Suppr超能文献

和亮菌素作为核糖体蛋白S2的共价配体,破坏了突变型急性髓系白血病中的前体核糖体RNA代谢过程。

Heliangin acts as a covalent ligand of RPS2 that disrupts pre-rRNA metabolic processes in -mutated acute myeloid leukemia.

作者信息

Feng Yin, Han Yefan, Hu Anni, Qu Yi, Hu Yili, Wu Hao, Wang Xinzhi, He Li

机构信息

College of Pharmacy, Nanjing University of Chinese Medicine, Nanjing 210046, China.

China Jiangsu Key Laboratory of Research and Development in Marine Bio-resource Pharmaceutics, Nanjing 210046, China.

出版信息

Acta Pharm Sin B. 2023 Feb;13(2):598-617. doi: 10.1016/j.apsb.2022.10.018. Epub 2022 Oct 27.

Abstract

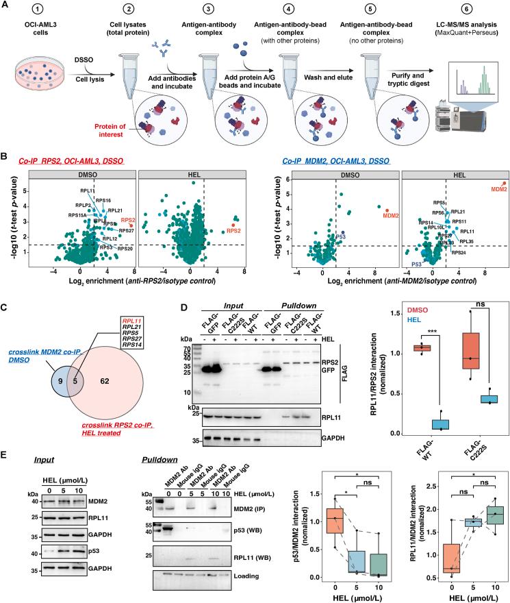
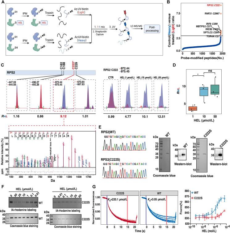
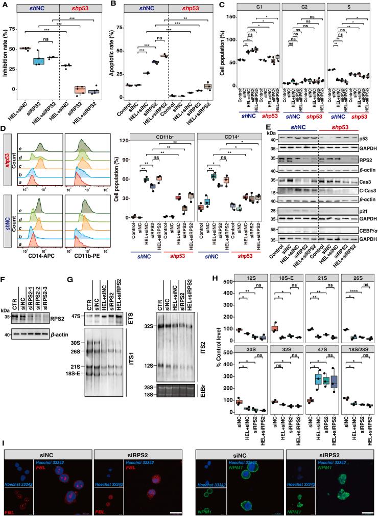
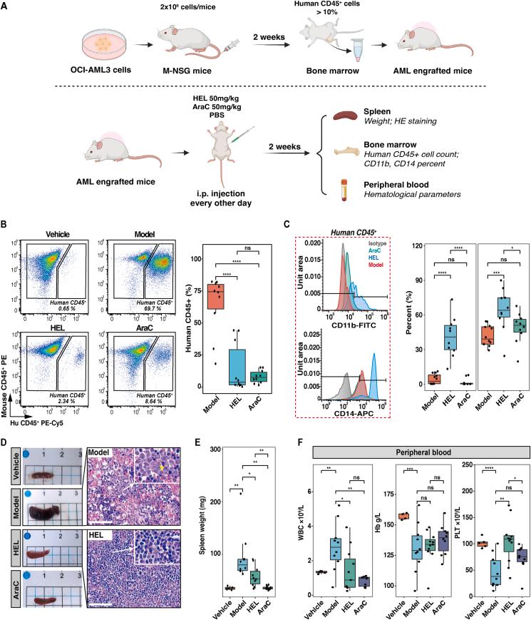
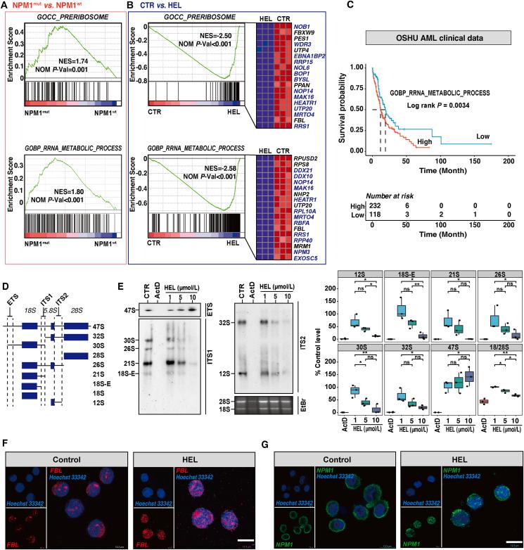
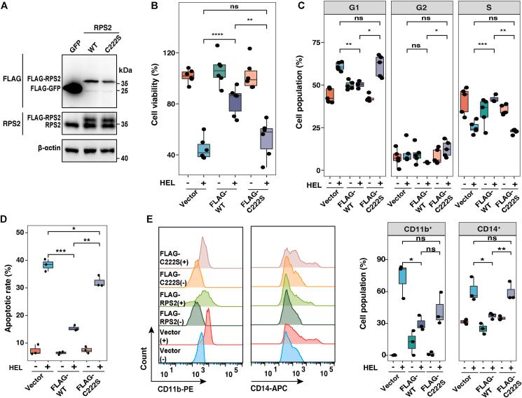
Although mutations are frequently found in acute myeloid leukemia patients, therapeutic strategies are scarce and unsuitable for those who cannot tolerate intensive chemotherapy. Here we demonstrated that heliangin, a natural sesquiterpene lactone, exerts favorable therapeutic responses in mutant acute myeloid leukemia cells, with no apparent toxicity to normal hematogenous cells, by inhibiting their proliferation, inducing apoptosis, causing cell cycle arrest, and promoting differentiation. In-depth studies on its mode of action using quantitative thiol reactivity platform screening and subsequent molecular biology validation showed that the ribosomal protein S2 (RPS2) is the main target of heliangin in treating mutant AML. Upon covalent binding to the C222 site of RPS2, the electrophilic moieties of heliangin disrupt pre-rRNA metabolic processes, leading to nucleolar stress, which in turn regulates the ribosomal proteins-MDM2-p53 pathway and stabilizes p53. Clinical data shows that the pre-rRNA metabolic pathway is dysregulated in acute myeloid leukemia patients with the mutation, leading to a poor prognosis. We found that RPS2 plays a critical role in regulating this pathway and may be a novel treatment target. Our findings suggest a novel treatment strategy and lead compound for acute myeloid leukemia patients, especially those with mutations.

