Suppr超能文献

TREM2 通过作为 IL-34 的受体抑制小鼠的急性髓系白血病。

TREM2 acts as a receptor for IL-34 to suppress acute myeloid leukemia in mice.

机构信息

Department of Hematology, Zhujiang Hospital, Southern Medical University, Guangzhou, China.

Department of Cell Biology, Guangdong Provincial Key Laboratory of Bone and Joint Degenerative Diseases, School of Basic Medical Sciences, Southern Medical University, Guangzhou, China.

出版信息

Blood. 2023 Jun 29;141(26):3184-3198. doi: 10.1182/blood.2022018619.

Abstract

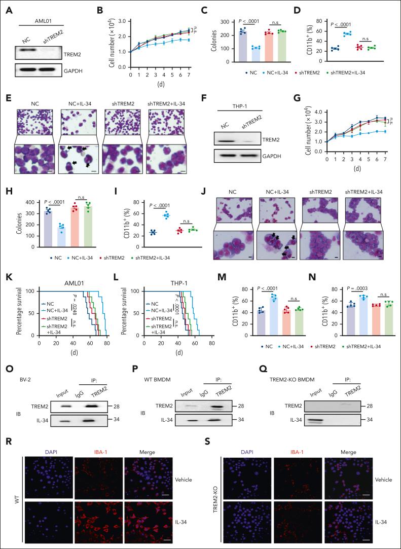
The bone marrow microenvironment supports leukocyte mobilization and differentiation and controls the development of leukemias, including acute myeloid leukemia (AML). Here, we found that the development of AML xenotransplants was suppressed in mice with osteoclasts tuberous sclerosis 1 (Tsc1) deletion. Tsc1-deficient osteoclasts released a high level of interleukin-34 (IL-34), which efficiently induced AML cell differentiation and prevented AML progression in various preclinical models. Conversely, AML development was accelerated in mice deficient in IL-34. Interestingly, IL-34 inhibited AML independent of its known receptors but bound directly to triggering receptor expressed on myeloid cells 2 (TREM2), a key hub of immune signals. TREM2-deficient AML cells and normal myeloid cells were resistant to IL-34 treatment. Mechanistically, IL-34-TREM2 binding rapidly phosphorylated Ras protein activator like 3 and inactivated extracellular signal-regulated protein kinase 1/2 signaling to prevent AML cell proliferation and stimulate differentiation. Furthermore, TREM2 was downregulated in patients with AML and associated with a poor prognosis. This study identified TREM2 as a novel receptor for IL-34, indicating a promising strategy for overcoming AML differentiation blockade in patients with AML.

摘要

骨髓微环境支持白细胞的动员和分化,并控制着白血病的发展,包括急性髓系白血病(AML)。在这里,我们发现,破骨细胞结节性硬化症 1(Tsc1)缺失的小鼠中,AML 异种移植物的发展受到抑制。破骨细胞缺陷型 Tsc1 释放高水平的白细胞介素 34(IL-34),有效地诱导 AML 细胞分化,并在各种临床前模型中阻止 AML 进展。相反,IL-34 缺陷型小鼠的 AML 发展加速。有趣的是,IL-34 抑制 AML 不依赖于其已知受体,而是直接与髓系细胞表达的触发受体 2(TREM2)结合,TREM2 是免疫信号的关键枢纽。TREM2 缺陷型 AML 细胞和正常髓系细胞对 IL-34 治疗具有抗性。从机制上讲,IL-34-TREM2 结合迅速磷酸化 Ras 蛋白激活样 3,并使细胞外信号调节蛋白激酶 1/2 信号失活,以防止 AML 细胞增殖并刺激分化。此外,AML 患者的 TREM2 下调与预后不良相关。本研究鉴定了 TREM2 为 IL-34 的新型受体,表明这是克服 AML 患者分化阻滞的有前途的策略。

https://cdn.ncbi.nlm.nih.gov/pmc/blobs/4394/10646818/4600b7e7f1bb/BLOOD_BLD-2022-018619-fx1.jpg

文献AI研究员

20分钟写一篇综述,助力文献阅读效率提升50倍。

立即体验

用中文搜PubMed

大模型驱动的PubMed中文搜索引擎

马上搜索

文档翻译

学术文献翻译模型,支持多种主流文档格式。

立即体验