Suppr超能文献

自噬在二甲双胍对阿霉素诱导的肾毒性治疗活性中的调节作用

Modulatory Role of Autophagy in Metformin Therapeutic Activity toward Doxorubicin-Induced Nephrotoxicity.

作者信息

Antar Samar A, Abd-Elsalam Marwa, Abdo Walied, Abdeen Ahmed, Abdo Mohamed, Fericean Liana, Raslan Nahed A, Ibrahim Samah F, Sharif Asmaa F, Elalfy Amira, Nasr Hend E, Zaid Ahmed B, Atia Rania, Atwa Ahmed M, Gebba Mohammed A, Alzokaky Amany A

机构信息

Department of Pharmacology and Biochemistry, Faculty of Pharmacy, Horus University-Egypt, New Damietta 34518, Egypt.

Center for Vascular and Heart Research, Fralin Biomedical Research Institute, Virginia Tech, Roanoke, VA 24016, USA.

出版信息

Toxics. 2023 Mar 16;11(3):273. doi: 10.3390/toxics11030273.

Abstract

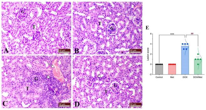
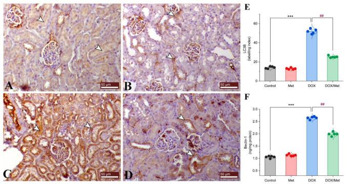
Doxorubicin (DOX) is a frequent chemotherapeutic drug used to treat various malignant tumors. One of the key factors that diminish its therapeutic importance is DOX-induced nephrotoxicity. The first-line oral antidiabetic drug is metformin (Met), which also has antioxidant properties. The purpose of our study was to investigate the underlying molecular mechanisms for the potential protective effects of Met on DOX-triggered nephrotoxicity. Four animal groups were assigned as follows; animals received vehicle (control group), 200 mg/kg Met (Met group), DOX 15 mg/kg DOX (DOX group), and a combination of DOX and Met (DOX/Met group). Our results demonstrated that DOX administration caused marked histological alterations of widespread inflammation and tubular degeneration. Notably, the DOX-induced dramatic up-regulation of the nuclear factor-kappa B/P65 (NF-κB/P65), microtubule-associated protein light chain 3B (LC3B), neutrophil gelatinase-associated lipocalin (NGAL), interleukin-1beta (IL-1β), 8-hydroxy-2' -deoxyguanosine (8-OHdG), and Beclin-1 in renal tissue. A marked increase in the malondialdehyde (MDA) tissue level and a decrease in the total antioxidant capacity (TAC) were also recorded in DOX-exposed animals. Interestingly, Met could minimize all histopathological changes as well as the disruptions caused by DOX in the aforementioned measures. Thus, Met provided a workable method for suppressing the nephrotoxicity that occurred during the DOX regimen via the deactivation of the Beclin-1/LC3B pathway.

摘要

阿霉素(DOX)是一种常用于治疗各种恶性肿瘤的化疗药物。削弱其治疗重要性的关键因素之一是DOX诱导的肾毒性。一线口服抗糖尿病药物是二甲双胍(Met),它也具有抗氧化特性。我们研究的目的是探讨Met对DOX引发的肾毒性潜在保护作用的潜在分子机制。将动物分为四组,如下所示:动物接受溶剂(对照组)、200mg/kg Met(Met组)、15mg/kg DOX(DOX组)以及DOX与Met的组合(DOX/Met组)。我们的结果表明,给予DOX会导致广泛炎症和肾小管变性的明显组织学改变。值得注意的是,DOX诱导肾组织中核因子-κB/P65(NF-κB/P65)、微管相关蛋白轻链3B(LC3B)、中性粒细胞明胶酶相关脂质运载蛋白(NGAL)、白细胞介素-1β(IL-1β)、8-羟基-2'-脱氧鸟苷(8-OHdG)和Beclin-1显著上调。在暴露于DOX的动物中还记录到丙二醛(MDA)组织水平显著升高以及总抗氧化能力(TAC)降低。有趣的是,Met可以使所有组织病理学变化以及上述指标中DOX引起的破坏最小化。因此,Met通过使Beclin-1/LC3B途径失活,为抑制DOX治疗方案期间发生的肾毒性提供了一种可行的方法。

https://cdn.ncbi.nlm.nih.gov/pmc/blobs/e289/10052439/18f02d600ba8/toxics-11-00273-g001.jpg

文献AI研究员

20分钟写一篇综述,助力文献阅读效率提升50倍。

立即体验

用中文搜PubMed

大模型驱动的PubMed中文搜索引擎

马上搜索

文档翻译

学术文献翻译模型,支持多种主流文档格式。

立即体验