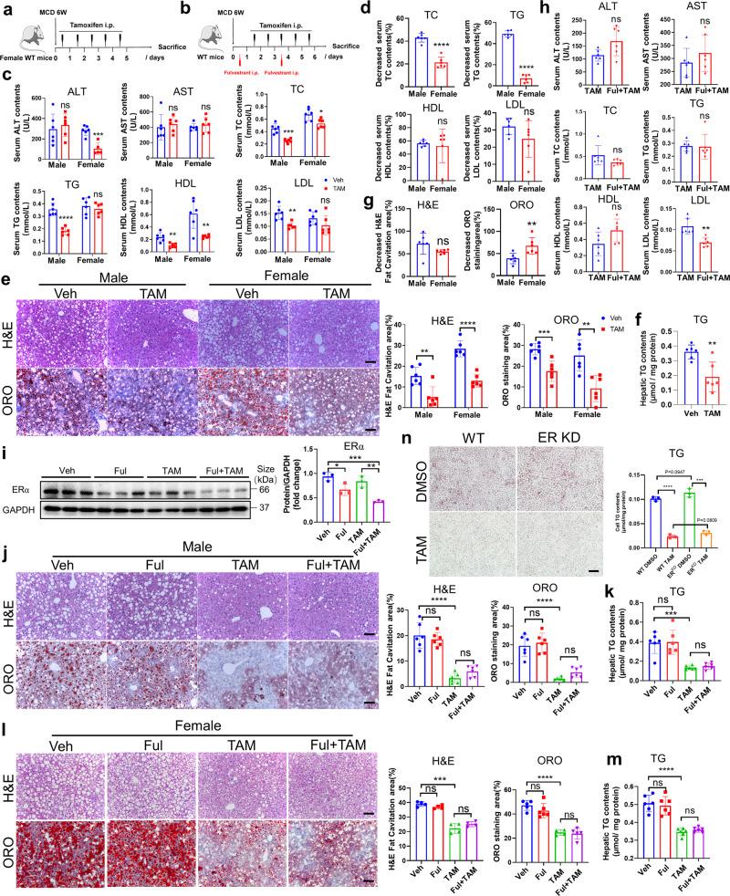
Nonalcoholic fatty liver disease (NAFLD) which is a leading cause of chronic liver diseases lacks effective treatment. Tamoxifen has been proven to be the first-line chemotherapy for several solid tumors in clinics, however, its therapeutic role in NAFLD has never been elucidated before. In vitro experiments, tamoxifen protected hepatocytes against sodium palmitate-induced lipotoxicity. In male and female mice fed with normal diets, continuous tamoxifen administration inhibited lipid accumulation in liver, and improved glucose and insulin intolerance. Short-term tamoxifen administration largely improved hepatic steatosis and insulin resistance, however, the phenotypes manifesting inflammation and fibrosis remained unchanged in abovementioned models. In addition, mRNA expressions of genes related to lipogenesis, inflammation, and fibrosis were downregulated by tamoxifen treatment. Moreover, the therapeutic effect of tamoxifen on NAFLD was not gender or ER dependent, as male and female mice with metabolic disorders shared no difference in response to tamoxifen and ER antagonist (fulvestrant) did not abolish its therapeutic effect as well. Mechanistically, RNA sequence of hepatocytes isolated from fatty liver revealed that JNK/MAPK signaling pathway was inactivated by tamoxifen. Pharmacological JNK activator (anisomycin) partially deprived the therapeutic role of tamoxifen in treating hepatic steatosis, proving tamoxifen improved NAFLD in a JNK/MAPK signaling-dependent manner.

摘要

非酒精性脂肪性肝病(NAFLD)是慢性肝病的主要病因,但目前缺乏有效的治疗方法。他莫昔芬已被证明是临床几种实体瘤的一线化疗药物,但它在 NAFLD 中的治疗作用以前从未被阐明过。在体外实验中,他莫昔芬可保护肝细胞免受软脂酸钠诱导的脂毒性。在给予正常饮食的雄性和雌性小鼠中,连续给予他莫昔芬可抑制肝脏脂质堆积,并改善葡萄糖和胰岛素不耐受。短期给予他莫昔芬可显著改善肝脂肪变性和胰岛素抵抗,但上述模型中炎症和纤维化的表型仍未改变。此外,他莫昔芬治疗可下调与脂肪生成、炎症和纤维化相关的基因的 mRNA 表达。此外,他莫昔芬治疗 NAFLD 不依赖于性别或 ER,因为有代谢紊乱的雄性和雌性小鼠对他莫昔芬的反应没有差异,而 ER 拮抗剂(氟维司群)也没有消除其治疗效果。从机制上讲,从脂肪肝中分离出的肝细胞的 RNA 序列表明,JNK/MAPK 信号通路被他莫昔芬失活。药理学 JNK 激活剂(放线菌酮)部分剥夺了他莫昔芬在治疗肝脂肪变性中的作用,证明他莫昔芬以 JNK/MAPK 信号依赖性方式改善 NAFLD。

https://cdn.ncbi.nlm.nih.gov/pmc/blobs/c7e9/9981902/229ae8a505f5/41392_2022_1299_Fig1_HTML.jpg

文献AI研究员

20分钟写一篇综述,助力文献阅读效率提升50倍。

立即体验

用中文搜PubMed

大模型驱动的PubMed中文搜索引擎

马上搜索

文档翻译

学术文献翻译模型,支持多种主流文档格式。

立即体验