摘要

尽管急性髓系白血病患者中经常发现突变,但治疗策略却很稀缺,且不适用于那些无法耐受强化化疗的患者。在此,我们证明了天然倍半萜内酯河连因对突变的急性髓系白血病细胞具有良好的治疗反应,对正常造血细胞无明显毒性,其作用机制包括抑制细胞增殖、诱导凋亡、导致细胞周期停滞以及促进分化。利用定量硫醇反应平台筛选及其后的分子生物学验证对其作用模式进行的深入研究表明,核糖体蛋白S2(RPS2)是河连因治疗突变型急性髓系白血病的主要靶点。河连因的亲电基团与RPS2的C222位点共价结合后,会破坏前体rRNA的代谢过程,导致核仁应激,进而调节核糖体蛋白-MDM2-p53通路并使p53稳定。临床数据显示,在有该突变的急性髓系白血病患者中,前体rRNA代谢途径失调,导致预后不良。我们发现RPS2在调节该途径中起关键作用,可能是一个新的治疗靶点。我们的研究结果为急性髓系白血病患者,尤其是有该突变的患者,提供了一种新的治疗策略和先导化合物。

https://cdn.ncbi.nlm.nih.gov/pmc/blobs/7588/9979090/58d5e890af81/ga1.jpg

文献AI研究员

20分钟写一篇综述,助力文献阅读效率提升50倍。

立即体验

用中文搜PubMed

大模型驱动的PubMed中文搜索引擎

马上搜索

文档翻译

学术文献翻译模型,支持多种主流文档格式。

立即体验