Suppr超能文献

药物破坏 mSWI/SNF 复合物活性可限制 SARS-CoV-2 感染。

Pharmacological disruption of mSWI/SNF complex activity restricts SARS-CoV-2 infection.

机构信息

Department of Laboratory Medicine, Yale School of Medicine, New Haven, CT, USA.

Department of Immunobiology, Yale School of Medicine, New Haven, CT, USA.

出版信息

Nat Genet. 2023 Mar;55(3):471-483. doi: 10.1038/s41588-023-01307-z. Epub 2023 Mar 9.

Abstract

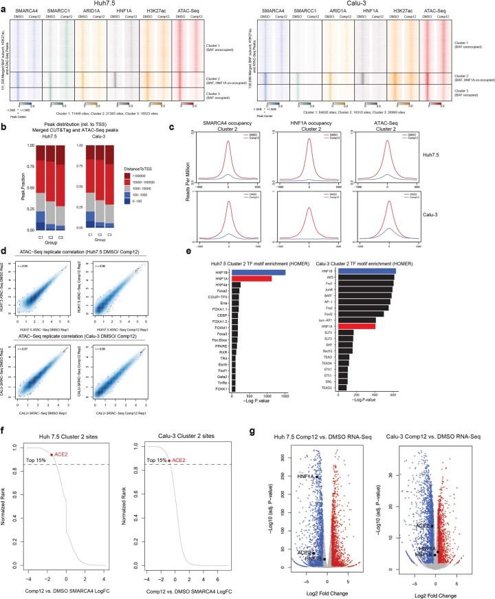
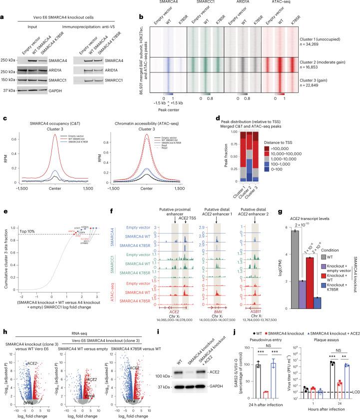
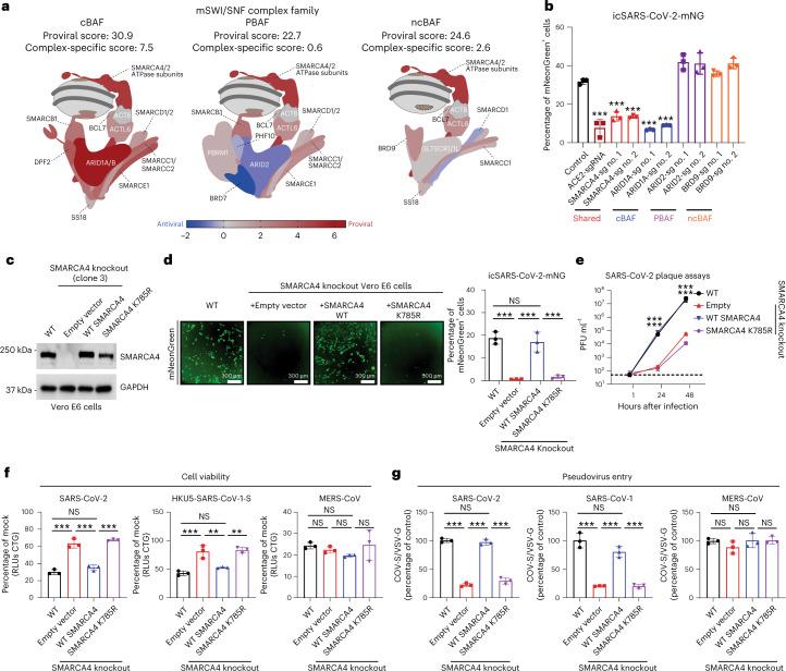
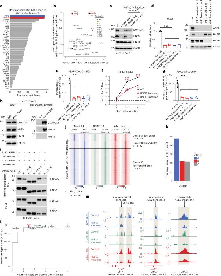
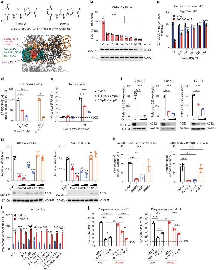
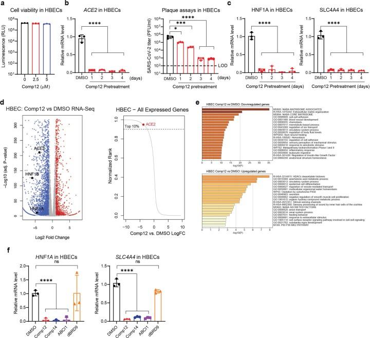
Identification of host determinants of coronavirus infection informs mechanisms of viral pathogenesis and can provide new drug targets. Here we demonstrate that mammalian SWItch/Sucrose Non-Fermentable (mSWI/SNF) chromatin remodeling complexes, specifically canonical BRG1/BRM-associated factor (cBAF) complexes, promote severe acute respiratory syndrome coronavirus 2 (SARS-CoV-2) infection and represent host-directed therapeutic targets. The catalytic activity of SMARCA4 is required for mSWI/SNF-driven chromatin accessibility at the ACE2 locus, ACE2 expression and virus susceptibility. The transcription factors HNF1A/B interact with and recruit mSWI/SNF complexes to ACE2 enhancers, which contain high HNF1A motif density. Notably, small-molecule mSWI/SNF ATPase inhibitors or degraders abrogate angiotensin-converting enzyme 2 (ACE2) expression and confer resistance to SARS-CoV-2 variants and a remdesivir-resistant virus in three cell lines and three primary human cell types, including airway epithelial cells, by up to 5 logs. These data highlight the role of mSWI/SNF complex activities in conferring SARS-CoV-2 susceptibility and identify a potential class of broad-acting antivirals to combat emerging coronaviruses and drug-resistant variants.

摘要

鉴定冠状病毒感染的宿主决定因素可以阐明病毒发病机制,并为新的药物靶点提供信息。在这里,我们证明哺乳动物 SWItch/Sucrose Non-Fermentable (mSWI/SNF) 染色质重塑复合物,特别是经典的 BRG1/BRM 相关因子 (cBAF) 复合物,促进严重急性呼吸综合征冠状病毒 2 (SARS-CoV-2) 感染,并且是宿主定向的治疗靶点。SMARCA4 的催化活性是 mSWI/SNF 驱动 ACE2 基因座染色质可及性、ACE2 表达和病毒易感性所必需的。转录因子 HNF1A/B 相互作用并募集 mSWI/SNF 复合物到 ACE2 增强子,ACE2 增强子含有高 HNF1A 基序密度。值得注意的是,小分子 mSWI/SNF ATP 酶抑制剂或降解剂可阻断血管紧张素转换酶 2 (ACE2) 的表达,并在三种细胞系和三种原代人细胞类型(包括气道上皮细胞)中对 SARS-CoV-2 变体和瑞德西韦耐药病毒产生高达 5 个对数的抗性。这些数据突出了 mSWI/SNF 复合物活性在赋予 SARS-CoV-2 易感性方面的作用,并确定了一类潜在的广谱抗病毒药物,以对抗新兴的冠状病毒和耐药变体。

https://cdn.ncbi.nlm.nih.gov/pmc/blobs/33ba/10011139/d281585db0e7/41588_2023_1307_Fig1_HTML.jpg

文献AI研究员

20分钟写一篇综述,助力文献阅读效率提升50倍。

立即体验

用中文搜PubMed

大模型驱动的PubMed中文搜索引擎

马上搜索

文档翻译

学术文献翻译模型,支持多种主流文档格式。

立即体验